• 文献检索
  • 文档翻译
  • 深度研究
  • 学术资讯
  • Suppr Zotero 插件Zotero 插件
  • 邀请有礼
  • 套餐&价格
  • 历史记录
应用&插件
Suppr Zotero 插件Zotero 插件浏览器插件Mac 客户端Windows 客户端微信小程序
定价
高级版会员购买积分包购买API积分包
服务
文献检索文档翻译深度研究API 文档MCP 服务
关于我们
关于 Suppr公司介绍联系我们用户协议隐私条款
关注我们

Suppr 超能文献

核心技术专利:CN118964589B侵权必究
粤ICP备2023148730 号-1Suppr @ 2026

文献检索

告别复杂PubMed语法,用中文像聊天一样搜索,搜遍4000万医学文献。AI智能推荐,让科研检索更轻松。

立即免费搜索

文件翻译

保留排版,准确专业,支持PDF/Word/PPT等文件格式,支持 12+语言互译。

免费翻译文档

深度研究

AI帮你快速写综述,25分钟生成高质量综述,智能提取关键信息,辅助科研写作。

立即免费体验

突触结合蛋白-1的缺乏通过p38丝裂原活化蛋白激酶信号通路加重小鼠压力超负荷诱导的心脏肥大和功能障碍。

Deficiency of synaptotagmin-1 aggravates pressure overload-induced cardiac hypertrophy and dysfunction via the p38 MAPK signaling pathway in mice.

作者信息

Shen Jing, Miao Junqiu, Wu Lifei, Wang Deping, Li Guang, Wang Haixiong, Cao Jimin

机构信息

Key Laboratory of Cellular Physiology at Shanxi Medical University, Ministry of Education, and the Department of Physiology, Shanxi Medical University, Taiyuan, 030001, China.

Key Laboratory of Medical Electrophysiology at Southwest Medical University, Ministry of Education, and the Institute of Cardiovascular Research, Southwest Medical University, Luzhou, 646099, China.

出版信息

Hum Cell. 2025 Apr 25;38(3):96. doi: 10.1007/s13577-025-01220-z.

DOI:10.1007/s13577-025-01220-z
PMID:40279007
原文链接:https://pmc.ncbi.nlm.nih.gov/articles/PMC12031904/
Abstract

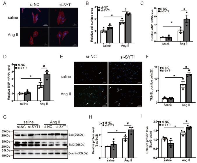
Cardiac hypertrophy is a major risk factor for heart failure and sudden cardiac death, but its molecular mechanisms have not been well clarified. Synaptotagmin-1 (SYT1) is an important regulator of exocytosis and apoptosis and has been found expressed in the myocardium, while its functions in heart diseases have rarely been studied. Here, we investigated the role and mechanism of SYT1 in pressure overload-induced cardiac hypertrophy. Transverse aortic constriction (TAC) surgeries were performed to induce cardiac hypertrophy in global Syt1 knockout (Syt1) mice and C57BL/6J wild-type (WT) littermates in vivo, with respective sham mice as negative controls. Cardiomyocyte hypertrophy was induced by angiotensin II (Ang II) in H9C2 cells in vitro. The results showed that SYT1 expression was significantly upregulated in WT-TAC mice and in Ang II-treated H9C2 cells. Blocking angiotensin receptor by losartan decreased SYT1 expression in Ang II-treated H9C2 cells. Syt1 mice showed significantly exacerbated cardiac hypertrophy, dysfunction, fibrosis, apoptosis and phosphorylation of myocardial p38 MAPK in response to TAC compared to WT mice. Knocking down SYT1 using siRNA in H9C2 cells aggravated Ang II-induced cell hypertrophy and apoptosis, and also enhanced p38 MAPK phosphorylation. Inhibition of p38 MAPK by SB203580 significantly alleviated the hypertrophy and apoptosis in Ang II-treated H9C2 cells. We conclude that deficiency of SYT1 aggravates pressure overload-induced cardiac hypertrophy via the p38 MAPK signaling pathway. The study elucidates a novel role of SYT1 in cardiac remodeling.

摘要

心肌肥厚是心力衰竭和心源性猝死的主要危险因素,但其分子机制尚未完全阐明。突触结合蛋白-1(SYT1)是胞吐作用和细胞凋亡的重要调节因子,已发现其在心肌中表达,而其在心脏病中的功能鲜有研究。在此,我们研究了SYT1在压力超负荷诱导的心肌肥厚中的作用及机制。在体内对全球Syt1基因敲除(Syt1)小鼠和C57BL/6J野生型(WT)同窝小鼠进行横向主动脉缩窄(TAC)手术以诱导心肌肥厚,分别以假手术小鼠作为阴性对照。在体外,用血管紧张素II(Ang II)诱导H9C2细胞发生心肌细胞肥大。结果显示,WT-TAC小鼠和Ang II处理的H9C2细胞中SYT1表达显著上调。用氯沙坦阻断血管紧张素受体可降低Ang II处理的H9C2细胞中SYT1的表达。与WT小鼠相比,Syt1小鼠在TAC后表现出明显加重的心肌肥厚、功能障碍、纤维化、细胞凋亡以及心肌p38 MAPK磷酸化。在H9C2细胞中用小干扰RNA(siRNA)敲低SYT1会加重Ang II诱导的细胞肥大和凋亡,同时也增强p38 MAPK磷酸化。用SB203580抑制p38 MAPK可显著减轻Ang II处理的H9C2细胞中的肥大和凋亡。我们得出结论,SYT1缺乏通过p38 MAPK信号通路加重压力超负荷诱导的心肌肥厚。该研究阐明了SYT1在心脏重塑中的新作用。

https://cdn.ncbi.nlm.nih.gov/pmc/blobs/5313/12031904/f67338573c43/13577_2025_1220_Fig8_HTML.jpg
https://cdn.ncbi.nlm.nih.gov/pmc/blobs/5313/12031904/b2f272737454/13577_2025_1220_Fig1_HTML.jpg
https://cdn.ncbi.nlm.nih.gov/pmc/blobs/5313/12031904/e719e2d51390/13577_2025_1220_Fig2_HTML.jpg
https://cdn.ncbi.nlm.nih.gov/pmc/blobs/5313/12031904/b3820e7cdee3/13577_2025_1220_Fig3_HTML.jpg
https://cdn.ncbi.nlm.nih.gov/pmc/blobs/5313/12031904/297edcff5afa/13577_2025_1220_Fig4_HTML.jpg
https://cdn.ncbi.nlm.nih.gov/pmc/blobs/5313/12031904/1ed209b6158a/13577_2025_1220_Fig5_HTML.jpg
https://cdn.ncbi.nlm.nih.gov/pmc/blobs/5313/12031904/1f52e17a86a8/13577_2025_1220_Fig6_HTML.jpg
https://cdn.ncbi.nlm.nih.gov/pmc/blobs/5313/12031904/692f19b9e477/13577_2025_1220_Fig7_HTML.jpg
https://cdn.ncbi.nlm.nih.gov/pmc/blobs/5313/12031904/f67338573c43/13577_2025_1220_Fig8_HTML.jpg
https://cdn.ncbi.nlm.nih.gov/pmc/blobs/5313/12031904/b2f272737454/13577_2025_1220_Fig1_HTML.jpg
https://cdn.ncbi.nlm.nih.gov/pmc/blobs/5313/12031904/e719e2d51390/13577_2025_1220_Fig2_HTML.jpg
https://cdn.ncbi.nlm.nih.gov/pmc/blobs/5313/12031904/b3820e7cdee3/13577_2025_1220_Fig3_HTML.jpg
https://cdn.ncbi.nlm.nih.gov/pmc/blobs/5313/12031904/297edcff5afa/13577_2025_1220_Fig4_HTML.jpg
https://cdn.ncbi.nlm.nih.gov/pmc/blobs/5313/12031904/1ed209b6158a/13577_2025_1220_Fig5_HTML.jpg
https://cdn.ncbi.nlm.nih.gov/pmc/blobs/5313/12031904/1f52e17a86a8/13577_2025_1220_Fig6_HTML.jpg
https://cdn.ncbi.nlm.nih.gov/pmc/blobs/5313/12031904/692f19b9e477/13577_2025_1220_Fig7_HTML.jpg
https://cdn.ncbi.nlm.nih.gov/pmc/blobs/5313/12031904/f67338573c43/13577_2025_1220_Fig8_HTML.jpg

相似文献

1
Deficiency of synaptotagmin-1 aggravates pressure overload-induced cardiac hypertrophy and dysfunction via the p38 MAPK signaling pathway in mice.突触结合蛋白-1的缺乏通过p38丝裂原活化蛋白激酶信号通路加重小鼠压力超负荷诱导的心脏肥大和功能障碍。
Hum Cell. 2025 Apr 25;38(3):96. doi: 10.1007/s13577-025-01220-z.
2
C1q-TNF-related protein-3 attenuates pressure overload-induced cardiac hypertrophy by suppressing the p38/CREB pathway and p38-induced ER stress.C1q-TNF 相关蛋白-3 通过抑制 p38/CREB 通路和 p38 诱导的内质网应激来减轻压力超负荷诱导的心肌肥厚。
Cell Death Dis. 2019 Jul 8;10(7):520. doi: 10.1038/s41419-019-1749-0.
3
C-C chemokine receptor 5 signaling contributes to cardiac remodeling and dysfunction under pressure overload.C-C 趋化因子受体 5 信号在压力超负荷下导致心脏重构和功能障碍。
Mol Med Rep. 2021 Jan;23(1). doi: 10.3892/mmr.2020.11687. Epub 2020 Nov 17.
4
Suppression of Netrin-1 attenuates angiotension II-induced cardiac remodeling through the PKC/MAPK signaling pathway.Netrin-1的抑制通过PKC/MAPK信号通路减弱血管紧张素II诱导的心脏重塑。
Biomed Pharmacother. 2020 Oct;130:110495. doi: 10.1016/j.biopha.2020.110495. Epub 2020 Jul 17.
5
Loss of TRADD attenuates pressure overload-induced cardiac hypertrophy through regulating TAK1/P38 MAPK signalling in mice.TRADD缺失通过调节小鼠体内TAK1/P38 MAPK信号通路减轻压力超负荷诱导的心脏肥大。
Biochem Biophys Res Commun. 2017 Feb 5;483(2):810-815. doi: 10.1016/j.bbrc.2016.12.104. Epub 2016 Dec 22.
6
I-B Kinase- Deficiency Attenuates the Development of Angiotensin II-Induced Myocardial Hypertrophy in Mice.I-B 激酶缺陷可减轻血管紧张素 II 诱导的小鼠心肌肥厚的发展。
Oxid Med Cell Longev. 2021 Feb 8;2021:6429197. doi: 10.1155/2021/6429197. eCollection 2021.
7
6-Gingerol protects against cardiac remodeling by inhibiting the p38 mitogen-activated protein kinase pathway.6-姜酚通过抑制 p38 丝裂原活化蛋白激酶通路保护心脏重构。
Acta Pharmacol Sin. 2021 Oct;42(10):1575-1586. doi: 10.1038/s41401-020-00587-z. Epub 2021 Jan 18.
8
Trim38 attenuates pressure overload‑induced cardiac hypertrophy by suppressing the TAK1/JNK/P38 signaling pathway.Trim38通过抑制TAK1/JNK/P38信号通路减轻压力超负荷诱导的心脏肥大。
Int J Mol Med. 2025 Jun;55(6). doi: 10.3892/ijmm.2025.5539. Epub 2025 May 2.
9
Apoptosis signal-regulating kinase 1 plays a pivotal role in angiotensin II-induced cardiac hypertrophy and remodeling.凋亡信号调节激酶1在血管紧张素II诱导的心脏肥大和重塑中起关键作用。
Circ Res. 2003 Oct 31;93(9):874-83. doi: 10.1161/01.RES.0000100665.67510.F5. Epub 2003 Oct 9.
10
CD38 promotes angiotensin II-induced cardiac hypertrophy.CD38促进血管紧张素II诱导的心肌肥大。
J Cell Mol Med. 2017 Aug;21(8):1492-1502. doi: 10.1111/jcmm.13076. Epub 2017 Mar 12.

本文引用的文献

1
Bioinformatics Analysis and Experimental Validation for Exploring Key Molecular Markers for Glioblastoma.生物信息学分析与实验验证探索胶质母细胞瘤的关键分子标志物
Appl Biochem Biotechnol. 2024 Oct;196(10):6974-6992. doi: 10.1007/s12010-024-04894-7. Epub 2024 Mar 6.
2
USP28 Serves as a Key Suppressor of Mitochondrial Morphofunctional Defects and Cardiac Dysfunction in the Diabetic Heart.USP28 作为糖尿病心脏中线粒体形态和功能缺陷及心脏功能障碍的关键抑制因子。
Circulation. 2024 Feb 27;149(9):684-706. doi: 10.1161/CIRCULATIONAHA.123.065603. Epub 2023 Nov 23.
3
Synaptotagmin 1 Suppresses Colorectal Cancer Metastasis by Inhibiting ERK/MAPK Signaling-Mediated Tumor Cell Pseudopodial Formation and Migration.
突触结合蛋白1通过抑制ERK/MAPK信号介导的肿瘤细胞伪足形成和迁移来抑制结直肠癌转移。
Cancers (Basel). 2023 Nov 3;15(21):5282. doi: 10.3390/cancers15215282.
4
Synaptotagmin-7 mediates cardiac hypertrophy by targeting autophagy.突触结合蛋白 7 通过靶向自噬介导线粒体心脏肥大。
FEBS J. 2024 Feb;291(3):489-509. doi: 10.1111/febs.16961. Epub 2023 Oct 17.
5
Neuroglobin protects against cerebral ischemia/reperfusion injury in rats by suppressing mitochondrial dysfunction and endoplasmic reticulum stress-mediated neuronal apoptosis through synaptotagmin-1.神经球蛋白通过抑制突触结合蛋白-1 介导的线粒体功能障碍和内质网应激诱导的神经元凋亡来保护大鼠免受脑缺血/再灌注损伤。
Environ Toxicol. 2023 Aug;38(8):1891-1904. doi: 10.1002/tox.23815. Epub 2023 May 17.
6
miRNA-363-3p Hinders Proliferation, Migration, Invasion and Autophagy of Thyroid Cancer Cells by Controlling SYT1 Transcription to affect NF-κB.微小RNA-363-3p通过控制突触结合蛋白1(SYT1)转录以影响核因子κB(NF-κB)来抑制甲状腺癌细胞的增殖、迁移、侵袭和自噬。
Endocr Metab Immune Disord Drug Targets. 2024;24(1):153-162. doi: 10.2174/1871530323666230504112553.
7
Regression of cardiac hypertrophy in health and disease: mechanisms and therapeutic potential.心脏肥大在健康和疾病中的消退:机制和治疗潜力。
Nat Rev Cardiol. 2023 May;20(5):347-363. doi: 10.1038/s41569-022-00806-6. Epub 2023 Jan 4.
8
High-speed imaging reveals the bimodal nature of dense core vesicle exocytosis.高速成像揭示了致密核心囊泡胞吐的双重模态性质。
Proc Natl Acad Sci U S A. 2023 Jan 3;120(1):e2214897120. doi: 10.1073/pnas.2214897120. Epub 2022 Dec 27.
9
Vesicle transport related protein Synaptotagmin-1 mediates paraquat transport to antagonize paraquat toxicity.囊泡运输相关蛋白突触融合蛋白 1 介导百草枯的运输,拮抗百草枯毒性。
Toxicology. 2022 Apr 30;472:153180. doi: 10.1016/j.tox.2022.153180. Epub 2022 Apr 18.
10
Elevated MCU Expression by CaMKIIδB Limits Pathological Cardiac Remodeling.钙调蛋白激酶 IIδB 上调心肌细胞肌浆网钙转运体表达抑制病理性心肌重构
Circulation. 2022 Apr 5;145(14):1067-1083. doi: 10.1161/CIRCULATIONAHA.121.055841. Epub 2022 Feb 15.