Suppr超能文献

在三维培养系统中,人脂肪基质细胞可向具有适应性粘弹性的肌腱表型分化。

Human adipose stromal cells differentiate towards a tendon phenotype with adapted visco-elastic properties in a 3D-culture system.

作者信息

Hordé Maxime, Fouchard Jonathan, Palacios Luna Gomez, Laffray Xavier, Blavet Cédrine, Béréziat Véronique, Lagathu Claire, Gaut Ludovic, Duprez Delphine, Havis Emmanuelle

机构信息

Sorbonne Université, Institut Biologie Paris Seine, CNRS UMR7622, Developmental Biology Laboratory, Inserm U1156, F-75005 Paris, France.

Université Paris Est Creteil, Glycobiology, Cell Growth and Tissue Repair Research Unit (Gly-CRRET), EA 4397, F-94010 Creteil, France.

出版信息

Biol Open. 2025 May 15;14(5). doi: 10.1242/bio.061911. Epub 2025 May 12.

Abstract

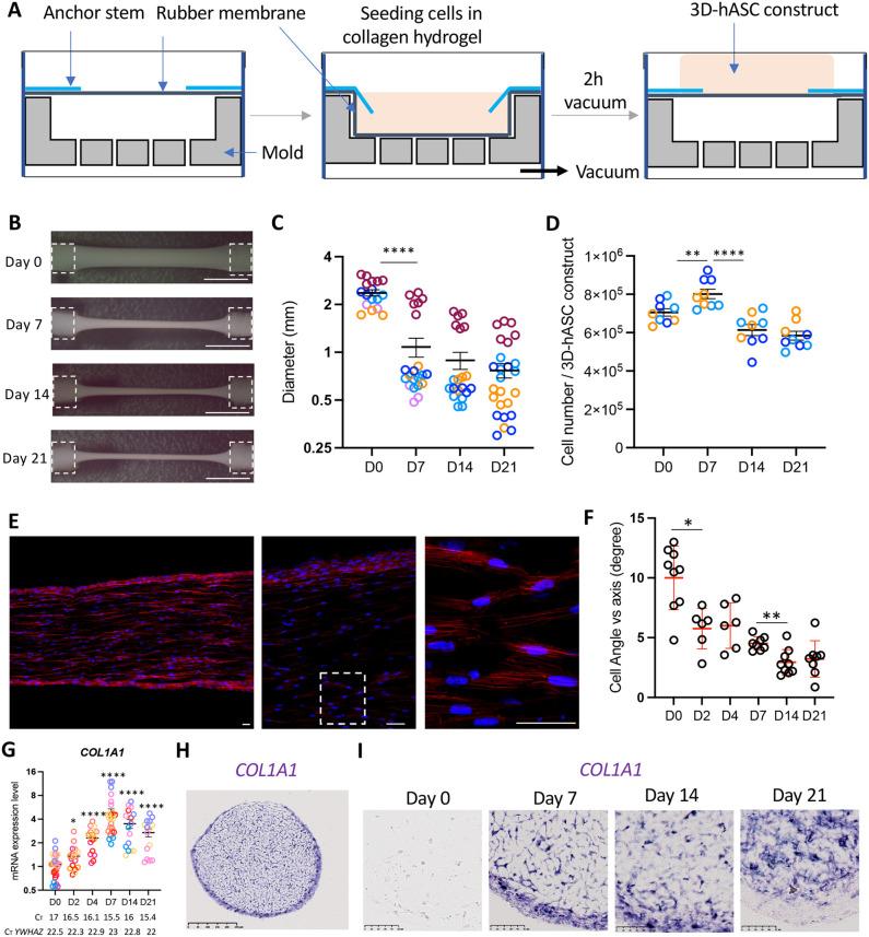
Tendon cell differentiation relies on molecular and mechanical parameters that control the expression of tendon-associated transcription factors and extracellular matrix proteins. However, the minimal cues able to initiate tendon differentiation from progenitor cells remains unknown. We analysed the tendon differentiation program in human adipose stromal cells (hASCs) cultured in a minimal 3D system. We generated 3D-hASC constructs by embedding hASCs in a type-I collagen gel under a static uniaxial geometrical constraint with no additional molecular and mechanical cues, and assessed tendon-associated gene expression and mechanical properties for up to 3 weeks in culture. Analysis of tendon-associated genes revealed a molecular progression consistent with the acquisition of a tendon phenotype. The analysis of viscoelastic properties of 3D-hASC constructs by nano-indentation indicated a progressive increase in tissue stiffness up to 10 kPa, concomitant with a reduced stress relaxation indicative of solid-like mechanical properties. These changes in mechanical properties parallel the molecular change of matrix genes during the time of cultures. In summary, we have established that hASCs cultured in a minimal 3D-system progress into the tendon differentiation program associated with variations of mechanical properties.

摘要

肌腱细胞分化依赖于控制肌腱相关转录因子和细胞外基质蛋白表达的分子和力学参数。然而,能够启动祖细胞向肌腱分化的最小线索仍不清楚。我们分析了在最小三维系统中培养的人脂肪基质细胞(hASC)的肌腱分化程序。我们通过将hASC嵌入I型胶原凝胶中,在静态单轴几何约束下,不添加额外的分子和力学线索,生成了三维hASC构建体,并在培养长达3周的时间内评估了肌腱相关基因表达和力学性能。对肌腱相关基因的分析揭示了与肌腱表型获得一致的分子进展。通过纳米压痕对三维hASC构建体的粘弹性特性分析表明,组织硬度逐渐增加至10 kPa,同时应力松弛减少,表明具有类固体力学性能。在培养期间,这些力学性能的变化与基质基因的分子变化平行。总之,我们已经确定,在最小三维系统中培养的hASC会进入与力学性能变化相关的肌腱分化程序。

https://cdn.ncbi.nlm.nih.gov/pmc/blobs/a794/12091229/5c90fb614a48/biolopen-14-061911-g1.jpg

文献AI研究员

20分钟写一篇综述,助力文献阅读效率提升50倍。

立即体验

用中文搜PubMed

大模型驱动的PubMed中文搜索引擎

马上搜索

文档翻译

学术文献翻译模型,支持多种主流文档格式。

立即体验