Suppr超能文献

哺乳动物类Ste20样激酶1调节AMPK以减轻非酒精性脂肪性肝病的进展。

Mammalian Ste20-like kinase 1 regulates AMPK to mitigate the progression of non-alcoholic fatty liver disease.

作者信息

Wang Lijuan, Zhang Chenglei, Ma Jie, Li Jiarui, Wu Yuanyuan, Ren Yanru, Li Jianning, Li Yan, Yang Yi

机构信息

School of Basic Medical Sciences, Ningxia Medical University, 1160 Shengli St, Xingqing District, Yinchuan, 750001, Ningxia, China.

Department of Endocrinology, General Hospital of Ningxia Medical University, Yinchuan, 750001, Ningxia, China.

出版信息

Eur J Med Res. 2025 Apr 17;30(1):296. doi: 10.1186/s40001-025-02557-9.

Abstract

BACKGROUND

Non-alcoholic steatohepatitis (NASH) progression is strongly associated with deteriorating hepatic function, primarily driven by free cholesterol (FC) accumulation-induced lipotoxicity. Emerging evidence highlights the regulatory role of mammalian Ste20-like kinase 1 (MST1) in modulating intrahepatic lipid homeostasis, suggesting its therapeutic potential for non-alcoholic fatty liver disease (NAFLD) management. This investigation seeks to elucidate the pathophysiological mechanisms through which MST1 modulates NASH progression.

METHODS

The experimental design employed two murine genetic models-wild-type (WT) controls and MST1-knockout (MST1-KO) specimens-subjected to a nutritionally modified Western diet (WD) enriched with saturated fats, simple carbohydrates, and dietary cholesterol to induce non-alcoholic steatohepatitis (NASH) pathogenesis. Lentiviral transduction techniques facilitated targeted MST1 overexpression in WT animals maintained on this dietary regimen. Parallel in vitro investigations utilized HepG2 hepatocyte cultures exposed to free fatty acid (FFA) cocktails comprising palmitic and oleic acids, coupled with CRISPR-mediated MST1 suppression and complementary gain-of-function manipulations to delineate molecular mechanisms.

RESULTS

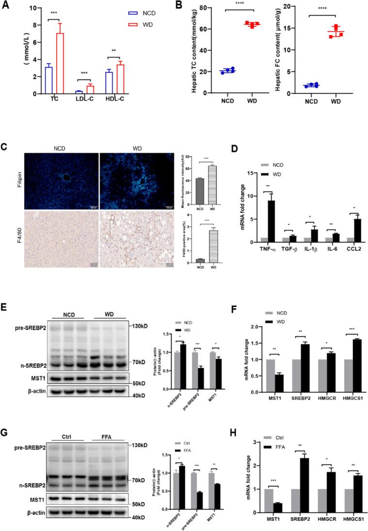
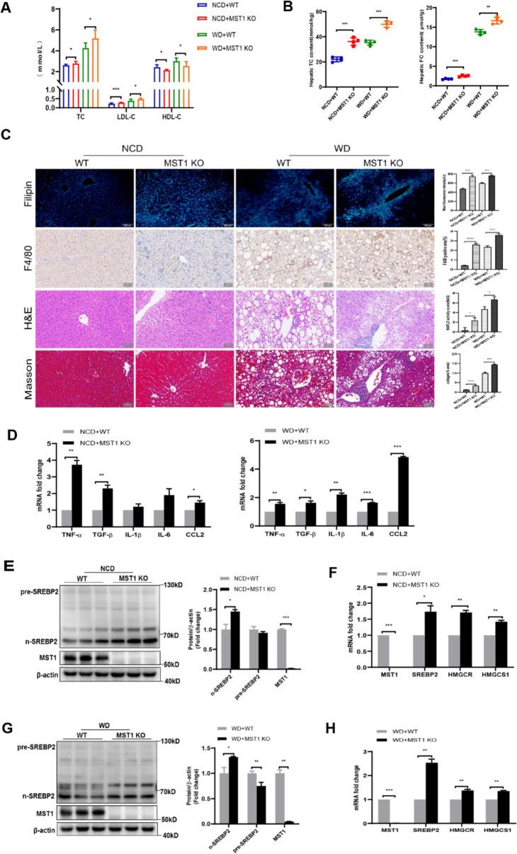
NASH triggers hepatic sterol biosynthesis activation, resulting in pathological FC overload concurrent with MST1 transcriptional suppression. Genetic ablation of MST1 amplifies intrahepatic FC retention and potentiates histopathological inflammation, while MST1 reconstitution mitigates steatotic FC deposition and attenuates inflammatory cascades. Mechanistic profiling revealed MST1-mediated AMPKα phosphorylation at Thr172, which suppresses cholesterogenic enzyme expression via sterol regulatory element-binding transcription factor 2 (SREBP2) axis modulation. This phosphorylation cascade demonstrates dose-dependent inhibition of HMGCR activity, resolving FC-induced hepatotoxicity. Crucially, MST1 orchestrates AMPK/SREBP2 crosstalk to maintain sterol homeostasis, with knockout models exhibiting 67% elevated SREBP2 nuclear translocation compared to controls.

CONCLUSIONS

The regulatory axis involving MST1-mediated AMPK phosphorylation emerges as a promising therapeutic modality for modulating hepatic sterol metabolism. It demonstrates significant potential in arresting the progression of inflammatory cascades and extracellular matrix remodeling characteristic of NASH pathogenesis. Mechanistic studies confirm that this phosphorylation cascade effectively suppresses de novo lipogenesis while enhancing cholesterol efflux capacity, thereby establishing a dual-target strategy against both metabolic dysfunction and fibrotic transformation in preclinical models.

摘要

背景

非酒精性脂肪性肝炎(NASH)的进展与肝功能恶化密切相关,主要由游离胆固醇(FC)积累诱导的脂毒性驱动。新出现的证据强调了哺乳动物Ste20样激酶1(MST1)在调节肝内脂质稳态中的调节作用,提示其在非酒精性脂肪性肝病(NAFLD)管理中的治疗潜力。本研究旨在阐明MST1调节NASH进展的病理生理机制。

方法

实验设计采用两种小鼠遗传模型——野生型(WT)对照和MST1基因敲除(MST1-KO)样本,给予富含饱和脂肪、简单碳水化合物和膳食胆固醇的营养改良西式饮食(WD)以诱导非酒精性脂肪性肝炎(NASH)发病机制。慢病毒转导技术有助于在维持这种饮食方案的WT动物中靶向过表达MST1。平行体外研究利用暴露于包含棕榈酸和油酸的游离脂肪酸(FFA)混合物的HepG2肝细胞培养物,结合CRISPR介导的MST1抑制和互补的功能获得操作来阐明分子机制。

结果

NASH触发肝脏固醇生物合成激活,导致病理性FC过载并伴有MST1转录抑制。MST1基因敲除放大了肝内FC潴留并增强了组织病理学炎症,而MST1重建减轻了脂肪变性的FC沉积并减弱了炎症级联反应。机制分析显示MST1介导的AMPKα在Thr172位点的磷酸化,通过固醇调节元件结合转录因子2(SREBP2)轴调节抑制胆固醇生成酶表达。这种磷酸化级联反应显示出对HMGCR活性的剂量依赖性抑制,解决了FC诱导的肝毒性。至关重要的是,MST1协调AMPK/SREBP2相互作用以维持固醇稳态,基因敲除模型与对照相比显示SREBP2核转位升高67%。

结论

涉及MST1介导的AMPK磷酸化的调节轴成为调节肝脏固醇代谢的一种有前景的治疗方式。它在阻止NASH发病机制特有的炎症级联反应和细胞外基质重塑进展方面显示出巨大潜力。机制研究证实这种磷酸化级联反应有效地抑制从头脂肪生成,同时增强胆固醇流出能力,从而在临床前模型中建立了针对代谢功能障碍和纤维化转变的双靶点策略。

https://cdn.ncbi.nlm.nih.gov/pmc/blobs/ac4d/12004885/ee94f4490b63/40001_2025_2557_Fig1_HTML.jpg

文献检索

告别复杂PubMed语法,用中文像聊天一样搜索,搜遍4000万医学文献。AI智能推荐,让科研检索更轻松。

立即免费搜索

文件翻译

保留排版,准确专业,支持PDF/Word/PPT等文件格式,支持 12+语言互译。

免费翻译文档

深度研究

AI帮你快速写综述,25分钟生成高质量综述,智能提取关键信息,辅助科研写作。

立即免费体验