• 文献检索
  • 文档翻译
  • 深度研究
  • 学术资讯
  • Suppr Zotero 插件Zotero 插件
  • 邀请有礼
  • 套餐&价格
  • 历史记录
应用&插件
Suppr Zotero 插件Zotero 插件浏览器插件Mac 客户端Windows 客户端微信小程序
定价
高级版会员购买积分包购买API积分包
服务
文献检索文档翻译深度研究API 文档MCP 服务
关于我们
关于 Suppr公司介绍联系我们用户协议隐私条款
关注我们

Suppr 超能文献

核心技术专利:CN118964589B侵权必究
粤ICP备2023148730 号-1Suppr @ 2026

文献检索

告别复杂PubMed语法,用中文像聊天一样搜索,搜遍4000万医学文献。AI智能推荐,让科研检索更轻松。

立即免费搜索

文件翻译

保留排版,准确专业,支持PDF/Word/PPT等文件格式,支持 12+语言互译。

免费翻译文档

深度研究

AI帮你快速写综述,25分钟生成高质量综述,智能提取关键信息,辅助科研写作。

立即免费体验

呼气末正压对小儿心脏手术后肺通气的影响:一项基于CT的研究。

Effect of PEEP on lung aeration in pediatric patients after cardiac surgery: a CT-Based study.

作者信息

Gimenez Solange C, Carrilho Milene C, Malbouisson Isabela M, de Abreu Marcelo Gama, Rouby Jean-Jacques, Malbouisson Luiz Marcelo Sá

机构信息

Hospital das Clínicas da Faculdade de Medicina da Universidade de São Paulo, Divisão de Anestesia, São Paulo, SP, Brazil.

University Paris-Sorbonne (UPMC Paris 06), Hôpital de la Pitié-Salpêtrière, Assistance Publique Hôpitaux de Paris, Multidisciplinary Intensive Care Unit, Department of Anesthesiology, Paris, France.

出版信息

Braz J Anesthesiol. 2025 Apr 22;75(4):844623. doi: 10.1016/j.bjane.2025.844623.

DOI:10.1016/j.bjane.2025.844623
PMID:40274098
原文链接:https://pmc.ncbi.nlm.nih.gov/articles/PMC12143648/
Abstract

BACKGROUND

Loss of lung aeration is frequently observed in adult patients following cardiac surgery with cardiopulmonary bypass. Yet, in children, changes in lung aeration following surgical repair of congenital heart defects, and the effects of Positive End-Expiratory Pressure (PEEP), remain uncertain.

METHODS

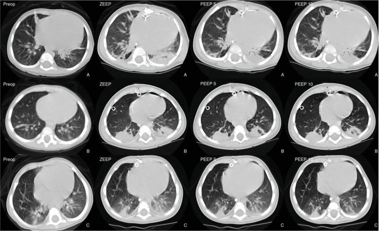
Changes in lung aeration were investigated using volumetric computed tomography in 12 children with congenital acianogenic heart diseases and increased pulmonary flow who underwent total surgical repair under cardiopulmonary bypass. Computed tomography of the lungs was obtained preoperatively during spontaneous breathing and postoperatively during mechanical ventilation with positive end-expiratory pressure of 0, 5 and 10 cm HO. Gas and tissue lung volume and mass, as well non-aerated, poorly aerated and normally aerated lung compartments were measured.

RESULTS

Median age of patients was 18.3 months, (4 to 24 months), weight was 9.3 ± 2.3 kg. Cardiopulmonary bypass duration was 77 ± 26 minutes. Preoperatively, pulmonary volume was 545 mL (237‒753 mL), whereby tissue and gas volumes were 48.4% (41.7%‒59.6%), and 51.6% (40.4%‒58.3%), respectively. Non-aerated and normally aerated compartments accounted for 15% and 47.9% of lung tissue, respectively. Postoperatively, at zero PEEP, the non-aerated compartment increased to 27%, while normally-aerated compared decreased to 38.5%. Stepwise PEEP application restored normally aerated lung volume to preoperative levels but did not significantly reduce non-aerated parenchyma.

CONCLUSION

Loss of lung aeration was pronounced after surgical correction of congenital heart defects. PEEP up to 10 cm HO restored gas volume but failed to recruit the collapsed parenchyma. Ethical Approval CAPPesq n° 854/01.

摘要

背景

在接受体外循环心脏手术的成年患者中,经常观察到肺通气丧失。然而,在儿童中,先天性心脏缺陷手术修复后肺通气的变化以及呼气末正压(PEEP)的影响仍不确定。

方法

对12例患有先天性非紫绀型心脏病且肺血流量增加的儿童进行了研究,这些儿童在体外循环下接受了完全手术修复。在术前自主呼吸期间以及术后机械通气时,呼气末正压分别为0、5和10 cmH₂O时进行肺部计算机断层扫描。测量气体和组织肺体积及质量,以及未通气、通气不良和通气正常的肺区。

结果

患者的中位年龄为18.3个月(4至24个月),体重为9.3±2.3 kg。体外循环持续时间为77±26分钟。术前,肺体积为545 mL(237 - 753 mL),其中组织和气体体积分别为48.4%(41.7% - 59.6%)和51.6%(40.4% - 58.3%)。未通气和通气正常的肺区分别占肺组织的15%和47.9%。术后,在零PEEP时,未通气肺区增加到27%,而通气正常的肺区则降至38.5%。逐步应用PEEP可使通气正常的肺体积恢复到术前水平,但未显著减少未通气实质。

结论

先天性心脏缺陷手术矫正后肺通气丧失明显。高达10 cmH₂O的PEEP可恢复气体体积,但未能使塌陷的实质复张。伦理批准号CAPPesq n° 854/01。

https://cdn.ncbi.nlm.nih.gov/pmc/blobs/e680/12143648/8d2409cb1dc0/gr3.jpg
https://cdn.ncbi.nlm.nih.gov/pmc/blobs/e680/12143648/50430281cca7/gr1.jpg
https://cdn.ncbi.nlm.nih.gov/pmc/blobs/e680/12143648/2ea5519dc9b0/gr2.jpg
https://cdn.ncbi.nlm.nih.gov/pmc/blobs/e680/12143648/8d2409cb1dc0/gr3.jpg
https://cdn.ncbi.nlm.nih.gov/pmc/blobs/e680/12143648/50430281cca7/gr1.jpg
https://cdn.ncbi.nlm.nih.gov/pmc/blobs/e680/12143648/2ea5519dc9b0/gr2.jpg
https://cdn.ncbi.nlm.nih.gov/pmc/blobs/e680/12143648/8d2409cb1dc0/gr3.jpg

相似文献

1
Effect of PEEP on lung aeration in pediatric patients after cardiac surgery: a CT-Based study.呼气末正压对小儿心脏手术后肺通气的影响:一项基于CT的研究。
Braz J Anesthesiol. 2025 Apr 22;75(4):844623. doi: 10.1016/j.bjane.2025.844623.
2
Diagnostic performance of the recruitment-to-inflation ratio to assess lung recruitability by PEEP in ARDS. a computed tomography study.通过PEEP评估ARDS中肺可复张性的肺复张与膨胀比的诊断性能:一项计算机断层扫描研究
Crit Care. 2025 Jun 3;29(1):220. doi: 10.1186/s13054-025-05453-0.
3
Ventilator Management呼吸机管理
4
Maintaining ventilation with very low tidal volume and positive-end expiratory pressure versus no ventilation during cardiopulmonary bypass for cardiac surgery in adults: a randomized clinical trial.成人心脏手术体外循环期间采用低潮气量和呼气末正压通气与不进行通气的效果比较:一项随机临床试验
Intensive Care Med. 2025 May 5. doi: 10.1007/s00134-025-07901-5.
5
The Impact of Increased PEEP on Hemodynamics, Respiratory Mechanics, and Oxygenation in Pediatric ARDS.PEEP 增加对小儿 ARDS 血流动力学、呼吸力学和氧合的影响。
Respir Care. 2024 Oct 25;69(11):1409-1416. doi: 10.4187/respcare.12005.
6
Adjustment of positive end-expiratory pressure based on body mass index during general anaesthesia: a randomised controlled trial.全身麻醉期间基于体重指数调整呼气末正压:一项随机对照试验。
Anaesthesia. 2025 Jun 23. doi: 10.1111/anae.16656.
7
Positioning for acute respiratory distress in hospitalised infants and children.急性呼吸窘迫患儿的体位摆放。
Cochrane Database Syst Rev. 2022 Jun 6;6(6):CD003645. doi: 10.1002/14651858.CD003645.pub4.
8
Positive End-Expiratory Pressure and Atelectasis after Bronchial Blockade One-Lung Ventilation in Infants: A Randomized Controlled Study.婴儿支气管阻塞单肺通气后呼气末正压与肺不张:一项随机对照研究
J Cardiothorac Vasc Anesth. 2025 Jun 16. doi: 10.1053/j.jvca.2025.06.025.
9
Intraoperative use of low volume ventilation to decrease postoperative mortality, mechanical ventilation, lengths of stay and lung injury in adults without acute lung injury.在无急性肺损伤的成人患者中,术中采用小潮气量通气以降低术后死亡率、机械通气时间、住院时间及肺损伤。
Cochrane Database Syst Rev. 2018 Jul 9;7(7):CD011151. doi: 10.1002/14651858.CD011151.pub3.
10
Pressure support ventilation improves ventilation during inhalational induction of anesthesia in children: A pilot study.压力支持通气改善小儿吸入诱导麻醉期间的通气:一项初步研究。
J Clin Anesth. 2025 Feb;101:111710. doi: 10.1016/j.jclinane.2024.111710. Epub 2024 Dec 17.

本文引用的文献

1
The Impact of Increased PEEP on Hemodynamics, Respiratory Mechanics, and Oxygenation in Pediatric ARDS.PEEP 增加对小儿 ARDS 血流动力学、呼吸力学和氧合的影响。
Respir Care. 2024 Oct 25;69(11):1409-1416. doi: 10.4187/respcare.12005.
2
Maintaining moderate versus lower PEEP after cardiac surgery: a propensity-scored matched analysis.心脏手术后维持适度与较低 PEEP 水平:倾向评分匹配分析。
BMC Anesthesiol. 2024 Feb 7;24(1):55. doi: 10.1186/s12871-024-02438-4.
3
Cardiac compression of lung lower lobes after coronary artery bypass graft with cardiopulmonary bypass.
体外循环下冠状动脉旁路移植术后肺下叶心脏压迫
PLoS One. 2013 Nov 11;8(11):e78643. doi: 10.1371/journal.pone.0078643. eCollection 2013.
4
Computed tomography assessment of lung structure in patients undergoing cardiac surgery with cardiopulmonary bypass.体外循环心脏手术患者的肺部结构计算机断层评估。
Braz J Med Biol Res. 2011 Jun;44(6):598-605. doi: 10.1590/s0100-879x2011007500048. Epub 2011 Apr 20.
5
STUDIES OF RESPIRATORY PHYSIOLOGY IN CHILDREN. VI. LUNG DIFFUSING CAPACITY, DIFFUSING CAPACITY OF THE PULMONARY MEMBRANE AND PULMONARY CAPILLARY BLOOD VOLUME IN CONGENITAL HEART DISEASE.儿童呼吸生理学研究。六、先天性心脏病患儿的肺弥散容量、肺膜弥散容量及肺毛细血管血容量
J Clin Invest. 1961 Aug;40(8 Pt 1-2):1431-41. doi: 10.1172/JCI104374.
6
High-resolution computed tomography imaging of airway disease in infants with cystic fibrosis.囊性纤维化婴儿气道疾病的高分辨率计算机断层扫描成像
Am J Respir Crit Care Med. 2005 Nov 1;172(9):1133-8. doi: 10.1164/rccm.200412-1665OC. Epub 2005 Jul 28.
7
Low spatial resolution computed tomography underestimates lung overinflation resulting from positive pressure ventilation.低空间分辨率计算机断层扫描会低估正压通气导致的肺过度充气。
Crit Care Med. 2005 Apr;33(4):741-9. doi: 10.1097/01.ccm.0000155786.53015.e7.
8
Histologic changes of pulmonary arteries in congenital heart disease with left-to-right shunt (part 1): correlated with preoperative pulmonary hemodynamics. Emphasizing the significance of pulmonary arterial concentration.左向右分流型先天性心脏病肺动脉的组织学改变(第1部分):与术前肺血流动力学的相关性。强调肺动脉浓度的意义。
Yonsei Med J. 2002 Feb;43(1):73-81. doi: 10.3349/ymj.2002.43.1.73.
9
Validation of a software designed for computed tomographic (CT) measurement of lung water.
Intensive Care Med. 2001 Mar;27(3):602-8. doi: 10.1007/s001340100860.
10
Role of the heart in the loss of aeration characterizing lower lobes in acute respiratory distress syndrome. CT Scan ARDS Study Group.心脏在急性呼吸窘迫综合征下叶通气丧失中的作用。CT扫描急性呼吸窘迫综合征研究组。
Am J Respir Crit Care Med. 2000 Jun;161(6):2005-12. doi: 10.1164/ajrccm.161.6.9907067.