Alyami Sami M, Alrasheed Sarah K, Albogami Bashayer A
Pulmonary Medicine, King Abdulaziz Medical City, Riyadh, SAU.
Cureus. 2023 Apr 30;15(4):e38339. doi: 10.7759/cureus.38339. eCollection 2023 Apr.
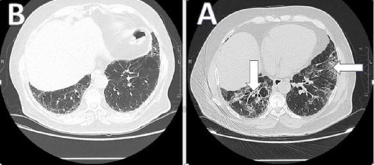
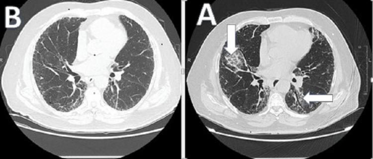
Metformin, a mainstay treatment for type two diabetes mellitus has several side effects, ranging from mild to life-threatening ones. One report has found the combination of metformin/glibenclamide a culprit for interstitial lung disease. Other studies have shown that metformin has a protective effect on the lungs. We report a rare case of a 64-year-old male who presented with progressive dyspnea while he was on metformin alone. He was diagnosed with eosinophilic interstitial lung disease (ILD). This was confirmed by a pulmonary function test (PFT), high-resolution chest computed tomography scan (HRCT), and bronchoscopy with bronchoalveolar lavage (BAL). Known causes for eosinophilic pneumonia were excluded, and the patient's condition improved significantly after withdrawing metformin. We report this case due to the rarity of the condition. In fact, this is the only case in the literature, of metformin as the sole agent causing eosinophilic pneumonitis.
二甲双胍是2型糖尿病的主要治疗药物,有多种副作用,从轻症到危及生命的都有。一份报告发现二甲双胍/格列本脲联用是间质性肺病的病因。其他研究表明二甲双胍对肺部有保护作用。我们报告一例罕见病例,一名64岁男性在单独服用二甲双胍时出现进行性呼吸困难。他被诊断为嗜酸性粒细胞性间质性肺病(ILD)。这通过肺功能测试(PFT)、高分辨率胸部计算机断层扫描(HRCT)以及支气管镜检查和支气管肺泡灌洗(BAL)得以证实。排除了嗜酸性粒细胞性肺炎的已知病因,停用二甲双胍后患者病情显著改善。我们报告此病例是因为这种情况很罕见。事实上,这是文献中唯一一例二甲双胍作为唯一药物导致嗜酸性粒细胞性肺炎的病例。