Suppr超能文献

1例心脏骤停合并巨大纵隔肿瘤切除术后的复苏:病例报告及文献复习

Resuscitation of a case of cardiac arrest complicated by resection of a giant mediastinal tumor: a case report and literature review.

作者信息

Ka Sha Mu Jie, Huang Ling, Xiong Chen Yi, Zhao Chun Yuan

机构信息

Guangxi Medical University Cancer Hospital, Nanning, China.

出版信息

Front Oncol. 2025 Apr 10;15:1545496. doi: 10.3389/fonc.2025.1545496. eCollection 2025.

Abstract

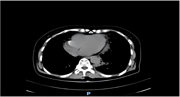
This case report describes the successful resuscitation of a 54-year-old female who experienced cardiac arrest following resection of a giant mediastinal tumor (GMT). The patient's hemodynamic collapse was attributed to mediastinal mass syndrome, mediastinal swing, and acute re-expansion pulmonary edema. This report highlights the challenges of perioperative management in GMTs, emphasizing the importance of multidisciplinary preoperative planning, continuous hemodynamic monitoring, and prompt intervention during complications. Early recognition of hemodynamic instability, coupled with adherence to advanced resuscitation protocols, is critical for improving survival in high-risk mediastinal tumor surgeries.

摘要

本病例报告描述了一名54岁女性在巨大纵隔肿瘤(GMT)切除术后发生心脏骤停并成功复苏的过程。患者的血流动力学崩溃归因于纵隔肿块综合征、纵隔摆动和急性复张性肺水肿。本报告强调了GMT围手术期管理的挑战,强调了多学科术前规划、持续血流动力学监测以及并发症发生时及时干预的重要性。早期识别血流动力学不稳定,并坚持采用高级复苏方案,对于提高高风险纵隔肿瘤手术的生存率至关重要。

https://cdn.ncbi.nlm.nih.gov/pmc/blobs/fa9c/12018236/c83101250b4a/fonc-15-1545496-g001.jpg

文献AI研究员

20分钟写一篇综述,助力文献阅读效率提升50倍。

立即体验

用中文搜PubMed

大模型驱动的PubMed中文搜索引擎

马上搜索

文档翻译

学术文献翻译模型,支持多种主流文档格式。

立即体验