Suppr超能文献

EZH2的S-亚硝基化改变PRC2组装、甲基转移酶活性和EZH2稳定性以维持内皮稳态。

S-nitrosylation of EZH2 alters PRC2 assembly, methyltransferase activity, and EZH2 stability to maintain endothelial homeostasis.

作者信息

Sakhuja Ashima, Bhattacharyya Ritobrata, Katakia Yash Tushar, Ramakrishnan Shyam Kumar, Chakraborty Srinjoy, Jayakumar Hariharan, Tripathi Shailesh Mani, Pandya Thakkar Niyati, Thakar Sumukh, Sundriyal Sandeep, Chowdhury Shibasish, Majumder Syamantak

机构信息

Department of Biological Sciences, Birla Institute of Technology and Science (BITS) Pilani, Pilani Campus, Rajasthan, Pilani, India.

Department of Pharmacy, Birla Institute of Technology and Science (BITS) Pilani, Pilani Campus, Rajasthan, Pilani, India.

出版信息

Nat Commun. 2025 Apr 27;16(1):3953. doi: 10.1038/s41467-025-59003-x.

Abstract

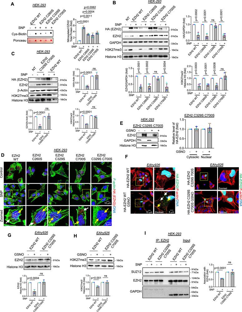
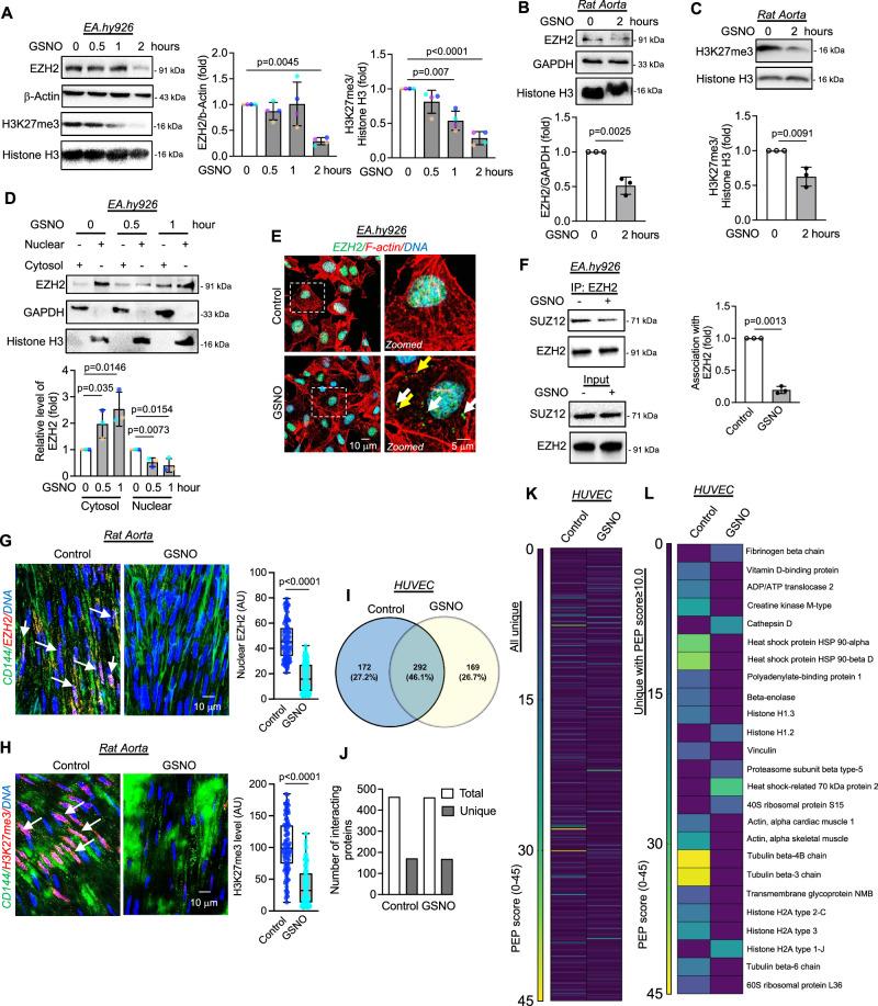
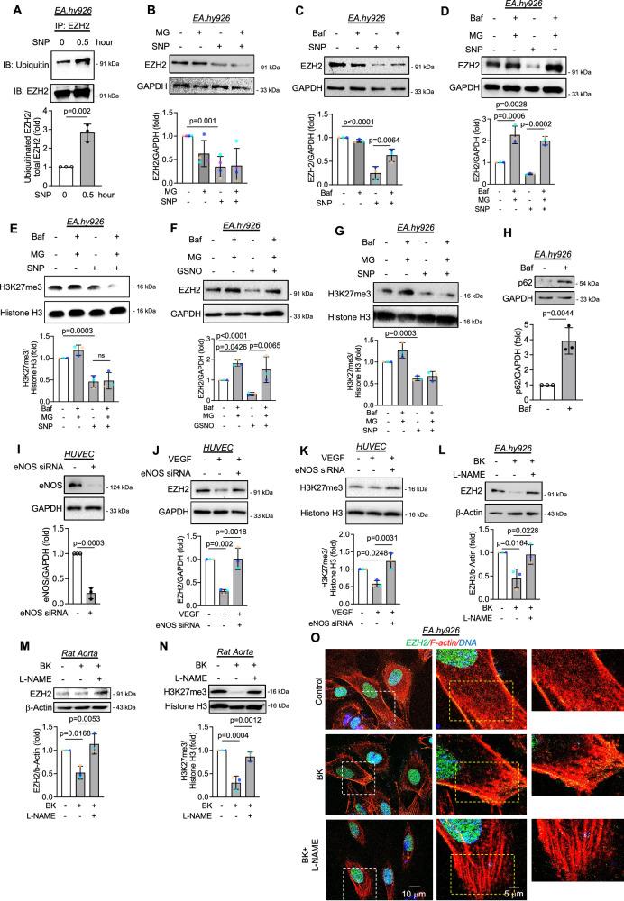
Nitric oxide (NO), a versatile bio-active molecule modulates cellular functions through diverse mechanisms including S-nitrosylation of proteins. Herein, we report S-nitrosylation of selected cysteine residues of EZH2 in endothelial cells, which interplays with its stability and functions. We detect a significant reduction in H3K27me3 upon S-nitrosylation of EZH2 as contributed by the early dissociation of SUZ12 from the PRC2. Moreover, S-nitrosylation of EZH2 causes its cytosolic translocation, ubiquitination, and degradation. Further analysis reveal S-nitrosylation of cysteine 329 induces EZH2 instability, whereas S-nitrosylation of cysteine 700 abrogates its catalytic activity. We further show that S-nitrosylation-dependent regulation of EZH2 maintains endothelial homeostasis in both physiological and pathological settings. Molecular dynamics simulation reveals the inability of SUZ12 to efficiently bind to the SAL domain of EZH2 upon S-nitrosylation. Taken together, our study reports S-nitrosylation-dependent regulation of EZH2 and its associated PRC2 complex, thereby influencing the epigenetics of endothelial homeostasis.

摘要

一氧化氮(NO)是一种多功能生物活性分子,通过包括蛋白质S-亚硝基化在内的多种机制调节细胞功能。在此,我们报道了内皮细胞中EZH2特定半胱氨酸残基的S-亚硝基化,其与EZH2的稳定性和功能相互作用。我们检测到EZH2发生S-亚硝基化后,H3K27me3显著减少,这是由于SUZ12从PRC2早期解离所致。此外,EZH2的S-亚硝基化导致其胞质易位、泛素化和降解。进一步分析表明,半胱氨酸329的S-亚硝基化诱导EZH2不稳定,而半胱氨酸700的S-亚硝基化消除其催化活性。我们进一步表明,EZH2的S-亚硝基化依赖性调节在生理和病理环境中均维持内皮细胞稳态。分子动力学模拟显示,S-亚硝基化后SUZ12无法有效结合到EZH2的SAL结构域。综上所述,我们的研究报道了EZH2及其相关PRC2复合物的S-亚硝基化依赖性调节,从而影响内皮细胞稳态的表观遗传学。

https://cdn.ncbi.nlm.nih.gov/pmc/blobs/6234/12034783/b5ce57aa22f4/41467_2025_59003_Fig1_HTML.jpg

文献检索

告别复杂PubMed语法,用中文像聊天一样搜索,搜遍4000万医学文献。AI智能推荐,让科研检索更轻松。

立即免费搜索

文件翻译

保留排版,准确专业,支持PDF/Word/PPT等文件格式,支持 12+语言互译。

免费翻译文档

深度研究

AI帮你快速写综述,25分钟生成高质量综述,智能提取关键信息,辅助科研写作。

立即免费体验