Suppr超能文献

细胞周期蛋白依赖性激酶5作用于p21以调控甲状腺癌患者癌细胞的增殖和恶性程度。

CDK5 targets p21 to regulate thyroid cancer cell proliferation and malignancy in patients.

作者信息

Tung Min-Che, Oner Muhammet, Soong Shiuan-Woei, Cheng Pang-Ting, Li Yu-Hsuan, Chen Mei-Chih, Chou Chen-Kai, Kang Hong-Yo, Lin Frank Cheau-Feng, Tsai Stella Chin-Shaw, Lin Ho

机构信息

Department of Surgery, Tungs' Taichung MetroHarbor Hospital, Taichung 43503, Taiwan, R.O.C.

Department of Life Sciences, National Chung Hsing University, Taichung 40227, Taiwan, R.O.C.

出版信息

Mol Med Rep. 2025 Jul;32(1). doi: 10.3892/mmr.2025.13547. Epub 2025 Apr 25.

Abstract

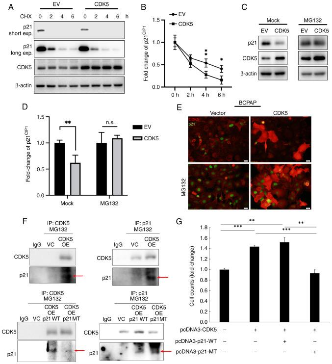
Cyclin‑dependent kinase 5 (CDK5), known for its role in neuronal function, has emerged as a key player in cancer biology, particularly in thyroid cancer. The present study explored the interaction between CDK5 and the cyclin‑dependent kinase inhibitor p21 in thyroid cancer (TC). Bioinformatic tools and immunoprecipitation assays were used to confirm that CDK5 targets p21 for ubiquitin‑mediated degradation, reducing its stability and tumor‑suppressive effects. Data from The Cancer Genome Atlas revealed a significant inverse correlation between CDK5 and p21 expression, with higher CDK5 levels linked to increased tumor malignancy and worse survival outcomes; conversely, higher p21 expression was correlated with an improved prognosis. Immunohistochemistry analysis of TC samples further confirmed that increased CDK5 and reduced p21 expression were associated with more advanced tumor stages and aggressive phenotypes. These findings suggested that CDK5‑mediated degradation of p21 contributes to TC progression and malignancy, highlighting the potential of targeting the CDK5‑p21 axis as a therapeutic strategy for management of TC.

摘要

细胞周期蛋白依赖性激酶5(CDK5),因其在神经元功能中的作用而闻名,已成为癌症生物学中的关键角色,尤其是在甲状腺癌中。本研究探讨了CDK5与细胞周期蛋白依赖性激酶抑制剂p21在甲状腺癌(TC)中的相互作用。使用生物信息学工具和免疫沉淀试验来证实CDK5靶向p21进行泛素介导的降解,降低其稳定性和肿瘤抑制作用。来自癌症基因组图谱的数据显示CDK5与p21表达之间存在显著的负相关,CDK5水平越高,肿瘤恶性程度越高,生存结果越差;相反,p21表达越高,预后越好。TC样本的免疫组织化学分析进一步证实,CDK5增加和p21表达降低与更晚期的肿瘤阶段和侵袭性表型相关。这些发现表明,CDK5介导的p21降解促进了TC的进展和恶性程度,突出了靶向CDK5-p21轴作为TC治疗策略的潜力。

https://cdn.ncbi.nlm.nih.gov/pmc/blobs/8c33/12059462/10148e2aaae2/mmr-32-01-13547-g00.jpg

文献检索

告别复杂PubMed语法,用中文像聊天一样搜索,搜遍4000万医学文献。AI智能推荐,让科研检索更轻松。

立即免费搜索

文件翻译

保留排版,准确专业,支持PDF/Word/PPT等文件格式,支持 12+语言互译。

免费翻译文档

深度研究

AI帮你快速写综述,25分钟生成高质量综述,智能提取关键信息,辅助科研写作。

立即免费体验