Suppr超能文献

黄芩苷可恢复慢性阻塞性肺疾病急性加重期的固有淋巴细胞免疫失衡。

Baicalin restores innate lymphoid immune imbalance during exacerbation of COPD.

作者信息

Liu Xuemei, Luo Ai, Yang Mei, Luo Jian, Li Huifang, Chen Xiaoting, Mao Bing, Jiang Hongli, Liu Wei

机构信息

Department of Internal Medicine, Division of Pulmonary Medicine, Institute of Integrated Traditional and Western Medicine, West China Hospital, Sichuan University, Chengdu, China.

Department of Respiratory and Critical Care Medicine, West China Hospital, West China School of Medicine, and Division of Pulmonary Diseases, State Key Laboratory of Biotherapy, Sichuan University, Chengdu, China.

出版信息

Immunol Res. 2025 Apr 16;73(1):71. doi: 10.1007/s12026-025-09629-2.

Abstract

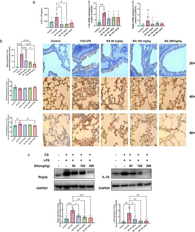
Chronic obstructive pulmonary disease (COPD) is characterized by immune dysregulation, including altered innate lymphoid cell (ILC) immune responses, particularly during exacerbations (ECOPD). Baicalin, a natural compound prevalent in various herbal medicines, has shown promise as a therapeutic candidate in ECOPD. However, its potential and molecular mechanism for addressing ILC immune imbalance during ECOPD remain poorly understood. First, this study conducted a cross-sectional analysis of ILC immune responses in stable COPD patients and those experiencing exacerbations. Then, clinical findings of skewed ILC immunity were validated in cigarette smoke and lipopolysaccharide-induced ECOPD mouse models. Lastly, the therapeutic effect of baicalin on restoring ILC immune homeostasis was investigated in experimental ECOPD mouse models. Significant downregulation of ILC2 immunity was observed during COPD exacerbations, accompanied by increased ILC1 and ILC3 responses, particularly in cases associated with bacterial infections. Notably, elevated IL-22 levels were observed in this group. Administration of recombinant IL-22 in ECOPD mouse models disrupted lung ILC homeostasis, specifically inhibiting the accumulation of ILC2. Proteomics and transcriptomics analyses suggested IL-22 as a mediator of type 2 immune suppression by creating a molecular environment that favors type 1 and type 3 immunity. Treatment with baicalin effectively restored ILC2 immunity by enhancing the recruitment and activation of lung ILC2 while suppressing ILC1 and ILC3 responses. Importantly, baicalin attenuated IL-22 production from lung ILC3, highlighting its potential as an IL-22 inhibitor. Baicalin demonstrates potential as a therapeutic strategy for addressing ILC immune imbalance in COPD exacerbations, particularly by restoring ILC2 immunity and partially inhibiting IL-22 production. Clinical registration The cross-sectional study was registered with the Chinese Clinical Trial Registry (ChiCTR2100050683).

摘要

慢性阻塞性肺疾病(COPD)的特征是免疫失调,包括先天性淋巴细胞(ILC)免疫反应改变,尤其是在急性加重期(ECOPD)。黄芩苷是一种在各种草药中普遍存在的天然化合物,已显示出作为ECOPD治疗候选药物的潜力。然而,其在ECOPD期间解决ILC免疫失衡的潜力和分子机制仍知之甚少。首先,本研究对稳定期COPD患者和急性加重期患者的ILC免疫反应进行了横断面分析。然后,在香烟烟雾和脂多糖诱导的ECOPD小鼠模型中验证了ILC免疫失衡的临床发现。最后,在实验性ECOPD小鼠模型中研究了黄芩苷恢复ILC免疫稳态的治疗效果。在COPD急性加重期观察到ILC2免疫显著下调,同时ILC1和ILC3反应增加,特别是在与细菌感染相关的病例中。值得注意的是,该组中观察到IL-22水平升高。在ECOPD小鼠模型中给予重组IL-22会破坏肺ILC稳态,特别是抑制ILC2的积累。蛋白质组学和转录组学分析表明,IL-22通过创造有利于1型和3型免疫的分子环境,作为2型免疫抑制的介质。黄芩苷治疗通过增强肺ILC2的募集和激活,同时抑制ILC1和ILC3反应,有效地恢复了ILC2免疫。重要的是,黄芩苷减弱了肺ILC3产生的IL-22,突出了其作为IL-22抑制剂的潜力。黄芩苷显示出作为解决COPD急性加重期ILC免疫失衡的治疗策略的潜力,特别是通过恢复ILC2免疫和部分抑制IL-22产生。临床注册 横断面研究已在中国临床试验注册中心注册(ChiCTR2100050683)。

https://cdn.ncbi.nlm.nih.gov/pmc/blobs/e2ea/12000166/14fa32e549d2/12026_2025_9629_Fig1_HTML.jpg

文献AI研究员

20分钟写一篇综述,助力文献阅读效率提升50倍。

立即体验

用中文搜PubMed

大模型驱动的PubMed中文搜索引擎

马上搜索

文档翻译

学术文献翻译模型,支持多种主流文档格式。

立即体验