Park Cheol, Cha Hee-Jae, Hong Su Hyun, Noh Jeong Sook, Hong Sang Hoon, Kim Gi Young, Shim Jung-Hyun, Hyun Jin Won, Choi Yung Hyun
Division of Basic Sciences, College of Liberal Studies, Dong-eui University, Busan 47340, Republic of Korea.
Department of Parasitology and Genetics, Kosin University College of Medicine, Busan 49104, Republic of Korea.
Biomol Ther (Seoul). 2025 May 1;33(3):518-528. doi: 10.4062/biomolther.2025.025. Epub 2025 Apr 17.
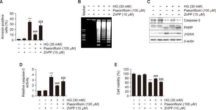
Oxidative stress due to hyperglycemia damages the functions of retinal pigment epithelial (RPE) cells and is a major risk factor for diabetic retinopathy (DR). Paeoniflorin is a monoterpenoid glycoside found in the roots of and has been reported to have a variety of health benefits. However, the mechanisms underlying its therapeutic effects on high glucose (HG)-induced oxidative damage in RPE cells are not fully understood. In this study, we investigated the protective effect of paeoniflorin against HG-induced oxidative damage in cultured human RPE ARPE-19 cells, an model of hyperglycemia. Pretreatment with paeoniflorin markedly reduced HG-induced cytotoxicity and DNA damage. Paeoniflorin inhibited HG-induced apoptosis by suppressing activation of the caspase cascade, and this suppression was associated with the blockade of cytochrome c release to cytoplasm by maintaining mitochondrial membrane stability. In addition, paeoniflorin suppressed the HG-induced production of reactive oxygen species (ROS), increased the phosphorylation of nuclear factor erythroid 2-related factor 2 (Nrf2), a key redox regulator, and the expression of its downstream factor heme oxygenase-1 (HO-1). On the other hand, zinc protoporphyrin (ZnPP), an inhibitor of HO-1, abolished the protective effect of paeoniflorin against ROS production in HG-treated cells. Furthermore, ZnPP reversed the protective effects of paeoniflorin against HG-induced cellular damage and induced mitochondrial damage, DNA injury, and apoptosis in paeoniflorin-treated cells. These results suggest that paeoniflorin protects RPE cells from HG-mediated oxidative stress-induced cytotoxicity by activating Nrf2/HO-1 signaling and highlight the potential therapeutic use of paeoniflorin to improve the symptoms of DR.
高血糖引起的氧化应激会损害视网膜色素上皮(RPE)细胞的功能,是糖尿病视网膜病变(DR)的主要危险因素。芍药苷是一种存在于芍药根中的单萜糖苷,据报道具有多种健康益处。然而,其对高糖(HG)诱导的RPE细胞氧化损伤的治疗作用机制尚未完全明确。在本研究中,我们研究了芍药苷对培养的人RPE ARPE-19细胞(一种高血糖模型)中HG诱导的氧化损伤的保护作用。芍药苷预处理显著降低了HG诱导的细胞毒性和DNA损伤。芍药苷通过抑制半胱天冬酶级联反应的激活来抑制HG诱导的细胞凋亡,这种抑制与通过维持线粒体膜稳定性来阻断细胞色素c释放到细胞质中有关。此外,芍药苷抑制了HG诱导的活性氧(ROS)生成,增加了关键氧化还原调节因子核因子红细胞2相关因子2(Nrf2)的磷酸化及其下游因子血红素加氧酶-1(HO-1)的表达。另一方面,HO-1抑制剂锌原卟啉(ZnPP)消除了芍药苷对HG处理细胞中ROS生成的保护作用。此外,ZnPP逆转了芍药苷对HG诱导的细胞损伤的保护作用,并在芍药苷处理的细胞中诱导了线粒体损伤、DNA损伤和细胞凋亡。这些结果表明,芍药苷通过激活Nrf2/HO-1信号通路保护RPE细胞免受HG介导的氧化应激诱导的细胞毒性,并突出了芍药苷改善DR症状的潜在治疗用途。