• 文献检索
  • 文档翻译
  • 深度研究
  • 学术资讯
  • Suppr Zotero 插件Zotero 插件
  • 邀请有礼
  • 套餐&价格
  • 历史记录
应用&插件
Suppr Zotero 插件Zotero 插件浏览器插件Mac 客户端Windows 客户端微信小程序
定价
高级版会员购买积分包购买API积分包
服务
文献检索文档翻译深度研究API 文档MCP 服务
关于我们
关于 Suppr公司介绍联系我们用户协议隐私条款
关注我们

Suppr 超能文献

核心技术专利:CN118964589B侵权必究
粤ICP备2023148730 号-1Suppr @ 2026

文献检索

告别复杂PubMed语法,用中文像聊天一样搜索,搜遍4000万医学文献。AI智能推荐,让科研检索更轻松。

立即免费搜索

文件翻译

保留排版,准确专业,支持PDF/Word/PPT等文件格式,支持 12+语言互译。

免费翻译文档

深度研究

AI帮你快速写综述,25分钟生成高质量综述,智能提取关键信息,辅助科研写作。

立即免费体验

一例罕见的原发性骨假肌源性血管内皮瘤恶性病例。

A Rare Malignant Case of a Primary Pseudomyogenic Haemangioendothelioma of the Bone.

作者信息

Di Mauro Annabella, Tafuto Salvatore, Cannella Lucia, Collina Francesca, Neri Giovanni, Clemente Ottavia, D'Arbitrio Imma, Ricci Francesca, Lastoria Secondo, Ferrara Gerardo, De Chiara Annarosaria

机构信息

Pathology Unit, Istituto Nazionale Tumori, IRCCS-Fondazione G. Pascale, 80131 Napoli, Italy.

Sarcomas and Rare Tumors Unit, Istituto Nazionale Tumori, IRCCS-Fondazione G. Pascale, 80131 Naples, Italy.

出版信息

Curr Oncol. 2025 Apr 10;32(4):219. doi: 10.3390/curroncol32040219.

DOI:10.3390/curroncol32040219
PMID:40277775
原文链接:https://pmc.ncbi.nlm.nih.gov/articles/PMC12025434/
Abstract

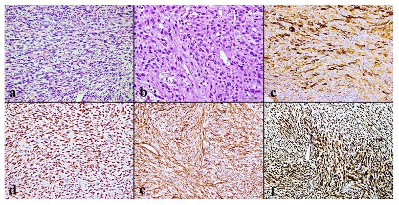
Pseudomyogenic haemangioendotheliomas (PMH) are exceedingly rare, mostly occurring in soft tissue, with malignant cases even more uncommon. In this report, we present a case of a 28-year-old male initially suspected of having a fibroblastic osteosarcoma of the right femur, which was then correctly diagnosed as a primary pseudomyogenic hemangioendothelioma of the bone with synchronous metastases to other skeletal segments. Molecular analysis through targeted RNA sequencing confirmed the correct diagnosis, revealing a fusion transcript . To our knowledge, this is one of the few reported cases of suffering from multiple pathological fractures. The rapid skeletal progression and the onset of distant metastases in this case is highly unusual considering the typically indolent clinical course commonly reported in the literature for this tumor.

摘要

假肌源性血管内皮瘤(PMH)极为罕见,大多发生于软组织,恶性病例更为少见。在本报告中,我们呈现了一例28岁男性病例,该患者最初被怀疑患有右股骨成纤维细胞性骨肉瘤,随后被正确诊断为原发性骨假肌源性血管内皮瘤并伴有其他骨骼节段的同步转移。通过靶向RNA测序进行的分子分析证实了正确诊断,揭示了一种融合转录本。据我们所知,这是少数有多发病理性骨折报道的病例之一。考虑到文献中通常报道的该肿瘤典型的惰性临床病程,此病例中骨骼的快速进展和远处转移的发生极为罕见。

https://cdn.ncbi.nlm.nih.gov/pmc/blobs/b36f/12025434/5bce8bab12c9/curroncol-32-00219-g004.jpg
https://cdn.ncbi.nlm.nih.gov/pmc/blobs/b36f/12025434/648c8262daf1/curroncol-32-00219-g001.jpg
https://cdn.ncbi.nlm.nih.gov/pmc/blobs/b36f/12025434/42d4bc650e31/curroncol-32-00219-g002.jpg
https://cdn.ncbi.nlm.nih.gov/pmc/blobs/b36f/12025434/11c3e9c9411d/curroncol-32-00219-g003.jpg
https://cdn.ncbi.nlm.nih.gov/pmc/blobs/b36f/12025434/5bce8bab12c9/curroncol-32-00219-g004.jpg
https://cdn.ncbi.nlm.nih.gov/pmc/blobs/b36f/12025434/648c8262daf1/curroncol-32-00219-g001.jpg
https://cdn.ncbi.nlm.nih.gov/pmc/blobs/b36f/12025434/42d4bc650e31/curroncol-32-00219-g002.jpg
https://cdn.ncbi.nlm.nih.gov/pmc/blobs/b36f/12025434/11c3e9c9411d/curroncol-32-00219-g003.jpg
https://cdn.ncbi.nlm.nih.gov/pmc/blobs/b36f/12025434/5bce8bab12c9/curroncol-32-00219-g004.jpg

相似文献

1
A Rare Malignant Case of a Primary Pseudomyogenic Haemangioendothelioma of the Bone.一例罕见的原发性骨假肌源性血管内皮瘤恶性病例。
Curr Oncol. 2025 Apr 10;32(4):219. doi: 10.3390/curroncol32040219.
2
An aggressive case of pseudomyogenic haemangioendothelioma of bone with pathological fracture and rapidly progressive pulmonary metastatic disease: case report and review of the literature.一例侵袭性骨假肌源性血管内皮瘤伴病理性骨折及快速进展性肺转移疾病:病例报告及文献复习
Skeletal Radiol. 2015 Sep;44(9):1381-6. doi: 10.1007/s00256-015-2168-7. Epub 2015 May 17.
3
A novel CLTC-FOSB gene fusion in pseudomyogenic hemangioendothelioma of bone.骨假肌样血管内皮瘤中存在新型 CLTC-FOSB 基因融合。
Genes Chromosomes Cancer. 2021 Jan;60(1):38-42. doi: 10.1002/gcc.22891. Epub 2020 Aug 22.
4
Primary pseudomyogenic haemangioendothelioma of bone.骨原发性假肌源性血管内皮瘤。
Histopathology. 2012 Dec;61(6):1219-24. doi: 10.1111/j.1365-2559.2012.04347.x. Epub 2012 Sep 11.
5
Pseudomyogenic hemangioendothelioma secondary to fibrous dysplasia of the left lower extremity in a 14-year-old female: a case report.一名14岁女性左下肢纤维发育异常继发假肌源性血管内皮瘤:病例报告
World J Surg Oncol. 2016 Jul 28;14(1):198. doi: 10.1186/s12957-016-0955-9.
6
Pseudomyogenic hemangioendothelioma of skin, bone and soft tissue-a clinicopathological, immunohistochemical, and fluorescence in situ hybridization study.皮肤、骨和软组织的假肌源性血管内皮瘤:一项临床病理、免疫组织化学和荧光原位杂交研究。
Hum Pathol. 2018 Jan;71:126-134. doi: 10.1016/j.humpath.2017.10.023. Epub 2017 Nov 2.
7
Fusion of the Genes and in Pseudomyogenic Hemangioendothelioma.融合基因和在假性肌源性血管内皮瘤中的融合。
Cancer Genomics Proteomics. 2019 Jul-Aug;16(4):293-298. doi: 10.21873/cgp.20134.
8
Primary pseudomyogenic haemangioendothelioma of bone: report of two cases.骨原发性假肌源性血管内皮瘤:2例报告
Skeletal Radiol. 2015 May;44(5):727-31. doi: 10.1007/s00256-014-2024-1. Epub 2014 Oct 11.
9
Expanding the Spectrum of Genetic Alterations in Pseudomyogenic Hemangioendothelioma With Recurrent Novel ACTB-FOSB Gene Fusions.具有反复出现的新型 ACTB-FOSB 基因融合的假性肌源性血管内皮瘤中遗传改变谱的扩展。
Am J Surg Pathol. 2018 Dec;42(12):1653-1661. doi: 10.1097/PAS.0000000000001147.
10
Primary pseudomyogenic hemangioendothelioma of bone: case report and review of the literature.骨原发性假肌源性血管内皮瘤:病例报告及文献复习
Pathologica. 2018 Sep;110(2):96-101.

本文引用的文献

1
Multifocal primary pseudomyogenic hemangioendothelioma of bone managed with denosumab: A rare case with diagnostic and therapeutic challenge.骨多灶性原发性假肌源性血管内皮瘤采用地舒单抗治疗:具有诊断和治疗挑战性的罕见病例。
J Cancer Res Ther. 2022 Apr-Jun;18(3):817-819. doi: 10.4103/jcrt.JCRT_1138_20.
2
The 2020 WHO Classification: What's New in Soft Tissue Tumor Pathology?2020 年世卫组织分类:软组织肿瘤病理学的新变化?
Am J Surg Pathol. 2021 Jan;45(1):e1-e23. doi: 10.1097/PAS.0000000000001552.
3
Pseudomyogenic hemangioendothelioma-A case report and review of the literature.
假性肌源性血管内皮瘤——病例报告及文献综述
Radiol Case Rep. 2019 Aug 6;14(10):1228-1232. doi: 10.1016/j.radcr.2019.06.029. eCollection 2019 Oct.
4
Fusion of the Genes and in Pseudomyogenic Hemangioendothelioma.融合基因和在假性肌源性血管内皮瘤中的融合。
Cancer Genomics Proteomics. 2019 Jul-Aug;16(4):293-298. doi: 10.21873/cgp.20134.
5
Pseudomyogenic (epithelioid sarcoma-like) hemangioendothelioma of bone: Clinicopathologic features of 5 cases.骨假肌源性(上皮样肉瘤样)血管内皮瘤:5 例临床病理特征。
Ann Diagn Pathol. 2019 Aug;41:116-123. doi: 10.1016/j.anndiagpath.2019.06.003. Epub 2019 Jun 13.
6
Pseudomyogenic Hemangioendothelioma.假肌源性血管内皮瘤。
Arch Pathol Lab Med. 2019 Jun;143(6):763-767. doi: 10.5858/arpa.2017-0430-RS. Epub 2018 Dec 21.
7
Diagnosis of known sarcoma fusions and novel fusion partners by targeted RNA sequencing with identification of a recurrent ACTB-FOSB fusion in pseudomyogenic hemangioendothelioma.通过靶向 RNA 测序诊断已知肉瘤融合基因和新型融合伙伴,并在假肌源性血管内皮瘤中鉴定出一种反复出现的 ACTB-FOSB 融合。
Mod Pathol. 2019 May;32(5):609-620. doi: 10.1038/s41379-018-0175-7. Epub 2018 Nov 21.
8
Pseudomyogenic hemangioendothelioma of skin, bone and soft tissue-a clinicopathological, immunohistochemical, and fluorescence in situ hybridization study.皮肤、骨和软组织的假肌源性血管内皮瘤:一项临床病理、免疫组织化学和荧光原位杂交研究。
Hum Pathol. 2018 Jan;71:126-134. doi: 10.1016/j.humpath.2017.10.023. Epub 2017 Nov 2.
9
Gemcitabine and docetaxel versus doxorubicin as first-line treatment in previously untreated advanced unresectable or metastatic soft-tissue sarcomas (GeDDiS): a randomised controlled phase 3 trial.吉西他滨与多西他赛对比阿霉素作为既往未治疗的晚期不可切除或转移性软组织肉瘤一线治疗的疗效(GeDDiS):一项随机对照3期试验
Lancet Oncol. 2017 Oct;18(10):1397-1410. doi: 10.1016/S1470-2045(17)30622-8. Epub 2017 Sep 4.
10
Sirolimus therapy in the treatment of pseudomyogenic hemangioendothelioma.西罗莫司治疗假性肌源性血管内皮瘤
Pediatr Blood Cancer. 2018 Feb;65(2). doi: 10.1002/pbc.26781. Epub 2017 Aug 26.