Suppr超能文献

磨玻璃结节型多灶性肺腺癌的CT特征及其临床病理相关性

CT characteristics and their clinicopathological associations in ground-glass nodular multifocal lung adenocarcinoma.

作者信息

Zhou Meng, Wang Jiuchen, Chen Huadong, Tang Weihua, Li Chunlin

机构信息

Radiology Department, The Central Hospital of Enshi Tujia and Miao Autonomous Prefecture, Enshi, Hubei, China.

Department of Minimally Intervention Therapy, Cancer Hospital of Shantou University Medical College, Shantou, Guangdong, China.

出版信息

Medicine (Baltimore). 2025 Apr 25;104(17):e42145. doi: 10.1097/MD.0000000000042145.

Abstract

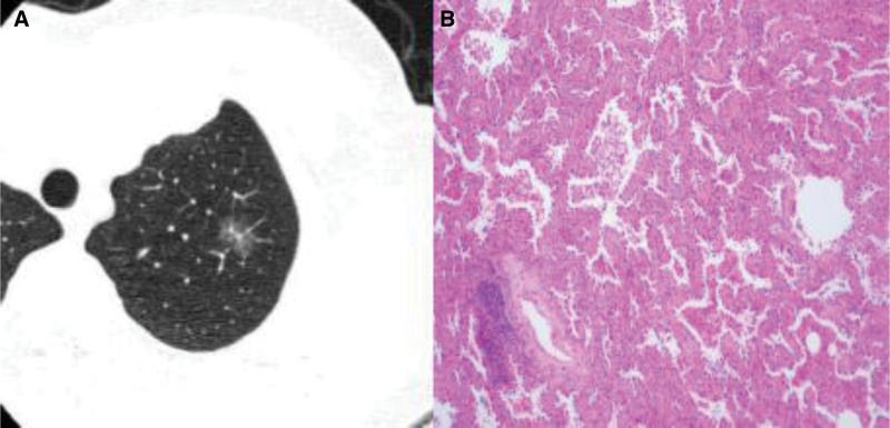
This study investigates the correlation between CT findings and clinicopathological features in patients with ground-glass nodular multifocal lung adenocarcinoma. A total of 203 lesions were identified and classified based on pathological results into 3 groups: preinvasive lesions (92 nodules), microinvasive adenocarcinoma (69 nodules), and invasive adenocarcinoma (42 nodules). CT imaging was performed on all patients, and the CT features were analyzed in relation to clinicopathological characteristics. Statistical analysis was performed using SPSS 22.0 software. Continuous variables were compared using one-way ANOVA or the Kruskal-Wallis test, while categorical variables were analyzed using the Chi-square test or Fisher exact test. Spearman correlation analysis was used to assess the relationship between CT features and clinicopathological characteristics. Significant differences were observed in nodule morphology, lobulation, vacuolation, burr sign, air bronchial sign, pleural indentation, tumor-lung interface, vascular characteristics, and ground-glass nodule type between the 3 groups (P < .05). The invasive adenocarcinoma group exhibited higher proportions of round/oval nodules, lobulation, vacuolation, burr sign, air bronchial sign, pleural depression, clear tumor-lung interface, vascular penetration, and partial solid nodules compared to the other 2 groups (P < .05). The microinvasive adenocarcinoma group showed a higher incidence of vacuolation, burr sign, pleural indentation, vascular penetration, and partial solid nodules than the preinvasive group (P < .05). No significant differences were found in the nodule locations among the groups (P > .05). The average size of nodules in the invasive group was significantly larger than in the other 2 groups (P < .05), while no difference was observed between the preinvasive and microinvasive groups (P > .05). The incidence of several CT signs, such as burr sign and pleural depression, negatively correlated with tumor differentiation (r = -0.311 to -0.378, all P < .05). The occurrence of pure ground-glass nodules was positively correlated with differentiation (R = 0.127, P < .05). Additionally, lesion characteristics like shape and lobulation were linked to lymph node metastasis (R = 0.313 to 0.415, P < .05). CT features in multifocal lung adenocarcinoma patients are closely related to pathological characteristics, providing valuable insights for clinical diagnosis and classification.

摘要

本研究调查了磨玻璃结节型多灶性肺腺癌患者的CT表现与临床病理特征之间的相关性。共识别出203个病灶,并根据病理结果将其分为3组:原位病变(92个结节)、微浸润腺癌(69个结节)和浸润性腺癌(42个结节)。对所有患者进行了CT成像,并分析了CT特征与临床病理特征的关系。使用SPSS 22.0软件进行统计分析。连续变量采用单因素方差分析或Kruskal-Wallis检验进行比较,分类变量采用卡方检验或Fisher确切概率法进行分析。采用Spearman相关性分析评估CT特征与临床病理特征之间的关系。3组之间在结节形态、分叶、空泡征、毛刺征、空气支气管征、胸膜凹陷、肿瘤-肺界面、血管特征和磨玻璃结节类型方面存在显著差异(P < 0.05)。与其他2组相比,浸润性腺癌组圆形/椭圆形结节、分叶、空泡征、毛刺征、空气支气管征、胸膜凹陷、肿瘤-肺界面清晰、血管穿行和部分实性结节的比例更高(P < 0.05)。微浸润腺癌组空泡征、毛刺征、胸膜凹陷、血管穿行和部分实性结节的发生率高于原位病变组(P < 0.05)。各组之间结节位置无显著差异(P > 0.05)。浸润组结节的平均大小显著大于其他2组(P < 0.05),而原位病变组和微浸润组之间无差异(P > 0.05)。毛刺征和胸膜凹陷等几种CT征象的发生率与肿瘤分化呈负相关(r = -0.311至-0.378,均P < 0.05)。纯磨玻璃结节的出现与分化呈正相关(R = 0.127,P < 0.05)。此外,形状和分叶等病灶特征与淋巴结转移有关(R = 0.313至0.415,P < 0.05)。多灶性肺腺癌患者的CT特征与病理特征密切相关,为临床诊断和分类提供了有价值的见解。

https://cdn.ncbi.nlm.nih.gov/pmc/blobs/1e2e/12040015/6bc7c035d685/medi-104-e42145-g001.jpg

文献AI研究员

20分钟写一篇综述,助力文献阅读效率提升50倍。

立即体验

用中文搜PubMed

大模型驱动的PubMed中文搜索引擎

马上搜索

文档翻译

学术文献翻译模型,支持多种主流文档格式。

立即体验