• 文献检索
  • 文档翻译
  • 深度研究
  • 学术资讯
  • Suppr Zotero 插件Zotero 插件
  • 邀请有礼
  • 套餐&价格
  • 历史记录
应用&插件
Suppr Zotero 插件Zotero 插件浏览器插件Mac 客户端Windows 客户端微信小程序
定价
高级版会员购买积分包购买API积分包
服务
文献检索文档翻译深度研究API 文档MCP 服务
关于我们
关于 Suppr公司介绍联系我们用户协议隐私条款
关注我们

Suppr 超能文献

核心技术专利:CN118964589B侵权必究
粤ICP备2023148730 号-1Suppr @ 2026

文献检索

告别复杂PubMed语法,用中文像聊天一样搜索,搜遍4000万医学文献。AI智能推荐,让科研检索更轻松。

立即免费搜索

文件翻译

保留排版,准确专业,支持PDF/Word/PPT等文件格式,支持 12+语言互译。

免费翻译文档

深度研究

AI帮你快速写综述,25分钟生成高质量综述,智能提取关键信息,辅助科研写作。

立即免费体验

孕期膀胱副神经节瘤并获得成功围产期结局:一例病例报告

Bladder paraganglioma in pregnancy with a successful perinatal outcome: a case report.

作者信息

Teng Roy, Silverman Joshua, McClintock Scott, Deonarine Patricia

机构信息

Urology Department, Gold Coast University Hospital, Gold Coast 4215, Australia.

Radiology Department, Gold Coast University Hospital, Gold Coast 4215, Australia.

出版信息

BJR Case Rep. 2025 Apr 29;11(3):uaaf026. doi: 10.1093/bjrcr/uaaf026. eCollection 2025 May.

DOI:10.1093/bjrcr/uaaf026
PMID:40352976
原文链接:https://pmc.ncbi.nlm.nih.gov/articles/PMC12064214/
Abstract

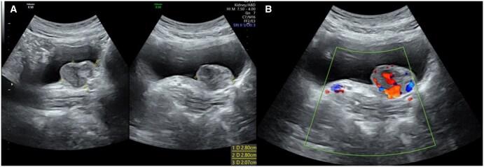
Paragangliomas (PGLs) during pregnancy is an uncommon neuroendocrine tumour that is associated with increased maternal and foetal morbidity and mortality. Furthermore, it is even rarer for these to be located within the urinary bladder, with a prevalence of <0.1% of all bladder tumours. This case report details a 29-year-old female who presented with pre-syncope, headache, and palpitations during voiding. Ultrasound and magnetic resonance imaging of the pelvis revealed a mass in her bladder, and biochemical workup demonstrated elevated plasma normetanephrine levels and a positive clonidine suppression test. Surgical resection and histopathology of the mass were consistent with PGL. Post-operatively, the patient was normotensive, her normetadrenaline levels normalized and she was discharged 3 days after the operation. She progressed through the remaining pregnancy without any significant complications and delivered a healthy baby at full term. This case depicts the rare nature of PGLs in pregnancy and the importance of antenatal imaging combined with a multidisciplinary approach for a successful pregnancy outcome.

摘要

妊娠期副神经节瘤(PGLs)是一种罕见的神经内分泌肿瘤,与孕产妇及胎儿发病率和死亡率增加相关。此外,位于膀胱内的PGLs更为罕见,在所有膀胱肿瘤中的患病率<0.1%。本病例报告详细介绍了一名29岁女性,她在排尿时出现晕厥前症状、头痛和心悸。骨盆超声和磁共振成像显示膀胱内有一个肿块,生化检查显示血浆去甲变肾上腺素水平升高,可乐定抑制试验呈阳性。肿块的手术切除及组织病理学检查结果与PGL相符。术后,患者血压正常,去甲肾上腺素水平恢复正常,术后3天出院。她在剩余的孕期进展顺利,没有任何严重并发症,并足月产下一名健康婴儿。本病例描述了妊娠期PGLs的罕见性,以及产前影像学检查结合多学科方法对于成功妊娠结局的重要性。

https://cdn.ncbi.nlm.nih.gov/pmc/blobs/3840/12064214/2457af1f539b/uaaf026f4.jpg
https://cdn.ncbi.nlm.nih.gov/pmc/blobs/3840/12064214/0e487ed85ae3/uaaf026f1.jpg
https://cdn.ncbi.nlm.nih.gov/pmc/blobs/3840/12064214/9761a73c58f6/uaaf026f2.jpg
https://cdn.ncbi.nlm.nih.gov/pmc/blobs/3840/12064214/9fd7986a4040/uaaf026f3.jpg
https://cdn.ncbi.nlm.nih.gov/pmc/blobs/3840/12064214/2457af1f539b/uaaf026f4.jpg
https://cdn.ncbi.nlm.nih.gov/pmc/blobs/3840/12064214/0e487ed85ae3/uaaf026f1.jpg
https://cdn.ncbi.nlm.nih.gov/pmc/blobs/3840/12064214/9761a73c58f6/uaaf026f2.jpg
https://cdn.ncbi.nlm.nih.gov/pmc/blobs/3840/12064214/9fd7986a4040/uaaf026f3.jpg
https://cdn.ncbi.nlm.nih.gov/pmc/blobs/3840/12064214/2457af1f539b/uaaf026f4.jpg

相似文献

1
Bladder paraganglioma in pregnancy with a successful perinatal outcome: a case report.孕期膀胱副神经节瘤并获得成功围产期结局:一例病例报告
BJR Case Rep. 2025 Apr 29;11(3):uaaf026. doi: 10.1093/bjrcr/uaaf026. eCollection 2025 May.
2
Paraganglioma of Urinary Bladder Presenting as An Early Preeclampsia with Successful Perinatal Outcome After Surgery: A Case Report and Review of Literature.膀胱副神经节瘤表现为早发型子痫前期,术后围产期结局良好:一例病例报告及文献复习
J Clin Diagn Res. 2015 Sep;9(9):PD01-2. doi: 10.7860/JCDR/2015/14306.6420. Epub 2015 Sep 1.
3
Micturition syncope: a rare presentation of bladder paraganglioma.排尿性晕厥:膀胱副神经节瘤的一种罕见表现。
BMJ Case Rep. 2020 Sep 2;13(9):e235353. doi: 10.1136/bcr-2020-235353.
4
A rare case of bladder paraganglioma treated successfully with robotic partial cystectomy.1例罕见的膀胱副神经节瘤经机器人辅助部分膀胱切除术成功治疗。
Endocr Oncol. 2025 Jan 6;5(1):e240044. doi: 10.1530/EO-24-0044. eCollection 2025 Jan.
5
Case Report: Octreotide plus CVD chemotherapy for the treatment of multiple metastatic paragangliomas after double resection for functional bladder paraganglioma and urothelial papilloma.病例报告:奥曲肽联合CVD化疗治疗功能性膀胱副神经节瘤和尿路上皮乳头状瘤双重切除术后的多发转移性副神经节瘤
Front Oncol. 2023 Jan 20;12:1072361. doi: 10.3389/fonc.2022.1072361. eCollection 2022.
6
Bladder Paraganglioma Presenting as Post-Micturition Syncope.以排尿后晕厥为表现的膀胱副神经节瘤
Eur J Case Rep Intern Med. 2022 Sep 28;9(9):003537. doi: 10.12890/2022_003537. eCollection 2022.
7
Functional Bladder Paraganglioma as an Incidental Finding During Infertility Workup.功能性膀胱副神经节瘤在不孕症检查中作为偶然发现。
Cureus. 2021 Oct 16;13(10):e18815. doi: 10.7759/cureus.18815. eCollection 2021 Oct.
8
A rare case of multiple paragangliomas in the head and neck, retroperitoneum and duodenum: A case report and review of the literature.头颈部、腹膜后和十二指肠多发性副神经节瘤 1 例:病例报告及文献复习。
Front Endocrinol (Lausanne). 2023 Jan 10;13:1054468. doi: 10.3389/fendo.2022.1054468. eCollection 2022.
9
Urinary bladder paraganglioma presenting as micturition-induced palpitations, dyspnea, and angina.膀胱副神经节瘤表现为排尿诱发的心悸、呼吸困难和心绞痛。
Am J Case Rep. 2015 May 12;16:283-6. doi: 10.12659/AJCR.891388.
10
Concurrent Urinary Bladder Paraganglioma and Adrenal Phaeochromocytoma With Succinate Dehydrogenase-B Mutation.并发琥珀酸脱氢酶B基因突变的膀胱副神经节瘤和肾上腺嗜铬细胞瘤
Cureus. 2021 Aug 21;13(8):e17350. doi: 10.7759/cureus.17350. eCollection 2021 Aug.

本文引用的文献

1
Imaging of Pheochromocytomas and Paragangliomas.《嗜铬细胞瘤和副神经节瘤的影像学表现》
Endocr Rev. 2024 May 7;45(3):414-434. doi: 10.1210/endrev/bnae001.
2
Bladder paragangliomas: a pictorial review.膀胱副神经节瘤:影像学综述。
Abdom Radiol (NY). 2022 Apr;47(4):1414-1424. doi: 10.1007/s00261-022-03443-2. Epub 2022 Feb 14.
3
Pheochromocytoma and Paraganglioma in Pregnancy: a New Era.妊娠期嗜铬细胞瘤和副神经节瘤:新时代
Curr Cardiol Rep. 2021 May 7;23(6):60. doi: 10.1007/s11886-021-01485-4.
4
Pregnancy and phaeochromocytoma/paraganglioma: clinical clues affecting diagnosis and outcome - a systematic review.妊娠与嗜铬细胞瘤/副神经节瘤:影响诊断和结局的临床线索——系统综述。
BJOG. 2021 Jul;128(8):1264-1272. doi: 10.1111/1471-0528.16635. Epub 2021 Jan 25.
5
Maternal and fetal outcomes in phaeochromocytoma and pregnancy: a multicentre retrospective cohort study and systematic review of literature.《妊娠合并嗜铬细胞瘤:一项多中心回顾性队列研究和文献系统评价》。
Lancet Diabetes Endocrinol. 2021 Jan;9(1):13-21. doi: 10.1016/S2213-8587(20)30363-6. Epub 2020 Nov 26.
6
Bladder Preservation for Patients With Bladder Paragangliomas: Case Series and Review of the Literature.膀胱嗜铬细胞瘤患者的膀胱保留:病例系列和文献回顾。
Urology. 2020 Sep;143:194-205. doi: 10.1016/j.urology.2020.04.098. Epub 2020 May 11.
7
Imaging manifestations of bladder paraganglioma.膀胱副神经节瘤的影像学表现。
Ann Palliat Med. 2020 Mar;9(2):346-351. doi: 10.21037/apm.2020.03.09. Epub 2020 Mar 17.
8
Pheochromocytoma and Pregnancy.嗜铬细胞瘤与妊娠。
Endocrinol Metab Clin North Am. 2019 Sep;48(3):605-617. doi: 10.1016/j.ecl.2019.05.006. Epub 2019 Jun 13.
9
Current role of metaiodobenzylguanidine in the diagnosis of pheochromocytoma and medullary thyroid cancer.美托咪定胍在嗜铬细胞瘤和甲状腺髓样癌诊断中的当前作用。
Semin Nucl Med. 2011 Sep;41(5):364-8. doi: 10.1053/j.semnuclmed.2011.03.003.
10
Phaeochromocytoma.嗜铬细胞瘤
Lancet. 2005;366(9486):665-75. doi: 10.1016/S0140-6736(05)67139-5.