• 文献检索
  • 文档翻译
  • 深度研究
  • 学术资讯
  • Suppr Zotero 插件Zotero 插件
  • 邀请有礼
  • 套餐&价格
  • 历史记录
应用&插件
Suppr Zotero 插件Zotero 插件浏览器插件Mac 客户端Windows 客户端微信小程序
定价
高级版会员购买积分包购买API积分包
服务
文献检索文档翻译深度研究API 文档MCP 服务
关于我们
关于 Suppr公司介绍联系我们用户协议隐私条款
关注我们

Suppr 超能文献

核心技术专利:CN118964589B侵权必究
粤ICP备2023148730 号-1Suppr @ 2026

文献检索

告别复杂PubMed语法,用中文像聊天一样搜索,搜遍4000万医学文献。AI智能推荐,让科研检索更轻松。

立即免费搜索

文件翻译

保留排版,准确专业,支持PDF/Word/PPT等文件格式,支持 12+语言互译。

免费翻译文档

深度研究

AI帮你快速写综述,25分钟生成高质量综述,智能提取关键信息,辅助科研写作。

立即免费体验

评估自体腹膜移植促进胆管损伤愈合的效果:一项动物研究的初步数据。

Evaluating autologous peritoneum grafting for enhanced healing of bile duct injuries: A preliminary data from an animal study.

作者信息

Nugroho Anung N, Mudigdo Ambar, Soetrisno Soetrisno, Yarso Kristanto Y, Nurwati Ida, Indarto Dono, Pamungkasari Eti P

机构信息

Doctoral Program of Medical Sciences, Faculty of Medicine, Universitas Sebelas Maret, Surakarta, Indonesia.

Department of Anatomical Pathology, Faculty of Medicine, Universitas Sebelas Maret, Surakarta, Indonesia.

出版信息

Narra J. 2025 Apr;5(1):e1873. doi: 10.52225/narra.v5i1.1873. Epub 2025 Feb 10.

DOI:10.52225/narra.v5i1.1873
PMID:40352209
原文链接:https://pmc.ncbi.nlm.nih.gov/articles/PMC12059831/
Abstract

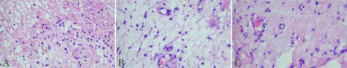
Increased incidence of laparoscopic cholecystectomy-related bile duct injuries (BDIs), combined with its risk of serious complications and mortality, highlights the need for a more effective repair technique. Although the use of autologous graft in BDI repair has been promoted, the role of autologous parietal peritoneum remains underexplored. The aim of this study was to evaluate the effect of autologous parietal peritoneum grafts in rabbit models of partial BDI, emphasizing its effect on the expression of cluster of differentiation 68 (CD68) and transforming growth factor-β (TGF-β). An experimental post-test-only design was employed, using 27 male New Zealand rabbits aged 8-10 months. The rabbits were allocated into three groups: control (primary closure), autologous parietal peritoneum graft, and autologous gallbladder graft. Partial BDI measuring 15 × 5 mm were surgically created and repaired according to group assignments. The expression of CD68 and TGF-β were measured via enzyme-linked immunosorbent assay (ELISA), while the anastomosis was pathologically examined through hematoxylin and eosin (H&E) staining on days 3, 7, and 14 post-surgery. Statistical analysis was performed using analysis of variance (ANOVA) followed by Bonferroni post hoc tests. No statistically significant difference was observed in the expression of CD68 or TGF-β among the three treatment groups on days 3, 7, and 14 post-surgery, indicating that the effects of autologous parietal peritoneum graft were comparable to the control and the autologous gallbladder graft in promoting wound healing. Fibroblast density on day 3 was significantly lower in the parietal peritoneum group ( = 0.040), reflecting delayed recruitment, but normalized by day 14, indicating successful integration and remodeling. The study highlights the potential role of autologous parietal peritoneum grafts for BDI.

摘要

腹腔镜胆囊切除术相关胆管损伤(BDI)的发生率增加,再加上其引发严重并发症和死亡的风险,凸显了需要一种更有效的修复技术。尽管自体移植物在BDI修复中的应用得到了推广,但自体壁层腹膜的作用仍未得到充分探索。本研究的目的是评估自体壁层腹膜移植在部分BDI兔模型中的效果,重点关注其对分化簇68(CD68)和转化生长因子-β(TGF-β)表达的影响。采用仅进行后测的实验设计,使用27只8至10个月大的雄性新西兰兔。将兔子分为三组:对照组(一期缝合)、自体壁层腹膜移植组和自体胆囊移植组。通过手术制造15×5毫米的部分BDI,并根据分组进行修复。通过酶联免疫吸附测定(ELISA)测量CD68和TGF-β的表达,同时在术后第3、7和14天通过苏木精和伊红(H&E)染色对吻合口进行病理检查。使用方差分析(ANOVA),随后进行Bonferroni事后检验进行统计分析。术后第3、7和14天,三个治疗组之间CD68或TGF-β的表达没有观察到统计学上的显著差异,这表明自体壁层腹膜移植在促进伤口愈合方面的效果与对照组和自体胆囊移植相当。壁层腹膜组术后第3天的成纤维细胞密度显著较低(=0.040),反映出招募延迟,但在第14天恢复正常,表明成功整合和重塑。该研究突出了自体壁层腹膜移植在BDI中的潜在作用。

https://cdn.ncbi.nlm.nih.gov/pmc/blobs/6cf9/12059831/24080eb4765e/NarraJ-5-e1873-g005.jpg
https://cdn.ncbi.nlm.nih.gov/pmc/blobs/6cf9/12059831/593f1b98fcad/NarraJ-5-e1873-g001.jpg
https://cdn.ncbi.nlm.nih.gov/pmc/blobs/6cf9/12059831/19c263082f23/NarraJ-5-e1873-g002.jpg
https://cdn.ncbi.nlm.nih.gov/pmc/blobs/6cf9/12059831/efaf44c1cbf2/NarraJ-5-e1873-g003.jpg
https://cdn.ncbi.nlm.nih.gov/pmc/blobs/6cf9/12059831/7037c631b001/NarraJ-5-e1873-g004.jpg
https://cdn.ncbi.nlm.nih.gov/pmc/blobs/6cf9/12059831/24080eb4765e/NarraJ-5-e1873-g005.jpg
https://cdn.ncbi.nlm.nih.gov/pmc/blobs/6cf9/12059831/593f1b98fcad/NarraJ-5-e1873-g001.jpg
https://cdn.ncbi.nlm.nih.gov/pmc/blobs/6cf9/12059831/19c263082f23/NarraJ-5-e1873-g002.jpg
https://cdn.ncbi.nlm.nih.gov/pmc/blobs/6cf9/12059831/efaf44c1cbf2/NarraJ-5-e1873-g003.jpg
https://cdn.ncbi.nlm.nih.gov/pmc/blobs/6cf9/12059831/7037c631b001/NarraJ-5-e1873-g004.jpg
https://cdn.ncbi.nlm.nih.gov/pmc/blobs/6cf9/12059831/24080eb4765e/NarraJ-5-e1873-g005.jpg

相似文献

1
Evaluating autologous peritoneum grafting for enhanced healing of bile duct injuries: A preliminary data from an animal study.评估自体腹膜移植促进胆管损伤愈合的效果:一项动物研究的初步数据。
Narra J. 2025 Apr;5(1):e1873. doi: 10.52225/narra.v5i1.1873. Epub 2025 Feb 10.
2
[Bile duct lesions repaired with peritoneal tube grafts].[用腹膜管移植物修复胆管病变]
Cir Cir. 2013 Sep-Oct;81(5):373-82.
3
PARIETAL PERITONEUM GRAFT FOR DUODENUM INJURIES IN AN ANIMAL MODEL.动物模型中十二指肠损伤的腹膜移植术
Arq Bras Cir Dig. 2019 Feb 7;32(1):e1418. doi: 10.1590/0102-672020180001e1418.
4
Impact of referral pattern and timing of repair on surgical outcome after reconstruction of post-cholecystectomy bile duct injury: A multicenter study.经胆囊切除术后胆管损伤重建术后的转介模式和修复时机对手术结果的影响:一项多中心研究。
Hepatobiliary Pancreat Dis Int. 2021 Feb;20(1):53-60. doi: 10.1016/j.hbpd.2020.10.001. Epub 2020 Oct 14.
5
[Effects of autologous platelet-rich plasma in the repair of soft tissue defects of rabbits with free flap].[自体富血小板血浆在兔游离皮瓣修复软组织缺损中的作用]
Zhonghua Shao Shang Za Zhi. 2019 Sep 20;35(9):683-689. doi: 10.3760/cma.j.issn.1009-2587.2019.09.007.
6
[Influence of autologous adipose stem cell matrix gel on wound healing and scar hyperplasia of full-thickness skin defects in rabbit ears].[自体脂肪干细胞基质凝胶对兔耳全层皮肤缺损创面愈合及瘢痕增生的影响]
Zhonghua Shao Shang Yu Chuang Mian Xiu Fu Za Zhi. 2023 Feb 20;39(2):132-140. doi: 10.3760/cma.j.cn501225-20221020-00463.
7
Postcholecystectomy bile duct injuries: evolution of surgical treatment.胆囊切除术后胆管损伤:外科治疗的演变
Pol Przegl Chir. 2019 Jan 3;91(1):14-21. doi: 10.5604/01.3001.0012.7810.
8
From Laparoscopic Cholecystectomy to Liver Transplantation: When the Gallbladder Becomes the Pandora s Box.从腹腔镜胆囊切除术到肝移植:当胆囊成为潘多拉魔盒之时。
Chirurgia (Bucur). 2016 Sept-Oct;111(5):450-454. doi: 10.21614/chirurgia.111.5.450.
9
Surgical management of bile duct injuries sustained during laparoscopic cholecystectomy: perioperative results in 200 patients.腹腔镜胆囊切除术中胆管损伤的外科治疗:200例患者的围手术期结果
Ann Surg. 2005 May;241(5):786-92; discussion 793-5. doi: 10.1097/01.sla.0000161029.27410.71.
10
Bile duct injuries: management of late complications.胆管损伤:晚期并发症的处理
Surg Endosc. 2006 Nov;20(11):1648-53. doi: 10.1007/s00464-006-0491-8. Epub 2006 Oct 23.

本文引用的文献

1
Bile Duct Injuries after Cholecystectomy: An Individual Patient Data Systematic Review.胆囊切除术后胆管损伤:一项个体患者数据的系统评价
J Clin Med. 2024 Aug 16;13(16):4837. doi: 10.3390/jcm13164837.
2
A comparison of outcomes including bile duct injury of subtotal cholecystectomy versus open total cholecystectomy as bailout procedures for severe cholecystitis: A multicenter real-world study.对比小切口胆囊切除术与开腹胆囊切除术作为严重胆囊炎抢救措施时胆管损伤等结局的差异:一项多中心真实世界研究。
Surgery. 2024 Sep;176(3):605-613. doi: 10.1016/j.surg.2024.03.057. Epub 2024 May 22.
3
Biliary reconstruction with localized creation: One case report of repairing bile duct injury and defect with autografts.
局部构建的胆道重建:自体移植修复胆管损伤和缺损1例报告
Int J Surg Case Rep. 2024 May;118:109597. doi: 10.1016/j.ijscr.2024.109597. Epub 2024 Apr 2.
4
TGF-β signaling in health, disease, and therapeutics.TGF-β 信号在健康、疾病和治疗中的作用。
Signal Transduct Target Ther. 2024 Mar 22;9(1):61. doi: 10.1038/s41392-024-01764-w.
5
Delayed Ga-FAPI-46 PET/MR imaging confirms ongoing fibroblast activation in patients after acute myocardial infarction.延迟的镓标记的成纤维细胞活化蛋白抑制剂46(Ga-FAPI-46)PET/MR成像证实急性心肌梗死后患者存在持续的成纤维细胞活化。
Int J Cardiol Heart Vasc. 2024 Jan 23;50:101340. doi: 10.1016/j.ijcha.2024.101340. eCollection 2024 Feb.
6
Portal vein wedge resection and patch venoplasty with autologous vein grafts for hepatobiliary-pancreatic cancer.门静脉楔形切除及自体静脉移植补片血管成形术治疗肝胆胰肿瘤
Surg Case Rep. 2024 Jan 26;10(1):27. doi: 10.1186/s40792-024-01823-y.
7
TGF-β signaling in health and disease.转化生长因子-β 信号在健康和疾病中的作用。
Cell. 2023 Sep 14;186(19):4007-4037. doi: 10.1016/j.cell.2023.07.036.
8
Angiogenic signaling pathways and anti-angiogenic therapy for cancer.血管生成信号通路与癌症的抗血管生成治疗。
Signal Transduct Target Ther. 2023 May 11;8(1):198. doi: 10.1038/s41392-023-01460-1.
9
Hepaticojejunostomy for bile duct injury: state of the art.肝肠吻合术治疗胆管损伤:现状。
Langenbecks Arch Surg. 2023 Feb 27;408(1):107. doi: 10.1007/s00423-023-02818-3.
10
Inflammatory cell death: how macrophages sense neighbouring cell infection and damage.炎症细胞死亡:巨噬细胞如何感知邻近细胞的感染和损伤。
Biochem Soc Trans. 2023 Feb 27;51(1):303-313. doi: 10.1042/BST20220807.