Suppr超能文献

PRMT3介导的H4R3me2a通过驱动神经元中tau蛋白过度磷酸化促进原发性年龄相关性tau蛋白病。

PRMT3-Mediated H4R3me2a Promotes Primary Age-Related Tauopathy by Driving Tau Hyperphosphorylation in Neuron.

作者信息

Liu Haotian, Liu Xinnan, Tian Fengyuan, Chen Yashuang, Li Jingying, Wang Xue, Qiu Wenying, Wang Xia, Ma Chao, Ge Wei

机构信息

Department of Immunology, State Key Laboratory of Complex, Severe, and Rare Diseases, Institute of Basic Medical Sciences Chinese Academy of Medical Sciences, School of Basic Medicine Peking Union Medical College, Beijing, 100005, China.

Department of Human Anatomy, Histology and Embryology, Neuroscience Center, National Human Brain Bank for Development and Function, Institute of Basic Medical Sciences Chinese Academy of Medical Sciences, School of Basic Medicine Peking Union Medical College, Beijing, 100005, China.

出版信息

Adv Sci (Weinh). 2025 Jul;12(28):e2506044. doi: 10.1002/advs.202506044. Epub 2025 May 8.

Abstract

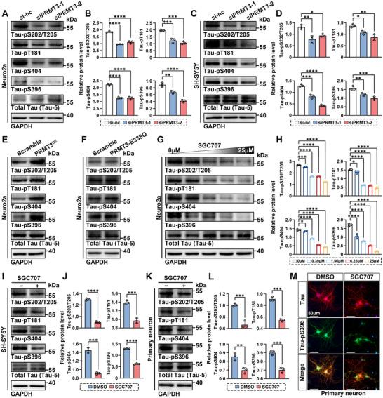
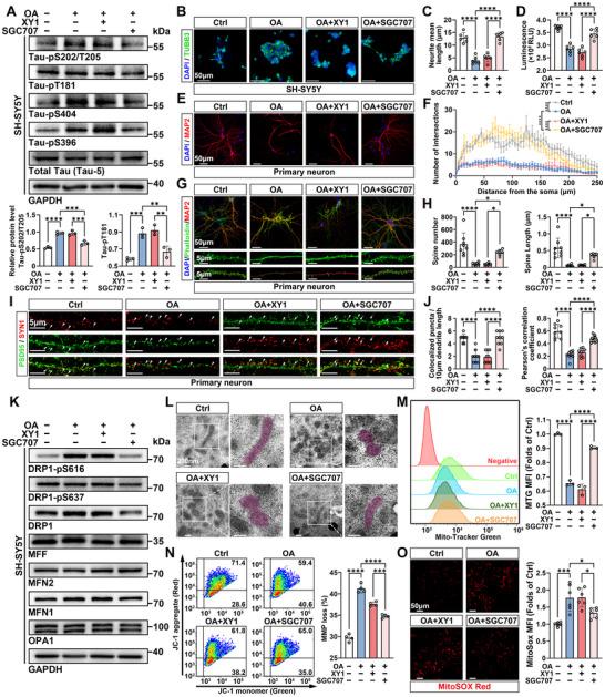
Primary age-related tauopathy (PART) and Alzheimer's disease (AD) both exhibit 3R/4R hyperphosphorylated tau-positive neurofibrillary tangles (NFTs) within the hippocampal-entorhinal system. Notably, PART patients show a higher degree of tau hyperphosphorylation in the entorhinal cortex (EC) than AD, yet the molecular mechanisms driving Aβ-independent tau hyperphosphorylation in PART remain poorly understood. Herein, through transcriptomic profiling of postmortem EC tissues and in vitro and in vivo functional validation, the present study identifies protein arginine methyltransferase 3 (PRMT3) as a critical driver of tau hyperphosphorylation. Mechanistically, PRMT3-mediated tau hyperphosphorylation is dependent on asymmetric dimethylation of histone H4 at arginine 3 (H4R3me2a), which upregulates miR-448. Elevated miR-448 specifically targets and suppresses IGF1R, leading to downstream GSK3β activation and subsequent tau hyperphosphorylation through PI3K/AKT/GSK3β signaling. Treatment with SGC707, a selective PRMT3 inhibitor, effectively reduces tau hyperphosphorylation and demonstrates therapeutic promise for PART and potentially other tauopathies. Collectively, this study defines the PRMT3/H4R3me2a/miR-448 axis as a critical regulatory pathway in tau hyperphosphorylation within PART, underscoring the potential of PRMT3 inhibition as a targeted therapeutic strategy for tauopathies.

摘要

原发性年龄相关性tau蛋白病(PART)和阿尔茨海默病(AD)在海马-内嗅系统中均表现出3R/4R过度磷酸化的tau蛋白阳性神经原纤维缠结(NFTs)。值得注意的是,PART患者内嗅皮质(EC)中的tau蛋白过度磷酸化程度高于AD患者,但PART中驱动不依赖Aβ的tau蛋白过度磷酸化的分子机制仍知之甚少。在本文中,通过对死后EC组织的转录组分析以及体外和体内功能验证,本研究确定蛋白精氨酸甲基转移酶3(PRMT3)是tau蛋白过度磷酸化的关键驱动因素。从机制上讲,PRMT3介导的tau蛋白过度磷酸化依赖于组蛋白H4精氨酸3位点的不对称二甲基化(H4R3me2a),这会上调miR-448。升高的miR-448特异性靶向并抑制IGF1R,导致下游GSK3β激活,并通过PI3K/AKT/GSK3β信号通路随后引起tau蛋白过度磷酸化。用选择性PRMT3抑制剂SGC707治疗可有效降低tau蛋白过度磷酸化,并显示出对PART以及潜在的其他tau蛋白病的治疗前景。总的来说,本研究将PRMT3/H4R3me2a/miR-448轴定义为PART中tau蛋白过度磷酸化的关键调节途径,强调了抑制PRMT3作为tau蛋白病靶向治疗策略的潜力。

https://cdn.ncbi.nlm.nih.gov/pmc/blobs/b1b1/12302536/f89298482663/ADVS-12-2506044-g005.jpg

文献AI研究员

20分钟写一篇综述,助力文献阅读效率提升50倍。

立即体验

用中文搜PubMed

大模型驱动的PubMed中文搜索引擎

马上搜索

文档翻译

学术文献翻译模型,支持多种主流文档格式。

立即体验