Suppr超能文献

纳米晶纤维素-栀子苷复合物增强肠道-脑轴调节作用以治疗抑郁症。

Nanocrystalline cellulose-geniposide complex enhances gut-brain axis modulation for depression treatment.

作者信息

Zou Tianyu, Tang Xiang, Wang Haiping, Shang Xiaolong, Liang Xiaoyu, Ma Xuemiao

机构信息

Department of Encephalopathy, Shenzhen Luohu District Hospital of Traditional Chinese Medicine (Shenzhen Hospital of Shanghai University of Traditional Chinese Medicine), Shenzhen, 518000, Guangdong, PR China.

出版信息

Commun Biol. 2025 Apr 26;8(1):667. doi: 10.1038/s42003-025-07934-y.

Abstract

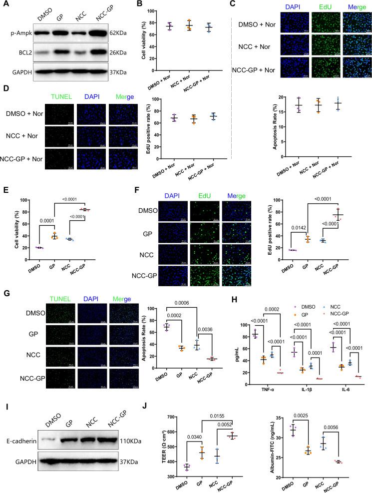
Depression, a major global health issue, is closely associated with imbalances in gut microbiota and altered intestinal functions. This study investigates the antidepressant potential of a composite of Geniposide (GP) and Nanocrystalline Cellulose (NCC), focusing on its effects on the gut-brain axis. Utilizing network pharmacology, GP was identified as a key compound targeting the BCL2 gene in depression management. Experimental approaches, including a chronic unpredictable mild stress (CUMS) model in mice, cellular assays, and fecal microbiota transplantation (FMT), were used to evaluate the composite's effectiveness. Results indicate that GP activates the adenosine monophosphate-activated protein kinase (AMPK) pathway by upregulating BCL2, enhancing intestinal barrier integrity, and balancing gut flora. These mechanisms contribute to its positive effects on hippocampal function and depressive-like behaviors in mice, suggesting that the GP-NCC composite could be a promising avenue for developing depression therapies that target gut health.

摘要

抑郁症是一个重大的全球健康问题,与肠道微生物群失衡和肠道功能改变密切相关。本研究调查了栀子苷(GP)和纳米晶纤维素(NCC)复合物的抗抑郁潜力,重点关注其对肠-脑轴的影响。利用网络药理学,GP被确定为抑郁症治疗中靶向BCL2基因的关键化合物。采用慢性不可预测轻度应激(CUMS)小鼠模型、细胞试验和粪便微生物群移植(FMT)等实验方法来评估该复合物的有效性。结果表明,GP通过上调BCL2激活腺苷单磷酸激活蛋白激酶(AMPK)途径,增强肠道屏障完整性,并平衡肠道菌群。这些机制有助于其对小鼠海马功能和抑郁样行为产生积极影响,表明GP-NCC复合物可能是开发针对肠道健康的抑郁症治疗方法的一个有前景的途径。

https://cdn.ncbi.nlm.nih.gov/pmc/blobs/b13f/12033350/75a41d0093b9/42003_2025_7934_Fig1_HTML.jpg

文献检索

告别复杂PubMed语法,用中文像聊天一样搜索,搜遍4000万医学文献。AI智能推荐,让科研检索更轻松。

立即免费搜索

文件翻译

保留排版,准确专业,支持PDF/Word/PPT等文件格式,支持 12+语言互译。

免费翻译文档

深度研究

AI帮你快速写综述,25分钟生成高质量综述,智能提取关键信息,辅助科研写作。

立即免费体验