Suppr超能文献

国药疫苗接种后出现意外的嗜酸性粒细胞增多症:一例报告。

Unexpected hypereosinophilia after Sinopharm vaccination: a case report.

作者信息

Dalfardi Behnam, Rad Niloofar Khoshnam, Mohammad Alizade Tayebe, Edalatifard Maryam, Asadi Sanaz, Rahimi Besharat

机构信息

Thoracic Research Center, Imam Khomeini Hospital Complex, Tehran University of Medical Sciences, Tehran, Iran.

出版信息

BMC Infect Dis. 2025 Apr 22;25(1):583. doi: 10.1186/s12879-025-10990-8.

Abstract

BACKGROUND

COVID-19 vaccines have been pivotal in the management of the recent pandemic. However, despite their safety and efficacy, apprehension regarding possible adverse effects has always been raised. Most of the vaccine-related side effects are mild. However, serious complications like anaphylaxis and thromboembolic events have also been reported. Various hematological disorders, including hypereosinophilia, have been reported following COVID-19 vaccination, the exact mechanisms of which remain unclear.

CASE PRESENTATION

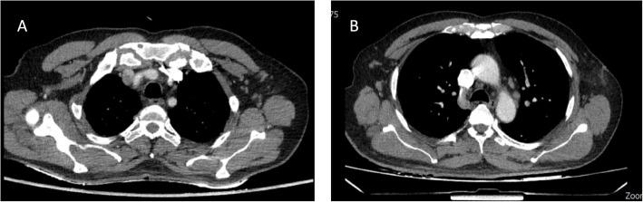
We report a 66-year-old male who developed hypereosinophilia (absolute eosinophil count: 4063 cells/µL) and lymphadenopathy two months after receiving the third dose of the BBIBP-CorV (Sinopharm) COVID-19 vaccine. Extensive investigations failed to identify an alternative cause for these findings.

CONCLUSIONS

This case report underscores the potential for unexpected hematological adverse events following COVID-19 vaccination, even with inactivated vaccines. While a definitive causal relationship cannot be established, the temporal association between vaccination and symptom onset warrants further investigation. This case emphasizes the importance of continued surveillance for rare adverse events and additional research to elucidate the potential mechanisms underlying vaccine-associated eosinophilia.

摘要

背景

新型冠状病毒肺炎(COVID-19)疫苗在近期疫情防控中发挥了关键作用。然而,尽管其安全性和有效性得到认可,但人们一直对可能的不良反应存在担忧。大多数与疫苗相关的副作用较为轻微。不过,也有过敏反应和血栓栓塞事件等严重并发症的报道。接种COVID-19疫苗后出现了包括嗜酸性粒细胞增多症在内的各种血液系统疾病,但其确切机制尚不清楚。

病例报告

我们报告一名66岁男性,在接种第三剂BBIBP-CorV(国药集团)COVID-19疫苗两个月后出现嗜酸性粒细胞增多症(绝对嗜酸性粒细胞计数:4063个/微升)和淋巴结病。广泛检查未能确定这些发现的其他原因。

结论

本病例报告强调了COVID-19疫苗接种后出现意外血液学不良事件的可能性,即使是灭活疫苗。虽然无法确定明确的因果关系,但疫苗接种与症状发作之间的时间关联值得进一步研究。本病例强调了持续监测罕见不良事件以及开展更多研究以阐明疫苗相关嗜酸性粒细胞增多症潜在机制的重要性。

https://cdn.ncbi.nlm.nih.gov/pmc/blobs/8b4f/12016119/043fa6005460/12879_2025_10990_Fig1_HTML.jpg

文献AI研究员

20分钟写一篇综述,助力文献阅读效率提升50倍。

立即体验

用中文搜PubMed

大模型驱动的PubMed中文搜索引擎

马上搜索

文档翻译

学术文献翻译模型,支持多种主流文档格式。

立即体验