Suppr超能文献

阴茎急症——超声影像的频谱解读

음경 응급 상황-초음파 영상의 스펙트럼 이해.

作者信息

Sharma Anant, Bhayana Aanchal, Malik Amita

机构信息

Department of Radiodiagnosis and Interventional Radiology, Vardhman Mahavir Medical College and Safdarjung Hospital, New Delhi, India.

出版信息

J Korean Soc Radiol. 2025 Mar;86(2):236-248. doi: 10.3348/jksr.2024.0025. Epub 2025 Mar 26.

Abstract

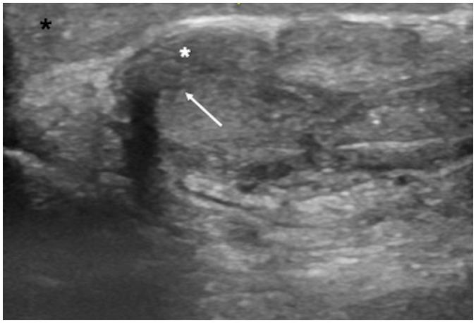
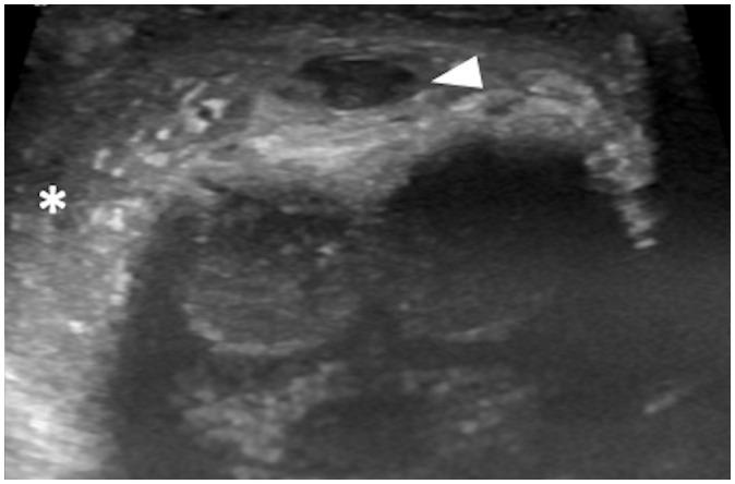
Penile emergencies are uncommon and can be categorized as having infectious, vascular, traumatic, or multifactorial etiologies. To facilitate early diagnosis and treatment during emergency, US and color Doppler imaging are imperative. US depicts hypoechoic collections regardless of the presence of air foci in infections like abscess and Fournier's gangrene. Color Doppler imaging is conducted to evaluate vascular conditions such as penile Mondor disease (PMD) and priapism. PMD is indicated by the absence of color flow and non-compressibility of dorsal penile vein. Priapism can be categorized based on cavernosal artery flow: high flow and low flow. In traumatic injuries like penile fracture, US reveals breach in tunica albuginea with hematoma. Peyronie's disease can be multifactorial in origin and the imaging is commonly visualized as thickening of the tunica albuginea and echogenic calcified plaques. Urethral injuries are urethral discontinuity with adjacent collection. Urethral calculus is visualized as echogenic focus with posterior acoustic shadowing. Therefore, effective collaboration between radiologists and urologists is required for appropriate initial diagnosis and prompt treatment.

摘要

阴茎急症并不常见,可分为感染性、血管性、创伤性或多因素病因。为便于在急诊时进行早期诊断和治疗,超声(US)和彩色多普勒成像必不可少。在诸如脓肿和福尼尔坏疽等感染中,无论是否存在气灶,超声均能显示低回声液性聚集。进行彩色多普勒成像以评估血管状况,如阴茎蒙多氏病(PMD)和阴茎异常勃起。阴茎蒙多氏病表现为阴茎背静脉无血流信号且不可压缩。阴茎异常勃起可根据海绵体动脉血流分为:高流量型和低流量型。在阴茎骨折等创伤性损伤中,超声显示白膜破裂并伴有血肿。佩罗尼氏病的病因可能是多因素的,影像学表现通常为白膜增厚和回声增强的钙化斑块。尿道损伤表现为尿道连续性中断并伴有相邻液性聚集。尿道结石表现为伴有后方声影的回声增强灶。因此,放射科医生和泌尿外科医生之间需要有效协作,以进行恰当的初步诊断和及时治疗。

https://cdn.ncbi.nlm.nih.gov/pmc/blobs/83ec/11973117/80e5ae01e259/jksr-86-236-g001.jpg

文献检索

告别复杂PubMed语法,用中文像聊天一样搜索,搜遍4000万医学文献。AI智能推荐,让科研检索更轻松。

立即免费搜索

文件翻译

保留排版,准确专业,支持PDF/Word/PPT等文件格式,支持 12+语言互译。

免费翻译文档

深度研究

AI帮你快速写综述,25分钟生成高质量综述,智能提取关键信息,辅助科研写作。

立即免费体验