Suppr超能文献

犬心丝虫病右肺动脉尺寸及右肺动脉扩张性指数的超声心动图对比评估

Comparative Echocardiographic Evaluation of Right Pulmonary Artery Dimensions and Right Pulmonary Artery Distensibility Index in Dogs with Heartworm Disease.

作者信息

Matos Jorge Isidoro, Caro-Vadillo Alicia, Mohr-Peraza Eva, García-Rodríguez Sara Nieves, Montoya-Alonso José Alberto, Carretón Elena

机构信息

Internal Medicine, Veterinary Medicine and Therapeutic Research Group, Faculty of Veterinary Science, Research Institute of Biomedical and Health Sciences (IUIBS), University of Las Palmas de Gran Canaria, 35017 Las Palmas de Gran Canaria, Spain.

Department of Animal Medicine and Surgery, Faculty of Veterinary Medicine, Complutense University, 28040 Madrid, Spain.

出版信息

Vet Sci. 2025 Mar 4;12(3):246. doi: 10.3390/vetsci12030246.

Abstract

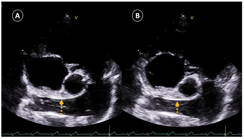
Canine cardiopulmonary dirofilariosis or heartworm disease (), is a globally spread vector-borne disease [...].

摘要

犬心肺恶丝虫病或心丝虫病(),是一种全球传播的媒介传播疾病[...]

https://cdn.ncbi.nlm.nih.gov/pmc/blobs/a68a/11946142/a7c89081bba9/vetsci-12-00246-g001.jpg

文献检索

告别复杂PubMed语法,用中文像聊天一样搜索,搜遍4000万医学文献。AI智能推荐,让科研检索更轻松。

立即免费搜索

文件翻译

保留排版,准确专业,支持PDF/Word/PPT等文件格式,支持 12+语言互译。

免费翻译文档

深度研究

AI帮你快速写综述,25分钟生成高质量综述,智能提取关键信息,辅助科研写作。

立即免费体验