Priya Aditi, Gupta Smita K, Ashok Chanchal, Paswan Manoj K
Department of Pathology, Rajendra Institute of Medical Sciences, Ranchi, Jharkhand, India.
J Family Med Prim Care. 2025 Mar;14(3):1058-1063. doi: 10.4103/jfmpc.jfmpc_1368_24. Epub 2025 Mar 25.
Sudden cardiac death (SCD) is defined as an abrupt and unexpected death caused by cardiovascular disease, regardless of whether the individual has a history of heart disease. The conditions included in this classification are myocardial infarction (MI), coronary atherosclerosis, myocardial hypertrophy, myocarditis, aortic valve dysfunction, and ruptured aortic aneurysm. The objective of this study was to analyze and examine different cardiac illnesses and histopathological abnormalities of the heart that occur in SCDs, based on a 4-year autopsy experience in Jharkhand.
A retrospective observational study spanning 4 years was undertaken on autopsy specimens of whole hearts submitted for histological analysis in the Department of Pathology, RIMS, from April 2020 to March 2024. We evaluated several histological alterations in the heart of all the received autopsy specimens.
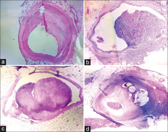
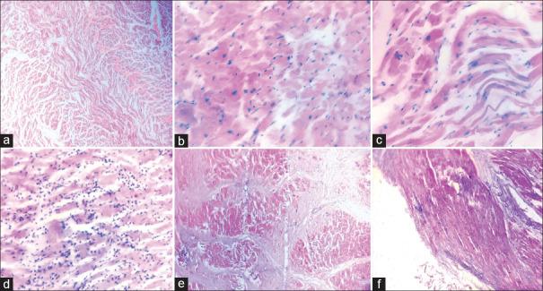
A wide variety of histological abnormalities has been observed, with atherosclerosis being the most prevalent. Additional pathological conditions observed were myocardial infarction (MI), hypertrophy, cardiomyopathy, metastasis, myocarditis, pericarditis, and tuberculosis of the heart.
Atherosclerosis is the primary etiology of SCD and predominantly affects middle-aged adult males in the Jharkhand population. Comprehending the histopathological results is crucial for identifying the cause of death, adhering to the minimum autopsy requirements for SCD, and enhancing treatment and preventive efforts to decrease SCD mortality.
心源性猝死(SCD)被定义为由心血管疾病导致的突然且意外的死亡,无论个体是否有心脏病史。该分类中包括的病症有心肌梗死(MI)、冠状动脉粥样硬化、心肌肥厚、心肌炎、主动脉瓣功能障碍和主动脉瘤破裂。本研究的目的是基于在贾坎德邦4年的尸检经验,分析和检查SCD中出现的不同心脏疾病和心脏组织病理学异常。
对2020年4月至2024年3月期间提交给RIMS病理学系进行组织学分析的全心脏尸检标本进行了一项为期4年的回顾性观察研究。我们评估了所有收到的尸检标本心脏中的几种组织学改变。
观察到了各种各样的组织学异常,其中动脉粥样硬化最为普遍。观察到的其他病理状况有心肌梗死(MI)、肥厚、心肌病、转移、心肌炎、心包炎和心脏结核。
动脉粥样硬化是SCD的主要病因,在贾坎德邦人群中主要影响中年成年男性。理解组织病理学结果对于确定死亡原因、遵守SCD的最低尸检要求以及加强治疗和预防措施以降低SCD死亡率至关重要。