• 文献检索
  • 文档翻译
  • 深度研究
  • 学术资讯
  • Suppr Zotero 插件Zotero 插件
  • 邀请有礼
  • 套餐&价格
  • 历史记录
应用&插件
Suppr Zotero 插件Zotero 插件浏览器插件Mac 客户端Windows 客户端微信小程序
定价
高级版会员购买积分包购买API积分包
服务
文献检索文档翻译深度研究API 文档MCP 服务
关于我们
关于 Suppr公司介绍联系我们用户协议隐私条款
关注我们

Suppr 超能文献

核心技术专利:CN118964589B侵权必究
粤ICP备2023148730 号-1Suppr @ 2026

文献检索

告别复杂PubMed语法,用中文像聊天一样搜索,搜遍4000万医学文献。AI智能推荐,让科研检索更轻松。

立即免费搜索

文件翻译

保留排版,准确专业,支持PDF/Word/PPT等文件格式,支持 12+语言互译。

免费翻译文档

深度研究

AI帮你快速写综述,25分钟生成高质量综述,智能提取关键信息,辅助科研写作。

立即免费体验

USP18通过PERK-eIF2α-ATF4轴减轻内质网应激,以减少肝癌细胞中的细胞凋亡。

USP18 attenuates endoplasmic reticulum stress via the PERK-eIF2α-ATF4 axis to reduce apoptosis in hepatocellular carcinoma cells.

作者信息

Li Lin, Liu Nana, Yang Pujuan, Rao Chunyan, Kong Lingna, Huang Yi, Lei Qingsong, Liu Huabao

机构信息

Department of Hepatic Diseases, Chongqing Hospital of Traditional Chinese Medicine, 6 Seventh Branch of Panxi Road, Jiangbei, Chongqing, 400021, China.

School of Nursing, the First Affiliated Hospital of Chongqing Medical University, Chongqing, 400016, China.

出版信息

Sci Rep. 2025 May 5;15(1):15659. doi: 10.1038/s41598-025-00540-2.

DOI:10.1038/s41598-025-00540-2
PMID:40325079
原文链接:https://pmc.ncbi.nlm.nih.gov/articles/PMC12052849/
Abstract

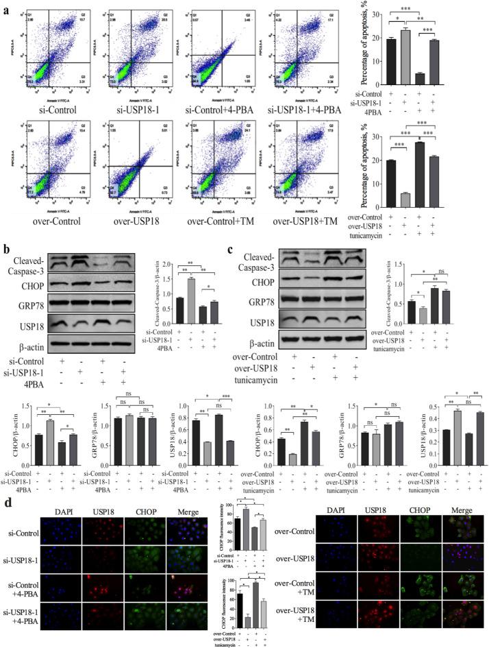
Ubiquitin-specific peptidase 18 (USP18) is a specific interferon-stimulated gene 15 demodifying enzyme that plays an important role in apoptosis. In this study, we investigated the role of USP18 in apoptosis in hepatocellular carcinoma cells, especially its ability to regulate apoptosis through endoplasmic reticulum (ER) stress. We found that protein levels of Bcl-2-associated protein x and cytochrome c were down-regulated by USP18, which suppressed the classical mitochondrial-mediated apoptosis pathway. USP18 also inhibited apoptosis through the unfolded protein response (UPR) pathway by inhibiting the phosphorylation of protein kinase RNA-like endoplasmic reticulum kinase (PERK) and the expression of CCAAT/enhance-binding protein homologous protein, which is a downstream marker molecule of ER stress. The UPR triggered by ER stress eventually led to the cleavage of downstream effecter proteases, including caspase-3, leading to apoptosis. Furthermore, USP18 combined with a PERK agonist regulated apoptosis through the PERK-eukaryotic initiation factor-2α-activating transcription factor 4 axis of the UPR. Our results show that USP18 participates in the regulation of hepatocellular carcinoma cell apoptosis through different pathways, especially the ER stress pathway, and that it plays a complex role in cell stress responses and apoptosis regulation.

摘要

泛素特异性蛋白酶18(USP18)是一种特异性的干扰素刺激基因15去修饰酶,在细胞凋亡中起重要作用。在本研究中,我们探究了USP18在肝癌细胞凋亡中的作用,尤其是其通过内质网(ER)应激调节细胞凋亡的能力。我们发现,USP18下调了Bcl-2相关蛋白x和细胞色素c的蛋白水平,从而抑制了经典的线粒体介导的凋亡途径。USP18还通过抑制蛋白激酶RNA样内质网激酶(PERK)的磷酸化以及CCAAT/增强子结合蛋白同源蛋白(一种ER应激的下游标记分子)的表达,通过未折叠蛋白反应(UPR)途径抑制细胞凋亡。ER应激引发的UPR最终导致包括半胱天冬酶-3在内的下游效应蛋白酶的裂解,从而导致细胞凋亡。此外,USP18与PERK激动剂结合,通过UPR的PERK-真核起始因子-2α-激活转录因子4轴调节细胞凋亡。我们的结果表明,USP18通过不同途径参与肝癌细胞凋亡的调节,尤其是ER应激途径,并且它在细胞应激反应和凋亡调节中发挥着复杂的作用。

https://cdn.ncbi.nlm.nih.gov/pmc/blobs/7d12/12052849/a4ac05b8ab9b/41598_2025_540_Fig5_HTML.jpg
https://cdn.ncbi.nlm.nih.gov/pmc/blobs/7d12/12052849/16d189353718/41598_2025_540_Fig1_HTML.jpg
https://cdn.ncbi.nlm.nih.gov/pmc/blobs/7d12/12052849/d6875fb6272c/41598_2025_540_Fig2_HTML.jpg
https://cdn.ncbi.nlm.nih.gov/pmc/blobs/7d12/12052849/41aefab4a17f/41598_2025_540_Fig3_HTML.jpg
https://cdn.ncbi.nlm.nih.gov/pmc/blobs/7d12/12052849/633d3745e89f/41598_2025_540_Fig4_HTML.jpg
https://cdn.ncbi.nlm.nih.gov/pmc/blobs/7d12/12052849/a4ac05b8ab9b/41598_2025_540_Fig5_HTML.jpg
https://cdn.ncbi.nlm.nih.gov/pmc/blobs/7d12/12052849/16d189353718/41598_2025_540_Fig1_HTML.jpg
https://cdn.ncbi.nlm.nih.gov/pmc/blobs/7d12/12052849/d6875fb6272c/41598_2025_540_Fig2_HTML.jpg
https://cdn.ncbi.nlm.nih.gov/pmc/blobs/7d12/12052849/41aefab4a17f/41598_2025_540_Fig3_HTML.jpg
https://cdn.ncbi.nlm.nih.gov/pmc/blobs/7d12/12052849/633d3745e89f/41598_2025_540_Fig4_HTML.jpg
https://cdn.ncbi.nlm.nih.gov/pmc/blobs/7d12/12052849/a4ac05b8ab9b/41598_2025_540_Fig5_HTML.jpg

相似文献

1
USP18 attenuates endoplasmic reticulum stress via the PERK-eIF2α-ATF4 axis to reduce apoptosis in hepatocellular carcinoma cells.USP18通过PERK-eIF2α-ATF4轴减轻内质网应激,以减少肝癌细胞中的细胞凋亡。
Sci Rep. 2025 May 5;15(1):15659. doi: 10.1038/s41598-025-00540-2.
2
Melatonin Induces PERK-ATF4 Unfolded Protein Response and Apoptosis in Human Choriocarcinoma Cells.褪黑素诱导人绒毛膜癌细胞中PERK-ATF4未折叠蛋白反应和凋亡。
J Pineal Res. 2025 Sep;77(5):e70072. doi: 10.1111/jpi.70072.
3
Protein-rich foods, sea foods, and gut microbiota amplify immune responses in chronic diseases and cancers - Targeting PERK as a novel therapeutic strategy for chronic inflammatory diseases, neurodegenerative disorders, and cancer.富含蛋白质的食物、海鲜和肠道微生物群可增强慢性疾病和癌症的免疫反应——以 PERK 为靶点的新型治疗策略可用于慢性炎症性疾病、神经退行性疾病和癌症。
Pharmacol Ther. 2024 Mar;255:108604. doi: 10.1016/j.pharmthera.2024.108604. Epub 2024 Feb 13.
4
[Cannabidiol inhibits neuronal endoplasmic reticulum stress and apoptosis in rats with multiple concussions by regulating the PERK-eIF2α-ATF4-CHOP pathway].大麻二酚通过调节PERK-eIF2α-ATF4-CHOP通路抑制多次脑震荡大鼠的神经元内质网应激和细胞凋亡
Nan Fang Yi Ke Da Xue Xue Bao. 2025 Jun 20;45(6):1240-1250. doi: 10.12122/j.issn.1673-4254.2025.06.13.
5
Activation of PERK/eIF2α/ATF4 signaling inhibits ERα expression in breast cancer.PERK/eIF2α/ATF4信号通路的激活会抑制乳腺癌中雌激素受体α(ERα)的表达。
Neoplasia. 2025 Apr 18;65:101165. doi: 10.1016/j.neo.2025.101165.
6
The PERK-p38 MAPK Axis Drives Endoplasmic Reticulum Stress-Induced Apoptosis in Fuchs Endothelial Corneal Dystrophy.PERK-p38丝裂原活化蛋白激酶轴驱动富克斯内皮性角膜营养不良中内质网应激诱导的细胞凋亡。
Invest Ophthalmol Vis Sci. 2025 Aug 1;66(11):63. doi: 10.1167/iovs.66.11.63.
7
Glaesserella parasuis infection triggers endoplasmic reticulum stress-mediated pyroptosis via PERK/eIF2α/ATF4 axis and metabolic reprogramming in porcine alveolar macrophages.副猪嗜血杆菌感染通过PERK/eIF2α/ATF4轴和猪肺泡巨噬细胞中的代谢重编程触发内质网应激介导的细胞焦亡。
Vet Res. 2025 Jul 15;56(1):150. doi: 10.1186/s13567-025-01580-2.
8
Sensitivity and activation of endoplasmic reticulum stress response and apoptosis in the perinatal sheep heart.围生期羊心脏内质网应激反应和细胞凋亡的敏感性和激活作用。
Am J Physiol Heart Circ Physiol. 2024 Jul 1;327(1):H1-H11. doi: 10.1152/ajpheart.00043.2024. Epub 2024 May 3.
9
[Crosstalk between activating transcription factor 6 and the inositol-requiring enzyme 1-X-box binding protein 1 pathway in oxygen-glucose deprivation/reoxygenation-injured HT22 cells].[缺氧缺糖/复氧损伤的HT22细胞中激活转录因子6与肌醇需求酶1-X盒结合蛋白1信号通路之间的相互作用]
Zhonghua Wei Zhong Bing Ji Jiu Yi Xue. 2023 Mar;35(3):278-286. doi: 10.3760/cma.j.cn121430-20230228-00115.
10
A Novel Chemotherapy Combination to Enhance Proteotoxic Cell Death in Hepatocellular Carcinoma Experimental Models Without Killing Non-Cancer Cells.一种新型化疗组合,可增强肝细胞癌实验模型中的蛋白毒性细胞死亡,同时不杀伤非癌细胞。
Int J Mol Sci. 2025 Jul 12;26(14):6699. doi: 10.3390/ijms26146699.

本文引用的文献

1
USP18 Is Associated with PD-L1 Antitumor Immunity and Improved Prognosis in Colorectal Cancer.USP18 与 PD-L1 抗肿瘤免疫和改善结直肠癌预后相关。
Biomolecules. 2024 Sep 21;14(9):1191. doi: 10.3390/biom14091191.
2
Astaxanthin inhibits apoptosis in a cell model of tauopathy by attenuating endoplasmic reticulum stress and unfolded protein response.虾青素通过减轻内质网应激和未折叠蛋白反应抑制 tau 病细胞模型中的细胞凋亡。
Eur J Pharmacol. 2024 Nov 15;983:176962. doi: 10.1016/j.ejphar.2024.176962. Epub 2024 Aug 28.
3
13-Methylpalmatine improves myocardial infarction injury by inhibiting CHOP-mediated cross-talk between endoplasmic reticulum and mitochondria.
13-甲基黄连碱通过抑制内质网和线粒体之间 CHOP 介导的串扰来改善心肌梗死损伤。
Biomed Pharmacother. 2024 Oct;179:117342. doi: 10.1016/j.biopha.2024.117342. Epub 2024 Aug 24.
4
The endoplasmic reticulum pool of Bcl-xL prevents cell death through IP3R-dependent calcium release.Bcl-xL在内质网中的储存库通过依赖于肌醇三磷酸受体的钙释放来防止细胞死亡。
Cell Death Discov. 2024 Aug 1;10(1):346. doi: 10.1038/s41420-024-02112-1.
5
Naringin Induces ROS-Stimulated G Cell-Cycle Arrest and Apoptosis in Nasopharyngeal Carcinoma Cells.柚皮苷诱导鼻咽癌细胞中 ROS 刺激的 G 期细胞周期阻滞和凋亡。
Environ Toxicol. 2024 Nov;39(11):5059-5073. doi: 10.1002/tox.24378. Epub 2024 Jul 26.
6
Tumor-associated macrophages in anti-PD-1/PD-L1 immunotherapy for hepatocellular carcinoma: recent research progress.肿瘤相关巨噬细胞在肝细胞癌抗PD-1/PD-L1免疫治疗中的研究进展
Front Pharmacol. 2024 Jun 18;15:1382256. doi: 10.3389/fphar.2024.1382256. eCollection 2024.
7
Integrated analysis of public datasets for the discovery and validation of survival-associated genes in solid tumors.整合公共数据集以发现和验证实体瘤中与生存相关的基因
Innovation (Camb). 2024 Apr 9;5(3):100625. doi: 10.1016/j.xinn.2024.100625. eCollection 2024 May 6.
8
USP20 deubiquitinates and stabilizes the reticulophagy receptor RETREG1/FAM134B to drive reticulophagy.USP20 通过去泛素化和稳定自噬受体 RETREG1/FAM134B 来驱动网质体自噬。
Autophagy. 2024 Aug;20(8):1780-1797. doi: 10.1080/15548627.2024.2347103. Epub 2024 May 12.
9
C/EBPα-p30 confers AML cell susceptibility to the terminal unfolded protein response and resistance to Venetoclax by activating DDIT3 transcription.C/EBPα-p30 通过激活 DDIT3 转录赋予 AML 细胞对末端未折叠蛋白反应的敏感性和对 Venetoclax 的耐药性。
J Exp Clin Cancer Res. 2024 Mar 13;43(1):79. doi: 10.1186/s13046-024-02975-3.
10
ER Stress-Activated HSF1 Governs Cancer Cell Resistance to USP7 Inhibitor-Based Chemotherapy through the PERK Pathway.内质网应激激活的热休克因子 1 通过 PERK 通路调控肿瘤细胞对 USP7 抑制剂为基础的化疗的耐药性。
Int J Mol Sci. 2024 Feb 27;25(5):2768. doi: 10.3390/ijms25052768.