Suppr超能文献

一例下直肌脓肿病例报告。

A Case Report of Inferior Rectus Abscess.

作者信息

Chi Luke, Sauer Adam, Matonis Danielle

机构信息

University of California, Irvine, Irvine, CA.

University of California, Irvine Medical Center, Department of Emergency Medicine, Orange, CA.

出版信息

J Educ Teach Emerg Med. 2025 Apr 30;10(2):V10-V13. doi: 10.21980/J8J35G. eCollection 2025 Apr.

Abstract

UNLABELLED

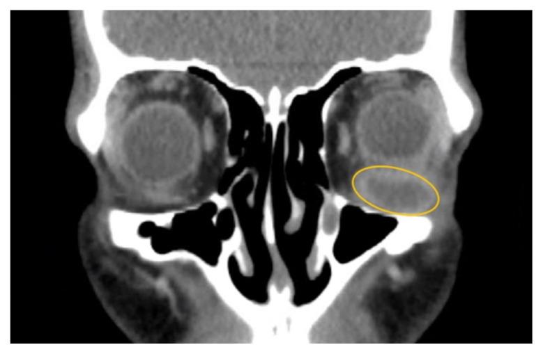
Soft tissue infections, including abscesses, are frequently encountered in the emergency department. However, abscesses of the inferior rectus muscle are rare and may present unique diagnostic and therapeutic challenges due to the scarcity of documented cases. This case report highlights the treatment of a 47-year-old male presenting with an abscess in the left inferior rectus muscle due to an acute Methicillin-resistant Staphylococcus aureus infection. Imaging revealed a distinct fluid collection compressing the left globe, causing restricted ocular motility and other symptoms. Despite prior intravenous antibiotics, the abscess persisted. While intravenous antibiotics are an important component of treatment, this case highlights the potential insufficiency of this approach alone, emphasizing a need for surgical intervention such as orbitotomy for drainage. This report contributes to the limited literature on inferior rectus muscle abscesses and underscores the need for further research and clinical attention to optimize patient outcomes.

TOPICS

Abscess, soft tissue infection, extraocular muscles, pyomyositis, Methicillin-resistant Staphylococcus aureus, proptosis, diplopia, vision loss.

摘要

未标注

软组织感染,包括脓肿,在急诊科很常见。然而,下直肌脓肿很少见,由于记录在案的病例稀缺,可能带来独特的诊断和治疗挑战。本病例报告重点介绍了一名47岁男性因急性耐甲氧西林金黄色葡萄球菌感染导致左眼下直肌脓肿的治疗情况。影像学检查显示有一个明显的液体积聚压迫左眼,导致眼球运动受限和其他症状。尽管之前使用了静脉抗生素治疗,但脓肿仍持续存在。虽然静脉抗生素是治疗的重要组成部分,但本病例突出了仅采用这种方法可能存在的不足,强调了手术干预(如眼眶切开引流)的必要性。本报告丰富了关于下直肌脓肿的有限文献,并强调需要进一步研究和临床关注以优化患者预后。

主题

脓肿、软组织感染、眼外肌、脓性肌炎、耐甲氧西林金黄色葡萄球菌、眼球突出、复视、视力丧失。

https://cdn.ncbi.nlm.nih.gov/pmc/blobs/dd54/12054069/e10d1d78fcff/jetem-10-2-v10f1.jpg

文献检索

告别复杂PubMed语法,用中文像聊天一样搜索,搜遍4000万医学文献。AI智能推荐,让科研检索更轻松。

立即免费搜索

文件翻译

保留排版,准确专业,支持PDF/Word/PPT等文件格式,支持 12+语言互译。

免费翻译文档

深度研究

AI帮你快速写综述,25分钟生成高质量综述,智能提取关键信息,辅助科研写作。

立即免费体验