Suppr超能文献

胃息肉的组织病理学分类与恶变

Histopathological classification and malignant change in gastric polyps.

作者信息

Nakamura T, Nakano G

出版信息

J Clin Pathol. 1985 Jul;38(7):754-64. doi: 10.1136/jcp.38.7.754.

Abstract

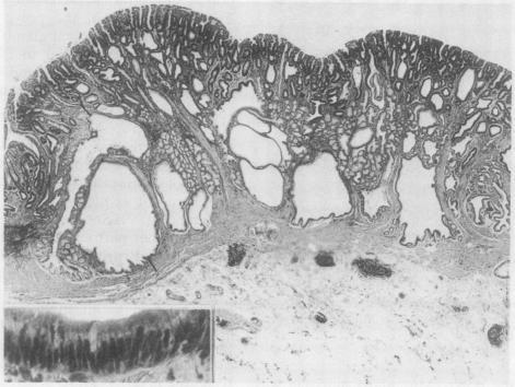
A total of 611 gastric polyps from 275 cases were studied and were classified into four subtypes. Type I was the most common type and types II, III, and IV were less common. Type I and II, considered to be non-neoplastic polyps because of the absence of dysplasia, showed an extremely low malignant potential. Type III showed a two layer structure, the upper layer of which was composed of dysplastic epithelia. This type showed a low malignant potential despite the dysplasia. The type IV polyp showed macroscopical and histological findings similar to those of colonic adenoma. This type was considered to be truly neoplastic and to be the most important of the four subtypes because of its high malignant potential. Type III and IV should be clearly separated and treated differently.

摘要

对来自275例患者的611个胃息肉进行了研究,并将其分为四种亚型。I型是最常见的类型,II型、III型和IV型较不常见。I型和II型由于没有发育异常被认为是非肿瘤性息肉,其恶性潜能极低。III型呈现两层结构,其上层由发育异常的上皮组成。尽管存在发育异常,但该型恶性潜能较低。IV型息肉在大体和组织学表现上与结肠腺瘤相似。该型被认为是真正的肿瘤性息肉,由于其高恶性潜能,是四种亚型中最重要的。III型和IV型应明确区分并进行不同的治疗。

https://cdn.ncbi.nlm.nih.gov/pmc/blobs/9806/499299/b24162a1e9fe/jclinpath00190-0036-a.jpg

文献检索

告别复杂PubMed语法,用中文像聊天一样搜索,搜遍4000万医学文献。AI智能推荐,让科研检索更轻松。

立即免费搜索

文件翻译

保留排版,准确专业,支持PDF/Word/PPT等文件格式,支持 12+语言互译。

免费翻译文档

深度研究

AI帮你快速写综述,25分钟生成高质量综述,智能提取关键信息,辅助科研写作。

立即免费体验