Suppr超能文献

治疗与癌症:对放射科医生的影响

Treatments and cancer: implications for radiologists.

作者信息

Granata Vincenza, Fusco Roberta, Setola Sergio Venanzio, Borzacchiello Assunta, Della Sala Francesca, Rossi Ivano, Ravo Ludovica, Albano Domenico, Vanzulli Angelo, Petrillo Antonella, Izzo Francesco

机构信息

Division of Radiology, Istituto Nazionale Tumori IRCCS Fondazione Pascale - IRCCS di Napoli, Naples, Italy.

Institute of Polymers, Composites and Biomaterials, National Research Council (IPCB-CNR), Naples, Italy.

出版信息

Front Immunol. 2025 Apr 16;16:1564909. doi: 10.3389/fimmu.2025.1564909. eCollection 2025.

Abstract

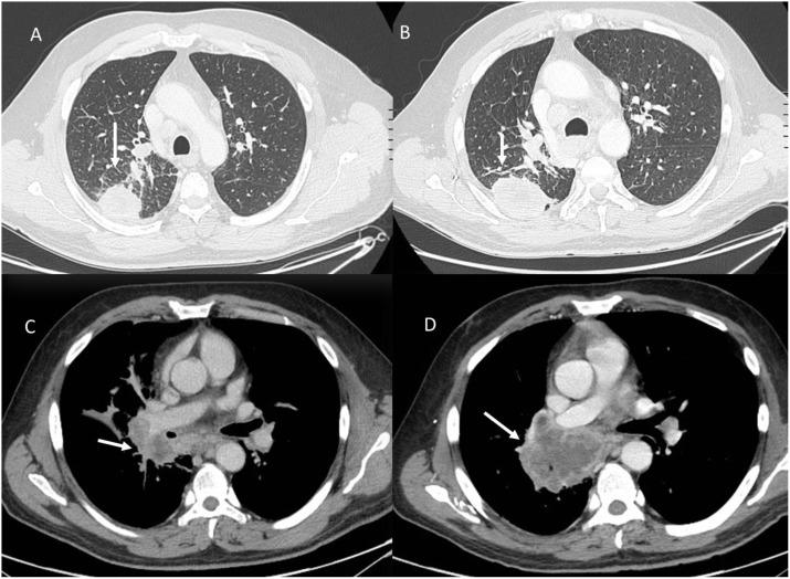
This review highlights the critical role of radiologists in personalized cancer treatment, focusing on the evaluation of treatment outcomes using imaging tools like Computed Tomography (CT), Magnetic Resonance Imaging (MRI), and Ultrasound. Radiologists assess the effectiveness and complications of therapies such as chemotherapy, immunotherapy, and ablative treatments. Understanding treatment mechanisms and consistent imaging protocols are essential for accurate evaluation, especially in managing complex cases like liver cancer. Collaboration between radiologists and oncologists is key to optimizing patient outcomes through precise imaging assessments.

摘要

本综述强调了放射科医生在个性化癌症治疗中的关键作用,重点在于使用计算机断层扫描(CT)、磁共振成像(MRI)和超声等成像工具评估治疗效果。放射科医生评估化疗、免疫疗法和消融治疗等疗法的有效性和并发症。了解治疗机制和一致的成像方案对于准确评估至关重要,尤其是在处理肝癌等复杂病例时。放射科医生与肿瘤学家之间的合作是通过精确的成像评估优化患者治疗效果的关键。

https://cdn.ncbi.nlm.nih.gov/pmc/blobs/2ca0/12040653/ef7fab8efe5a/fimmu-16-1564909-g001.jpg

文献AI研究员

20分钟写一篇综述,助力文献阅读效率提升50倍。

立即体验

用中文搜PubMed

大模型驱动的PubMed中文搜索引擎

马上搜索

文档翻译

学术文献翻译模型,支持多种主流文档格式。

立即体验