Suppr超能文献

颈静脉孔软骨肉瘤:一例报告

Chondrosarcoma of the Jugular Foramen: A Case Report.

作者信息

Prnjak Josip, Košec Andro, Pegan Alan, Greguric Tomislav, Ajduk Jakov

机构信息

University of Zagreb, School of Medicine, Zagreb, Croatia.

Department of Otorhinolaryngology and Head and Neck Surgery, University Hospital Center Sestre Milosrdnice,Zagreb, Croatia.

出版信息

J Int Adv Otol. 2025 Mar 25;21(2):1-5. doi: 10.5152/iao.2025.231362.

Abstract

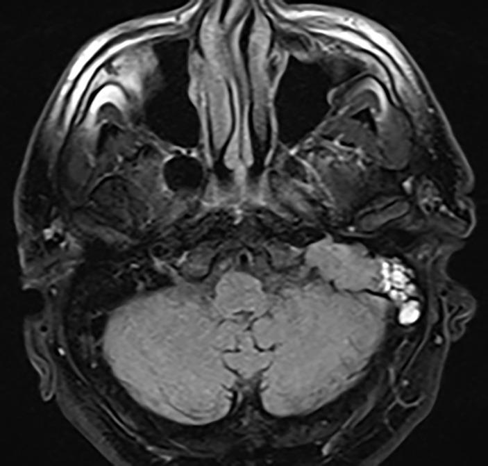
The vast majority of chondrosarcomas of the skull (CS) are located at the skull base and represent locally aggressive malignant tumors that account for 0.15% of all intracranial neoplasms. Complete surgical resection with wide surgical margins is currently the main treatment strategy, but can be hard to achieve due to the complex anatomy of the head and neck. The jugular foramen, situated in the floor of the posterior fossa and posterolaterally to the petro-occipital suture, is a remarkably rare location for CS. A case of primary CS of the jugular foramen in a 65-year-old patient is reported, presenting with otalgia, pulsatile tinnitus, and mild hearing loss in the left ear, accompanied by peripheral facial nerve paresis. Radiographic imaging showed a mass in the left mastoid, middle ear and jugular fossa with bone destruction of the jugular fossa and mastoid, while magnetic resonance imaging showed additional involvement of the petroclival fissure, hypoglossal canal, jugular bulb, and sigmoid sinus. The tumor was resected with wide margins through a Fisch infratemporal fossa approach type A, followed by radiotherapy. Results of the immunophenotyping along with histological features primarily matched moderately differentiated chondrosarcoma. The patient is recurrence free at 6 months after treatment. Middle ear discharge with facial palsy as a first manifestation of the CS has not been described to date. The unique localization, treatment details and histopathologic data are relevant in expanding the current level of knowledge on the subject.

摘要

绝大多数颅骨软骨肉瘤(CS)位于颅底,是具有局部侵袭性的恶性肿瘤,占所有颅内肿瘤的0.15%。目前,采用宽手术切缘的完整手术切除是主要治疗策略,但由于头颈部解剖结构复杂,难以实现。颈静脉孔位于后颅窝底部、岩枕缝后外侧,是CS极为罕见的发病部位。本文报告了一例65岁患者的颈静脉孔原发性CS,表现为耳痛、搏动性耳鸣和左耳轻度听力损失,并伴有周围性面神经麻痹。影像学检查显示左侧乳突、中耳和颈静脉窝有肿块,颈静脉窝和乳突骨质破坏,而磁共振成像显示岩斜裂、舌下神经管、颈静脉球和乙状窦也有受累。通过Fisch A型颞下窝入路对肿瘤进行了宽切缘切除,并进行了放疗。免疫表型分析结果与组织学特征主要符合中度分化软骨肉瘤。患者在治疗后6个月无复发。以中耳流脓和面神经麻痹作为CS首发表现的情况迄今尚未见报道。该独特的发病部位、治疗细节和组织病理学数据对于扩展当前对该疾病的认识水平具有重要意义。

https://cdn.ncbi.nlm.nih.gov/pmc/blobs/78ed/12001445/22a0aaca70b0/jiao-21-2-231362_f001.jpg

相似文献

1
Chondrosarcoma of the Jugular Foramen: A Case Report.
J Int Adv Otol. 2025 Mar 25;21(2):1-5. doi: 10.5152/iao.2025.231362.
2
Skull base chondrosarcomas: surgical treatment and results.
Ann Otol Rhinol Laryngol. 2013 Dec;122(12):763-70. doi: 10.1177/000348941312201206.
4
Jugular foramen tumors: diagnosis and treatment.
Neurosurg Focus. 2004 Aug 15;17(2):E5. doi: 10.3171/foc.2004.17.2.5.
5
Bilateral chondrosarcoma of the jugular foramen: literature review and personal experience.
Eur Arch Otorhinolaryngol. 2015 Oct;272(10):3071-5. doi: 10.1007/s00405-015-3513-0. Epub 2015 Feb 3.
6
Chondrosarcomas of the jugular foramen.
Laryngoscope. 2008 Oct;118(10):1719-28. doi: 10.1097/MLG.0b013e31817f93bb.
7
[Differential diagnosis and surgical management in chondrosarcoma of the jugular foramen].
Zhonghua Er Bi Yan Hou Tou Jing Wai Ke Za Zhi. 2023 Jun 7;58(6):544-551. doi: 10.3760/cma.j.cn115330-20220607-00334.
9
Transmastoid/Infralabyrinthine Approach to the Jugular Foramen: 2-Dimensional Operative Video.
Oper Neurosurg (Hagerstown). 2023 Dec 1;25(6):e361-e362. doi: 10.1227/ons.0000000000000775. Epub 2023 Jun 23.
10
A rare case of chondrosarcoma arising in parotid with extension to lateral skull base.
BMJ Case Rep. 2019 Dec 2;12(12):e231643. doi: 10.1136/bcr-2019-231643.

本文引用的文献

1
Primary temporal bone chondrosarcoma: experience with 10 cases.
Acta Otolaryngol. 2019 Oct;139(10):837-842. doi: 10.1080/00016489.2019.1641220. Epub 2019 Aug 2.
2
Surgery of the lateral skull base: a 50-year endeavour.
Acta Otorhinolaryngol Ital. 2019 Jun;39(SUPPL. 1):S1-S146. doi: 10.14639/0392-100X-suppl.1-39-2019.
3
Nonparaganglioma jugular foramen tumors.
Otolaryngol Clin North Am. 2015 Apr;48(2):343-59. doi: 10.1016/j.otc.2014.12.008. Epub 2015 Feb 4.
4
Skull base chondrosarcomas: surgical treatment and results.
Ann Otol Rhinol Laryngol. 2013 Dec;122(12):763-70. doi: 10.1177/000348941312201206.
5
Skull base chondrosarcoma: evidence-based treatment paradigms.
Neurosurg Clin N Am. 2013 Jan;24(1):89-96. doi: 10.1016/j.nec.2012.08.002.
6
Chondrosarcomas of the jugular foramen.
Laryngoscope. 2008 Oct;118(10):1719-28. doi: 10.1097/MLG.0b013e31817f93bb.
7
Chondrosarcoma of the skull base: long-term follow-up.
Otol Neurotol. 2006 Oct;27(7):981-91. doi: 10.1097/01.mao.0000233812.48800.b4.

文献AI研究员

20分钟写一篇综述,助力文献阅读效率提升50倍。

立即体验

用中文搜PubMed

大模型驱动的PubMed中文搜索引擎

马上搜索

文档翻译

学术文献翻译模型,支持多种主流文档格式。

立即体验