Suppr超能文献

衣原体性子宫内膜炎

Chlamydial endometritis.

作者信息

Paavonen J, Aine R, Teisala K, Heinonen P K, Punnonen R, Lehtinen M, Miettinen A, Grönroos P

出版信息

J Clin Pathol. 1985 Jul;38(7):726-32. doi: 10.1136/jcp.38.7.726.

Abstract

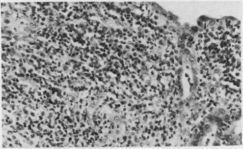
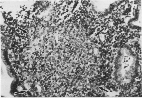
Endometrial biopsies were obtained from 32 women with suspected pelvic inflammatory disease, of whom 23 (72%) had histopathological evidence of endometritis. Chlamydia trachomatis was isolated from the endometria of nine (39%) women (chlamydia group) but not from the other 14 (non-chlamydia group). Severe plasma cell endometritis and lymphoid follicles with transformed lymphocytes were significantly more common in the chlamydia group than in the non-chlamydia group. This suggests that C trachomatis is an invasive endometrial pathogen which often causes severe inflammation. The association was independent of predisposing factors such as use of intrauterine contraceptive devices.

摘要

对32名疑似盆腔炎的女性进行了子宫内膜活检,其中23名(72%)有子宫内膜炎的组织病理学证据。从9名(39%)女性的子宫内膜中分离出沙眼衣原体(衣原体组),而在其他14名女性(非衣原体组)中未分离出。重度浆细胞性子宫内膜炎和伴有转化淋巴细胞的淋巴滤泡在衣原体组中比非衣原体组中更为常见。这表明沙眼衣原体是一种侵袭性子宫内膜病原体,常引起严重炎症。这种关联独立于诸如使用宫内节育器等易感因素。

https://cdn.ncbi.nlm.nih.gov/pmc/blobs/ead9/499293/04ea8f32e121/jclinpath00190-0007-a.jpg

文献检索

告别复杂PubMed语法,用中文像聊天一样搜索,搜遍4000万医学文献。AI智能推荐,让科研检索更轻松。

立即免费搜索

文件翻译

保留排版,准确专业,支持PDF/Word/PPT等文件格式,支持 12+语言互译。

免费翻译文档

深度研究

AI帮你快速写综述,25分钟生成高质量综述,智能提取关键信息,辅助科研写作。

立即免费体验