Suppr超能文献

伴有锁骨上黏液炎性纤维母细胞肉瘤的肺癌易被误诊为淋巴结转移:一例报告

Lung cancer with supraclavicular myxoinflammatory fibroblastic sarcoma is easily misdiagnosed as lymph node metastasis: a case report.

作者信息

Yang Qian, Chen Jie, Feng Xiao, Zeng Shue

机构信息

Department of Ultrasound, Hubei Cancer Hospital, Tongji Medical College, Huazhong University of Science and Technology, Wuhan, China.

Department of Oncology, Suizhou Hospital, Hubei University of Medicine, Wuhan, China.

出版信息

Front Oncol. 2025 Mar 28;15:1561193. doi: 10.3389/fonc.2025.1561193. eCollection 2025.

Abstract

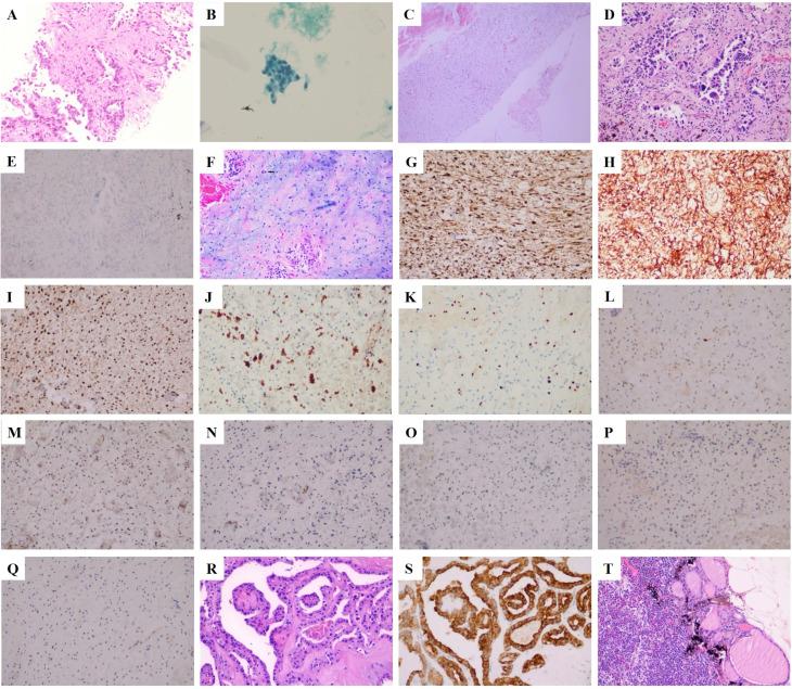
Myxoinflammatory fibroblastic sarcoma (MIFS) is an infiltrative, locally invasive fibroblastic tumor. A 68-year-old male patient was admitted to the hospital because of a physical examination that revealed a space-occupying lung. Positron emission tomography-CT (PET-CT) showed right upper lung cancer with multiple tiny nodules in both lungs (suspected metastatic foci), and the diagnosis of adenocarcinoma of the right lung was confirmed by aspiration biopsy. In the same period, thyroid nodules were detected by ultrasound and puncture, and papillary thyroid cancer was confirmed by pathology. After multidisciplinary consultation, a systemic treatment plan was drawn up, and changes in the lung nodules were observed. The patient received two cycles of chemotherapy and one cycle of targeted therapy, and the follow-up examination showed shrinkage of the upper lobe of the right lung but stabilization of the intrapulmonary nodule. Still, a mass was visible under the skin on the right neck. Given the abnormal ultrasound of lymph nodes in the V region of the neck and the puncture suggestive of a spindle cell soft tissue tumor, the team of specialists performed radical surgery after a comprehensive evaluation, including resection of the upper lobe of the right lung, systematic lymph node dissection, and enlarged resection of the neck mass. Postoperative pathology finally confirmed that the neck lesion was MIFS. This case suggests that the combination of lung cancer and neck mass should be alerted to the possibility of non-metastatic lesions, especially with supraclavicular lymph node metastasis, which emphasizes the key role of multidisciplinary collaboration and precise pathological diagnosis in the differentiation of complex tumors.

摘要

黏液样炎性纤维母细胞肉瘤(MIFS)是一种浸润性、局部侵袭性的纤维母细胞肿瘤。一名68岁男性患者因体检发现肺部占位入院。正电子发射断层扫描-CT(PET-CT)显示右上肺癌,双肺多发小结节(怀疑为转移灶),经穿刺活检确诊为右肺腺癌。同期,超声检查发现甲状腺结节并进行穿刺,病理确诊为甲状腺乳头状癌。经过多学科会诊,制定了全身治疗方案,并观察肺部结节的变化。患者接受了两个周期的化疗和一个周期的靶向治疗,随访检查显示右肺上叶缩小,但肺内结节稳定。然而,右颈部皮肤下仍可见一个肿块。鉴于颈部V区淋巴结超声异常且穿刺提示为梭形细胞软组织肿瘤,专家团队在综合评估后进行了根治性手术,包括切除右肺上叶、系统性淋巴结清扫以及扩大切除颈部肿块。术后病理最终证实颈部病变为MIFS。该病例提示,对于肺癌合并颈部肿块的情况,应警惕非转移性病变的可能,尤其是伴有锁骨上淋巴结转移时,这强调了多学科协作和精确病理诊断在复杂肿瘤鉴别中的关键作用。

https://cdn.ncbi.nlm.nih.gov/pmc/blobs/dbc8/11986360/56493315e9ca/fonc-15-1561193-g001.jpg

文献AI研究员

20分钟写一篇综述,助力文献阅读效率提升50倍。

立即体验

用中文搜PubMed

大模型驱动的PubMed中文搜索引擎

马上搜索

文档翻译

学术文献翻译模型,支持多种主流文档格式。

立即体验