Suppr超能文献

亚急性硬化性全脑炎病例系列:诊断挑战与临床特征

A case series on subacute sclerosing panencephalitis: Diagnostic challenges and clinical features.

作者信息

Kumar Suparna, Madhaw Govind

机构信息

Department of Psychiatry, Kalinga Institute of Medical Sciences, Bhubaneshwar, Odisha, India.

Department of Neurology, Centre of Neurosciences (CNS), Ranchi, Jharkhand, India.

出版信息

Indian J Psychiatry. 2025 Mar;67(3):354-358. doi: 10.4103/indianjpsychiatry.indianjpsychiatry_659_24. Epub 2025 Mar 14.

Abstract

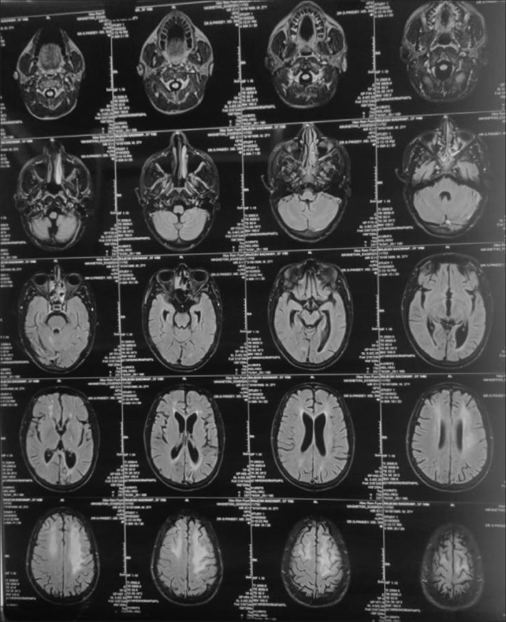
Subacute sclerosing panencephalitis (SSPE), slowly progressive neurological disorder, commonly affects children who had past history of measles or if their parents forgot to provide measles vaccination. All cases with simultaneous psychiatric and neurological features with progressive deterioration of intellectual functioning were evaluated with routine blood investigations, magnetic resonance imaging, electroencephalography (EEG), cerebrospinal fluid (CSF) examination, and so on, to rule out mimics. The cases meeting the diagnostic criteria of SSPE are analyzed retrospectively. The clinician should consider SSPE in cases with comorbid neurological and psychiatric features after excluding the common causes, and neuroimaging, EEG, and CSF study are must.

摘要

亚急性硬化性全脑炎(SSPE)是一种缓慢进展的神经系统疾病,通常影响有麻疹病史或父母忘记为其接种麻疹疫苗的儿童。对所有具有精神和神经症状且智力功能逐渐恶化的病例进行了常规血液检查、磁共振成像、脑电图(EEG)、脑脊液(CSF)检查等评估,以排除类似疾病。对符合SSPE诊断标准的病例进行回顾性分析。临床医生在排除常见病因后,对于伴有神经和精神合并症的病例应考虑SSPE,神经影像学、EEG和CSF检查是必需的。

https://cdn.ncbi.nlm.nih.gov/pmc/blobs/41e6/12032600/f0ab5bd29763/IJPsy-67-354-g001.jpg

文献检索

告别复杂PubMed语法,用中文像聊天一样搜索,搜遍4000万医学文献。AI智能推荐,让科研检索更轻松。

立即免费搜索

文件翻译

保留排版,准确专业,支持PDF/Word/PPT等文件格式,支持 12+语言互译。

免费翻译文档

深度研究

AI帮你快速写综述,25分钟生成高质量综述,智能提取关键信息,辅助科研写作。

立即免费体验