Suppr超能文献

噻虫嗪对成年雄性大鼠的毒理学影响:组织病理学、生化及氧化性DNA损伤评估

Toxicological impact of Thiamethoxam on adult male rats: Histopathological, biochemical, and oxidative DNA damage assessment.

作者信息

Issa Sahar Y, Rahman S M Abdel, Gaber Yasmin M, Soliman Nada A H

机构信息

Department of Forensic Medicine and Clinical Toxicology. Faculty of Medicine - Alexandria University, Egypt.

Central Laboratory, Alexandria University, Egypt.

出版信息

Toxicol Rep. 2025 Mar 15;14:101983. doi: 10.1016/j.toxrep.2025.101983. eCollection 2025 Jun.

Abstract

BACKGROUND

Thiamethoxam (TMX), a widely used second-generation neonicotinoid insecticide, has raised concerns due to its toxic effects on non-target species, including mammals. Its prolonged use is associated with hepatotoxicity, nephrotoxicity, and reproductive damage.

OBJECTIVES

This study evaluates the dose-dependent biochemical, histopathological, and genetic toxic effects of TMX in male albino rats, emphasizing its impact on the liver, kidney, and reproductive systems.

MATERIALS AND METHODS

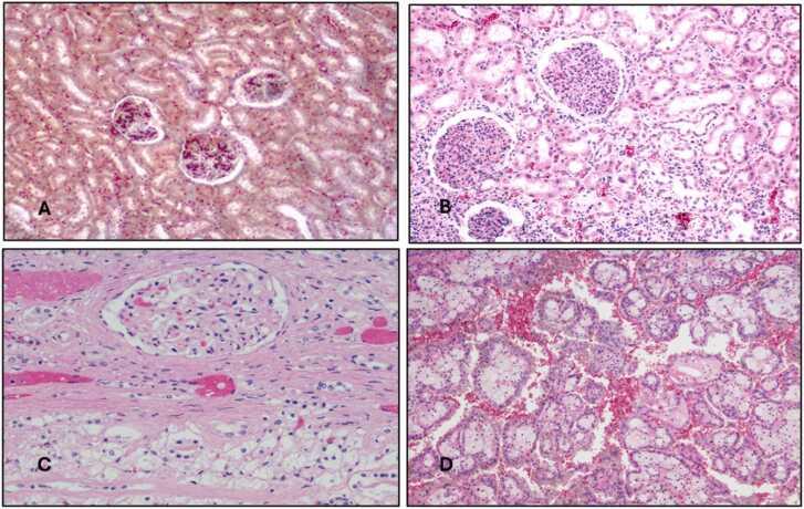
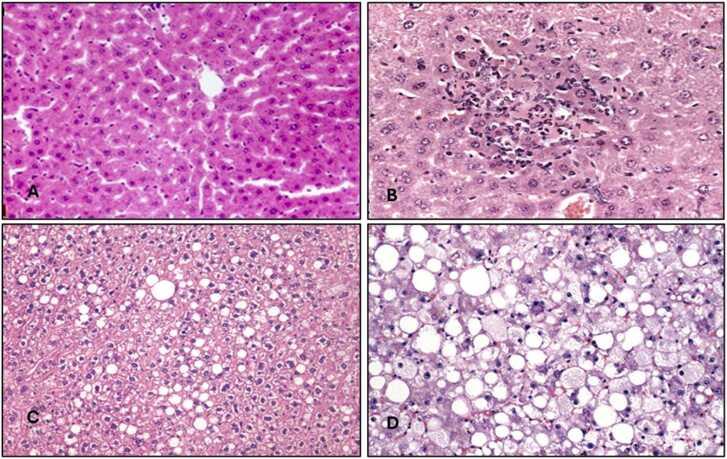
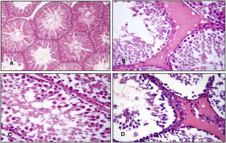
Forty male Wistar albino rats were assigned to control and three experimental groups treated with TMX at 26, 39, and 78 mg/kg/day over eight weeks. Key biochemical markers such as Alanine transaminase (ALT), Aspartate transaminase (AST), urea, creatinine and oxidative stress indicators (Catalase (CAT), Glutathione (GSH), Malondialdehyde (MDA), and reproductive parameters (testosterone, sperm count, and motility) were analyzed. Histopathological examination of the liver, kidney, and testes was performed, alongside evaluation of Deoxyribonucleic Acid (DNA) damage in testicular tissue.

RESULTS

TMX exposure caused significant dose-dependent increases in liver and kidney function markers and oxidative stress. Reproductive toxicity was evident, with reduced testosterone levels, impaired sperm parameters, and histopathological damage to testicular tissue. Notably, TMX induced oxidative DNA damage in testicular tissue, as indicated by increased levels of 8-hydroxy-2'-deoxyguanosine.

CONCLUSIONS

This study highlights TMX's systemic toxicity in a dose-dependent manner, with oxidative stress and DNA damage as key mechanisms. The findings underscore the need for stricter regulatory measures and further exploration of protective strategies to mitigate TMX-induced toxicity.

摘要

背景

噻虫嗪(TMX)是一种广泛使用的第二代新烟碱类杀虫剂,因其对包括哺乳动物在内的非靶标物种具有毒性作用而引发关注。其长期使用与肝毒性、肾毒性和生殖损害有关。

目的

本研究评估了噻虫嗪在雄性白化大鼠中剂量依赖性的生化、组织病理学和遗传毒性作用,重点关注其对肝脏、肾脏和生殖系统的影响。

材料与方法

将40只雄性Wistar白化大鼠分为对照组和三个实验组,在八周内分别给予26、39和78mg/kg/天的噻虫嗪处理。分析关键生化指标,如丙氨酸转氨酶(ALT)、天冬氨酸转氨酶(AST)、尿素、肌酐以及氧化应激指标(过氧化氢酶(CAT)、谷胱甘肽(GSH)、丙二醛(MDA))和生殖参数(睾酮、精子数量和活力)。对肝脏、肾脏和睾丸进行组织病理学检查,并评估睾丸组织中的脱氧核糖核酸(DNA)损伤。

结果

噻虫嗪暴露导致肝脏和肾脏功能指标以及氧化应激显著呈剂量依赖性增加。生殖毒性明显,睾酮水平降低、精子参数受损以及睾丸组织出现组织病理学损伤。值得注意的是,如8-羟基-2'-脱氧鸟苷水平升高所示,噻虫嗪诱导了睾丸组织中的氧化性DNA损伤。

结论

本研究以剂量依赖性方式突出了噻虫嗪的全身毒性,氧化应激和DNA损伤是关键机制。研究结果强调需要采取更严格的监管措施,并进一步探索保护策略以减轻噻虫嗪诱导的毒性。

https://cdn.ncbi.nlm.nih.gov/pmc/blobs/309b/11979398/4d737b53e6ae/ga1.jpg

文献检索

告别复杂PubMed语法,用中文像聊天一样搜索,搜遍4000万医学文献。AI智能推荐,让科研检索更轻松。

立即免费搜索

文件翻译

保留排版,准确专业,支持PDF/Word/PPT等文件格式,支持 12+语言互译。

免费翻译文档

深度研究

AI帮你快速写综述,25分钟生成高质量综述,智能提取关键信息,辅助科研写作。

立即免费体验