Suppr超能文献

热损伤后的实验性念珠菌病

Experimental candidiasis after thermal injury.

作者信息

Fader R C, Nunez D, Unbehagen J, Linares H A

出版信息

Infect Immun. 1985 Sep;49(3):780-4. doi: 10.1128/iai.49.3.780-784.1985.

Abstract

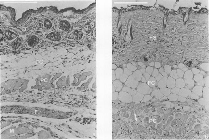
The ability of Candida albicans to infect thermally injured mice was studied. Female mice were either left unburned or given a 20% total body surface area 2-s or 7-s scald burn. The wound or skin surface was then inoculated with a human burn wound isolate of C. albicans. At 4 h postburn, approximately 10(2) to 10(3) CFU/g of tissue could be recovered from the skin of burned and unburned animals. Unburned mice cleared the organisms from the skin by 72 h, whereas in 7-s-burned animals, the candida increased in numbers to approximately 10(7) CFU/g of tissue. The ability of the organisms to invade systemically after wound surface inoculation was examined in mice given either a 2-s or a 7-s scald burn. Each injury was histologically confirmed as a full-thickness (third degree) burn, with slightly deeper tissue damage observed with the 7-s burn. At each time period examined (1, 4, 7, and 10 days), there were significantly fewer organisms in the wounds of mice given the 2-s injury than in wounds of mice burned for 7 s (P less than 0.05). In 3 of 33 mice given a 7-s injury, organisms were recovered from the kidneys at the time of sacrifice, whereas no evidence of invasion into the kidneys was noted in mice given a 2-s thermal injury. This study demonstrated that thermal injury enhances the ability of C. albicans to infect mice and that the depth of burn appears to be an important factor in determining whether the organisms can invade the burn wound to cause systemic infection. This animal model should be valuable in elucidating the virulence factors of C. albicans that play a role in the pathogenesis of candidiasis after thermal injury.

摘要

研究了白色念珠菌感染热损伤小鼠的能力。雌性小鼠要么不进行烧伤处理,要么给予20%体表面积的2秒或7秒烫伤。然后将从人类烧伤伤口分离出的白色念珠菌接种到伤口或皮肤表面。烧伤后4小时,从烧伤和未烧伤动物的皮肤中可回收约10(2)至10(3)CFU/g组织。未烧伤的小鼠在72小时内从皮肤清除了这些微生物,而在7秒烧伤的动物中,念珠菌数量增加到约10(7)CFU/g组织。在给予2秒或7秒烫伤的小鼠中,检查了伤口表面接种后微生物全身侵袭的能力。每次损伤经组织学证实为全层(三度)烧伤,7秒烧伤观察到的组织损伤稍深。在每个检查时间段(1、4、7和10天),2秒损伤小鼠伤口中的微生物明显少于7秒烧伤小鼠伤口中的微生物(P小于0.05)。在33只给予7秒损伤的小鼠中有3只在处死时肾脏中发现了微生物,而给予2秒热损伤的小鼠未发现侵袭肾脏的迹象。这项研究表明,热损伤增强了白色念珠菌感染小鼠的能力,烧伤深度似乎是决定微生物是否能侵袭烧伤伤口导致全身感染的一个重要因素。这个动物模型对于阐明在热损伤后念珠菌病发病机制中起作用的白色念珠菌毒力因子应该是有价值的。

https://cdn.ncbi.nlm.nih.gov/pmc/blobs/5438/261274/4fd27b73d5ce/iai00114-0329-a.jpg

文献检索

告别复杂PubMed语法,用中文像聊天一样搜索,搜遍4000万医学文献。AI智能推荐,让科研检索更轻松。

立即免费搜索

文件翻译

保留排版,准确专业,支持PDF/Word/PPT等文件格式,支持 12+语言互译。

免费翻译文档

深度研究

AI帮你快速写综述,25分钟生成高质量综述,智能提取关键信息,辅助科研写作。

立即免费体验