Suppr超能文献

男性绒毛膜癌伴脑出血:一例报告及文献复习

Male choriocarcinoma presenting with intracerebral hemorrhage: a case report and literature review.

作者信息

Chen Jie, He Yu, Ao Junwen, Wang Zhengshi, Yang Kuan, Chen Miao, Zhao Xing

机构信息

Department of Critical Care Medicine, Kweichow Moutai Hospital, Zunyi, China.

Department of Clinical Laboratory, Affiliated Hospital of Guilin Medical University, Guilin, China.

出版信息

Front Oncol. 2025 Apr 10;15:1549261. doi: 10.3389/fonc.2025.1549261. eCollection 2025.

Abstract

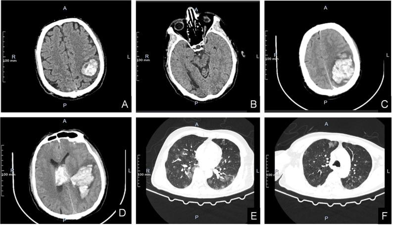
Male choriocarcinoma is an extremely rare malignant tumor. It has the characteristics of hidden onset, easy invasion and metastasis. Clinically, when choriocarcinoma is found in a patient, most of the tumor cells have metastasized to distant organs. This case reports a 65-year-old man with choriocarcinoma with two intracerebral hemorrhages as the main symptom. In this case, we consider the origin of intracranial choriocarcinoma to be testicular. We analyzed the clinical data of this patient and summarized the cases of male choriocarcinoma reported in the past, so as to arouse the attention of clinicians.

摘要

男性绒毛膜癌是一种极其罕见的恶性肿瘤。它具有起病隐匿、易于侵袭和转移的特点。临床上,当在患者身上发现绒毛膜癌时,大多数肿瘤细胞已转移至远处器官。本病例报告了一名65岁男性,以两次脑出血为主要症状的绒毛膜癌。在本病例中,我们认为颅内绒毛膜癌的起源为睾丸。我们分析了该患者的临床资料,并总结了既往报道的男性绒毛膜癌病例,以引起临床医生的重视。

https://cdn.ncbi.nlm.nih.gov/pmc/blobs/71a7/12018222/31a68634a813/fonc-15-1549261-g001.jpg

文献AI研究员

20分钟写一篇综述,助力文献阅读效率提升50倍。

立即体验

用中文搜PubMed

大模型驱动的PubMed中文搜索引擎

马上搜索

文档翻译

学术文献翻译模型,支持多种主流文档格式。

立即体验