Suppr超能文献

Sirt6基因缺失会促进小鼠衰老及与年龄相关的椎间盘退变。

Sirt6 deficiency promotes senescence and age-associated intervertebral disc degeneration in mice.

作者信息

Ramteke Pranay, Watson Bahiyah, Toci Mallory, Tran Victoria A, Johnston Shira, Tsingas Maria, Barve Ruteja A, Mitra Ramkrishna, Loeser Richard F, Collins John A, Risbud Makarand V

机构信息

Department of Orthopedic Surgery, Sidney Kimmel Medical College, Thomas Jefferson University, Philadelphia, PA, 19107, USA.

Department of Genetics, Genome Technology Access Centre at the McDonnell Genome Institute, Washington University, School of Medicine, St. Louis, MO, 63110, USA.

出版信息

Bone Res. 2025 May 8;13(1):50. doi: 10.1038/s41413-025-00422-3.

Abstract

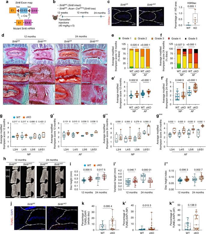
Intervertebral disc degeneration is a major risk factor contributing to chronic low back and neck pain. While the etiological factors for disc degeneration vary, age is still one of the most important risk factors. Recent studies have shown the promising role of SIRT6 in mammalian aging and skeletal tissue health, however its role in the intervertebral disc health remains unexplored. We investigated the contribution of SIRT6 to disc health by studying the age-dependent spinal phenotype of mice with conditional deletion of Sirt6 in the disc (Acan; Sirt6). Histological studies showed a degenerative phenotype in knockout mice compared to Sirt6 control mice at 12 months, which became pronounced at 24 months. RNA-Seq analysis of NP and AF tissues, in vitro quantitative histone analysis, and RNA-seq with ATAC-seq multiomic studies revealed that SIRT6-loss resulted in changes in acetylation and methylation status of specific Histone 3 lysine residues and affected DNA accessibility and transcriptomic landscape. A decrease in autophagy and an increase in DNA damage were also noted in Sirt6-deficient cells. Further mechanistic insights revealed that loss of SIRT6 increased senescence and SASP burden in the disc characterized by increased p21, p19, γH2AX, IL-6, IL-1β, and TGF-β abundance. Taken together, our study highlights the contribution of SIRT6 in modulating DNA damage, autophagy, and cell senescence and its importance in maintaining disc health during aging, thereby underscoring it as a potential therapeutic target to treat intervertebral disc degeneration.

摘要

椎间盘退变是导致慢性腰颈疼痛的主要危险因素。虽然椎间盘退变的病因各不相同,但年龄仍是最重要的危险因素之一。最近的研究表明,SIRT6在哺乳动物衰老和骨骼组织健康方面具有重要作用,然而其在椎间盘健康中的作用仍未得到探索。我们通过研究条件性敲除椎间盘(Acan;Sirt6)中Sirt6基因的小鼠的年龄依赖性脊柱表型,来探究SIRT6对椎间盘健康的影响。组织学研究表明,与12个月大的Sirt6对照小鼠相比,基因敲除小鼠出现了退变表型,且在24个月时更为明显。对髓核(NP)和纤维环(AF)组织进行RNA测序分析、体外定量组蛋白分析以及结合ATAC测序的多组学RNA测序研究表明,SIRT6缺失导致特定组蛋白3赖氨酸残基的乙酰化和甲基化状态发生变化,并影响DNA可及性和转录组格局。在Sirt6缺陷细胞中还观察到自噬减少和DNA损伤增加。进一步的机制研究表明,SIRT6缺失会增加椎间盘的衰老和衰老相关分泌表型(SASP)负担,其特征是p21、p19、γH2AX、IL-6、IL-1β和TGF-β丰度增加。综上所述,我们的研究突出了SIRT6在调节DNA损伤、自噬和细胞衰老方面的作用,以及其在衰老过程中维持椎间盘健康的重要性,从而强调它作为治疗椎间盘退变潜在治疗靶点的可能性。

https://cdn.ncbi.nlm.nih.gov/pmc/blobs/51ef/12059161/811ef2325050/41413_2025_422_Fig1_HTML.jpg

文献检索

告别复杂PubMed语法,用中文像聊天一样搜索,搜遍4000万医学文献。AI智能推荐,让科研检索更轻松。

立即免费搜索

文件翻译

保留排版,准确专业,支持PDF/Word/PPT等文件格式,支持 12+语言互译。

免费翻译文档

深度研究

AI帮你快速写综述,25分钟生成高质量综述,智能提取关键信息,辅助科研写作。

立即免费体验