Suppr超能文献

桡神经施万细胞瘤的罕见表现:一例手术病例报告

Uncommon Presentation of a Schwannoma in the Radial Nerve: A Surgical Case Report.

作者信息

Rivera Troia Felix, Perez Lopez Carlos J

机构信息

Orthopedic Surgery, Ponce Health Sciences University, Ponce, PRI.

出版信息

Cureus. 2025 Mar 20;17(3):e80865. doi: 10.7759/cureus.80865. eCollection 2025 Mar.

Abstract

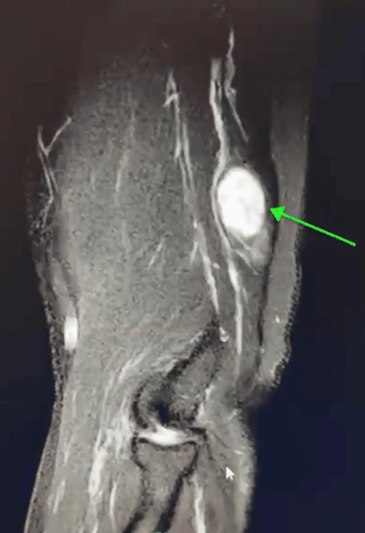
Schwannomas are uncommon, mostly benign nerve sheath tumors that typically present as painless or intermittently painful lumps. They are most commonly found on the flexor surfaces of the body, with occurrence in the radial nerve being exceptionally rare. We present the case of a 55-year-old male with a five-month history of a progressively enlarging, mobile mass on the posterior aspect of the right arm. The patient presented with a transient, "shock-like pain" that failed to respond to conservative management. Imaging confirmed a peripheral nerve schwannoma located deep in the triceps posterior fascia along the lateral head of the triceps within the radial nerve. Due to persistent symptoms and failure of conservative treatment, surgical excision of the neural tumor was recommended. This case highlights the clinical presentation and surgical management of a rare radial nerve schwannoma.

摘要

神经鞘瘤并不常见,大多为良性神经鞘膜肿瘤,通常表现为无痛或间歇性疼痛的肿块。它们最常见于身体的屈侧表面,在桡神经中出现极为罕见。我们报告一例55岁男性患者,其右臂后侧有一个进行性增大的可移动肿块,病史长达五个月。患者出现短暂的“电击样疼痛”,保守治疗无效。影像学检查证实为外周神经鞘瘤,位于桡神经内肱三头肌外侧头沿肱三头肌后筋膜深处。由于症状持续且保守治疗失败,建议手术切除神经肿瘤。本病例突出了罕见的桡神经鞘瘤的临床表现及手术治疗。

https://cdn.ncbi.nlm.nih.gov/pmc/blobs/86a6/12008818/2069c6ecdabf/cureus-0017-00000080865-i01.jpg

文献AI研究员

20分钟写一篇综述,助力文献阅读效率提升50倍。

立即体验

用中文搜PubMed

大模型驱动的PubMed中文搜索引擎

马上搜索

文档翻译

学术文献翻译模型,支持多种主流文档格式。

立即体验