Suppr超能文献

大鼠髓袢升支粗段对甲状腺功能减退的反应。

Response of the medullary thick ascending limb to hypothyroidism in the rat.

作者信息

Bentley A G, Madsen K M, Davis R G, Tisher C C

出版信息

Am J Pathol. 1985 Aug;120(2):215-21.

Abstract

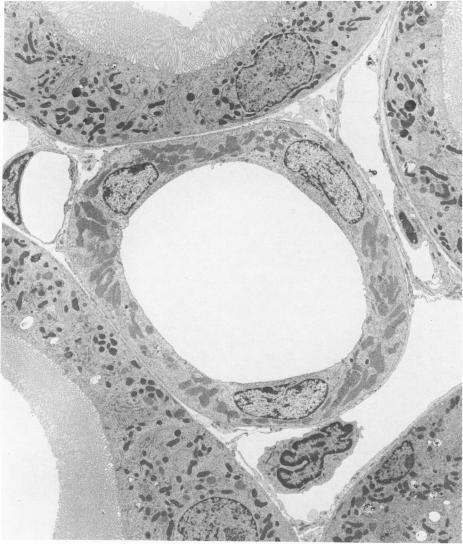
Hypothyroidism in the rat is associated with a decrease in kidney size and weight. We have shown previously that this decrease involves all nephron segments in the cortex and outer medulla and is especially pronounced in the medullary thick ascending limb (mTAL). Therefore, the present study was undertaken for examination of the effect of hypothyroidism on the ultrastructure of the rat mTAL. Hypothyroidism was induced by feeding aminotriazole (ATZ), 0.5 g/kg of food, for 4 weeks. A second group of animals received ATZ plus a daily injection of L-thyroxine (T4). A third group was fed a normal diet only and served as control animals. The kidneys were preserved by in vivo perfusion with 3% glutaraldehyde, and tissue from the inner and outer stripe of the outer medulla was processed for electron microscopy. Morphometric analysis revealed a significant decrease in the cross-sectional area of the mTAL in both the inner and outer stripe of the outer medulla in hypothyroid animals. No changes were observed in the surface density of either the apical or basolateral plasma membranes following ATZ treatment. However, when calculated per millimeter tubule, there was a significant decrease in the surface area (SL) of both the apical and basolateral plasma membranes of the mTAL of hypothyroid animals in comparison with control animals. Simultaneous treatment with T4 prevented the ATZ-induced reduction in both tubule cross-sectional area and in the SL of the plasma membrane. These findings suggest that the observed changes in SL of the plasma membrane of the mTAL are due to a regulatory role of thyroid hormone in membrane proliferation as well as in cell growth in general.

摘要

大鼠甲状腺功能减退与肾脏大小和重量的减少有关。我们之前已经表明,这种减少涉及皮质和外髓质的所有肾单位节段,并且在髓质厚升支(mTAL)中尤为明显。因此,本研究旨在检查甲状腺功能减退对大鼠mTAL超微结构的影响。通过喂食0.5 g/kg食物的氨基三唑(ATZ)4周来诱导甲状腺功能减退。第二组动物接受ATZ加每日注射L-甲状腺素(T4)。第三组仅喂食正常饮食并作为对照动物。通过用3%戊二醛进行体内灌注来保存肾脏,并对外髓质内带和外带的组织进行电子显微镜处理。形态计量学分析显示,甲状腺功能减退动物外髓质内带和外带的mTAL横截面积均显著减小。ATZ处理后,顶端或基底外侧质膜的表面密度未观察到变化。然而,当按每毫米小管计算时,与对照动物相比,甲状腺功能减退动物mTAL的顶端和基底外侧质膜的表面积(SL)均显著减小。同时用T4治疗可防止ATZ诱导的小管横截面积和质膜SL的减少。这些发现表明,观察到的mTAL质膜SL的变化是由于甲状腺激素在膜增殖以及一般细胞生长中的调节作用。

https://cdn.ncbi.nlm.nih.gov/pmc/blobs/31d1/1887834/b3664cadf00d/amjpathol00167-0053-a.jpg

文献检索

告别复杂PubMed语法,用中文像聊天一样搜索,搜遍4000万医学文献。AI智能推荐,让科研检索更轻松。

立即免费搜索

文件翻译

保留排版,准确专业,支持PDF/Word/PPT等文件格式,支持 12+语言互译。

免费翻译文档

深度研究

AI帮你快速写综述,25分钟生成高质量综述,智能提取关键信息,辅助科研写作。

立即免费体验