Suppr超能文献

转移性嗜铬细胞瘤合并朗格汉斯细胞组织细胞增多症:一例报告

Metastatic pheochromocytoma complicated with Langerhans cell histiocytosis: a case report.

作者信息

Dai Dandan, Xie Jing

机构信息

Department of Pathology, Ruijin Hospital Affiliated to Shanghai Jiaotong University School of Medicine, Shanghai, China.

出版信息

Front Endocrinol (Lausanne). 2025 Apr 11;16:1494783. doi: 10.3389/fendo.2025.1494783. eCollection 2025.

Abstract

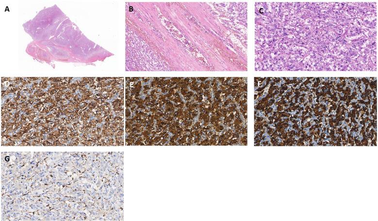
Pheochromocytoma is a neuroendocrine neoplasm that originates from chromaffin cells of the adrenal medulla. Langerhans cell histiocytosis (LCH) is a proliferative disease of histiocyte-like cells, often associated with activating mutations of the mitogen-activated protein kinase (MAPK) pathway. We present a case of a 49-year-old male with a history of pheochromocytoma, which metastasized to the inferior vena cava eight years after left adrenalectomy. At the same time, it was found that the pheochromocytoma in the metastasis was complicated with LCH, a combination that has not been previously reported. Genetic analysis was carried out by next-generation sequencing (NGS) technology. Somatic mutations of and were detected in Langerhans cells and in pheochromocytoma.

摘要

嗜铬细胞瘤是一种起源于肾上腺髓质嗜铬细胞的神经内分泌肿瘤。朗格汉斯细胞组织细胞增生症(LCH)是一种组织细胞样细胞的增殖性疾病,常与丝裂原活化蛋白激酶(MAPK)途径的激活突变有关。我们报告一例49岁男性,有嗜铬细胞瘤病史,左肾上腺切除术后8年转移至下腔静脉。同时发现转移灶中的嗜铬细胞瘤合并LCH,这种组合此前未见报道。采用二代测序(NGS)技术进行基因分析。在朗格汉斯细胞中检测到 和 的体细胞突变,在嗜铬细胞瘤中检测到 。

https://cdn.ncbi.nlm.nih.gov/pmc/blobs/d8fc/12021616/83eb88a2b6ac/fendo-16-1494783-g001.jpg

文献检索

告别复杂PubMed语法,用中文像聊天一样搜索,搜遍4000万医学文献。AI智能推荐,让科研检索更轻松。

立即免费搜索

文件翻译

保留排版,准确专业,支持PDF/Word/PPT等文件格式,支持 12+语言互译。

免费翻译文档

深度研究

AI帮你快速写综述,25分钟生成高质量综述,智能提取关键信息,辅助科研写作。

立即免费体验