Suppr超能文献

相似文献

1
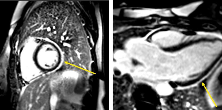
Tumor Necrosis Factor Receptor-Associated Periodic Syndrome: Genetics, Autoinflammation, and Recurrent Pericarditis.
JACC Case Rep. 2025 Apr 16;30(8):103206. doi: 10.1016/j.jaccas.2024.103206. Epub 2025 Feb 12.
2
3
Autoimmunity and autoinflammation as the yin and yang of idiopathic recurrent acute pericarditis.
Autoimmun Rev. 2015 Feb;14(2):90-7. doi: 10.1016/j.autrev.2014.10.005. Epub 2014 Oct 12.
10
IL-1 Inhibitors in the Treatment of Monogenic Periodic Fever Syndromes: From the Past to the Future Perspectives.
Front Immunol. 2021 Feb 1;11:619257. doi: 10.3389/fimmu.2020.619257. eCollection 2020.

本文引用的文献

1
Genetic variants in patients with recurrent pericarditis.
J Cardiovasc Med (Hagerstown). 2024 Nov 1;25(11):799-804. doi: 10.2459/JCM.0000000000001669. Epub 2024 Sep 17.
2
Pericardial Diseases and Best Practices for Pericardiectomy: JACC State-of-the-Art Review.
J Am Coll Cardiol. 2024 Aug 6;84(6):561-580. doi: 10.1016/j.jacc.2024.05.048.
4
Interleukin-1 Antagonists for the Treatment of Recurrent Pericarditis.
BioDrugs. 2022 Jul;36(4):459-472. doi: 10.1007/s40259-022-00537-7. Epub 2022 May 31.
5
Phase 3 Trial of Interleukin-1 Trap Rilonacept in Recurrent Pericarditis.
N Engl J Med. 2021 Jan 7;384(1):31-41. doi: 10.1056/NEJMoa2027892. Epub 2020 Nov 16.
7
Classification criteria for autoinflammatory recurrent fevers.
Ann Rheum Dis. 2019 Aug;78(8):1025-1032. doi: 10.1136/annrheumdis-2019-215048. Epub 2019 Apr 24.
8
Canakinumab for the Treatment of Autoinflammatory Recurrent Fever Syndromes.
N Engl J Med. 2018 May 17;378(20):1908-1919. doi: 10.1056/NEJMoa1706314.
9
Complicated Pericarditis: Understanding Risk Factors and Pathophysiology to Inform Imaging and Treatment.
J Am Coll Cardiol. 2016 Nov 29;68(21):2311-2328. doi: 10.1016/j.jacc.2016.07.785.

文献AI研究员

20分钟写一篇综述,助力文献阅读效率提升50倍。

立即体验

用中文搜PubMed

大模型驱动的PubMed中文搜索引擎

马上搜索

文档翻译

学术文献翻译模型,支持多种主流文档格式。

立即体验