Suppr超能文献

以炮弹样转移灶为表现影像特征的纯睾丸绒毛膜癌:1例报告并文献复习

Pure testicular choriocarcinoma Cannonball metastases as a presenting imaging feature: A case report and a review of literature.

作者信息

Aftan Mohanad Kareem, Badrawi Noor, Abdulghaffar Shareefa, Abedzadeh Ayoub Ahmed, Albastaki Usama, Raman Lakshmiah Ganapathy, Alzeena Ethar Faris G

机构信息

Dubai Health Authority, PO Box 4545, Dubai, United Arab Emirates.

Healthpoint Medical Center, Amman, Jordan.

出版信息

Radiol Case Rep. 2021 Feb 9;16(4):923-928. doi: 10.1016/j.radcr.2021.01.053. eCollection 2021 Apr.

Abstract

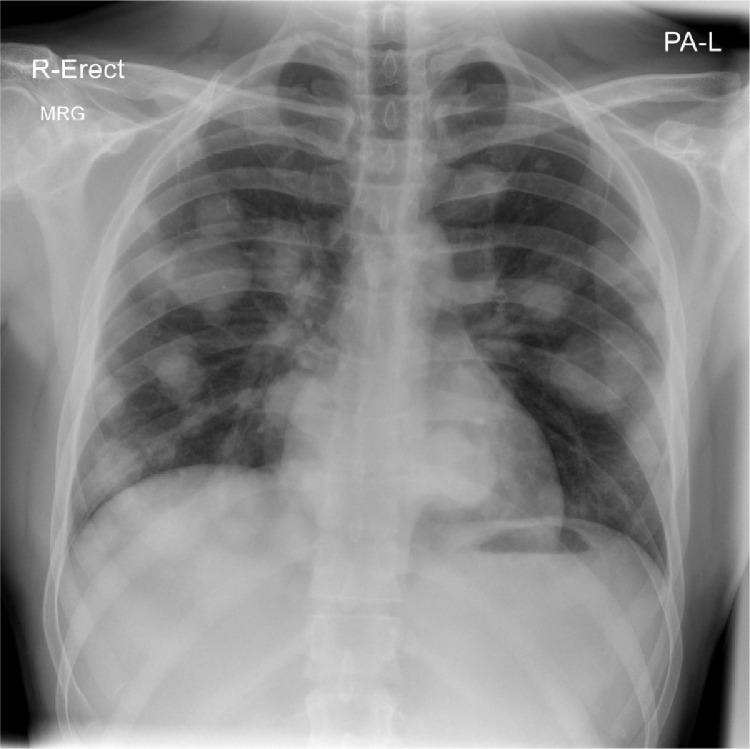
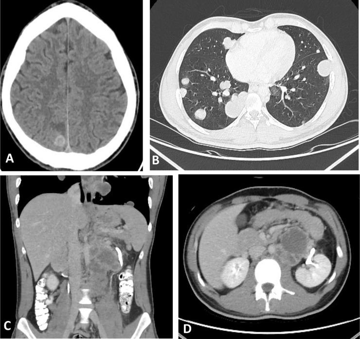
Pure testicular choriocarcinoma is an extremely rare subtype of nonseminomatous germ cell tumor, accounting for less than 1% of all germ cell tumors and only 0.19% of all testicular tumors. It is a highly aggressive malignant tumor with early multiorgan metastasis and poor prognosis. We present a case of 23-year-old male presented to the hospital with mild hemoptysis which was thought as a sequela of his past COVID-19 pneumonia infection, however; chest radiograph showed multiple rounded cannonball opacities seen throughout both lungs raising the suspicion of metastatic deposits to the lungs. During physical examination, left testicular painless swelling was noted leading to an ultrasound of the scrotum which revealed a left intratesticular infiltrative, heterogeneous mass. Tumor markers, including beta-human chorionic gonadotropin, lactate dehydrogenase and alpha fetoprotein were extremely high. Computed tomography scan of the brain, chest, abdomen, and pelvis showed hemorrhagic metastatic deposits to the brain, chest, and left para-aortic lymph nodes. The patient underwent radical orchiectomy and histopathology reports confirmed the diagnosis of pure testicular choriocarcinoma.

摘要

纯睾丸绒毛膜癌是一种极其罕见的非精原细胞瘤性生殖细胞肿瘤亚型,占所有生殖细胞肿瘤的比例不到1%,仅占所有睾丸肿瘤的0.19%。它是一种侵袭性很强的恶性肿瘤,早期多器官转移且预后较差。我们报告一例23岁男性患者,因轻度咯血入院,最初认为是既往新冠病毒肺炎感染的后遗症;然而,胸部X线片显示双肺多发圆形炮弹样阴影,怀疑有肺部转移灶。体格检查时,发现左侧睾丸无痛性肿大,遂行阴囊超声检查,结果显示左侧睾丸内有浸润性、不均匀肿块。包括β-人绒毛膜促性腺激素、乳酸脱氢酶和甲胎蛋白在内的肿瘤标志物极高。脑部、胸部、腹部和骨盆的计算机断层扫描显示脑部、胸部和左主动脉旁淋巴结有出血性转移灶。患者接受了根治性睾丸切除术,组织病理学报告确诊为纯睾丸绒毛膜癌。

https://cdn.ncbi.nlm.nih.gov/pmc/blobs/8d1c/7881168/09f2e2db7c8f/gr1.jpg

文献AI研究员

20分钟写一篇综述,助力文献阅读效率提升50倍。

立即体验

用中文搜PubMed

大模型驱动的PubMed中文搜索引擎

马上搜索

文档翻译

学术文献翻译模型,支持多种主流文档格式。

立即体验