• 文献检索
  • 文档翻译
  • 深度研究
  • 学术资讯
  • Suppr Zotero 插件Zotero 插件
  • 邀请有礼
  • 套餐&价格
  • 历史记录
应用&插件
Suppr Zotero 插件Zotero 插件浏览器插件Mac 客户端Windows 客户端微信小程序
定价
高级版会员购买积分包购买API积分包
服务
文献检索文档翻译深度研究API 文档MCP 服务
关于我们
关于 Suppr公司介绍联系我们用户协议隐私条款
关注我们

Suppr 超能文献

核心技术专利:CN118964589B侵权必究
粤ICP备2023148730 号-1Suppr @ 2026

文献检索

告别复杂PubMed语法,用中文像聊天一样搜索,搜遍4000万医学文献。AI智能推荐,让科研检索更轻松。

立即免费搜索

文件翻译

保留排版,准确专业,支持PDF/Word/PPT等文件格式,支持 12+语言互译。

免费翻译文档

深度研究

AI帮你快速写综述,25分钟生成高质量综述,智能提取关键信息,辅助科研写作。

立即免费体验

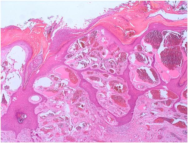
Verrucous venous malformation: A case report of a rare entity with dermatoscopic features.

作者信息

Abualola Amal Hani, Alhawsawi Waseem, Samarkandy Sahal, AlMaghrabi Hatim

机构信息

College of Medicine, King Saud bin Abdulaziz University for Health Sciences, Jeddah, Saudi Arabia.

Dermatology Department, King Abdulaziz Medical City, National Guards Affairs, Jeddah, Saudi Arabia.

出版信息

JAAD Case Rep. 2024 Nov 10;60:69-72. doi: 10.1016/j.jdcr.2024.10.022. eCollection 2025 Jun.

DOI:10.1016/j.jdcr.2024.10.022
PMID:40353112
原文链接:https://pmc.ncbi.nlm.nih.gov/articles/PMC12063020/
Abstract
摘要
https://cdn.ncbi.nlm.nih.gov/pmc/blobs/19d3/12063020/c65bd88c68f6/gr4.jpg
https://cdn.ncbi.nlm.nih.gov/pmc/blobs/19d3/12063020/1facb8c42f47/gr1.jpg
https://cdn.ncbi.nlm.nih.gov/pmc/blobs/19d3/12063020/78543422c5e1/gr2.jpg
https://cdn.ncbi.nlm.nih.gov/pmc/blobs/19d3/12063020/c29372642dab/gr3.jpg
https://cdn.ncbi.nlm.nih.gov/pmc/blobs/19d3/12063020/c65bd88c68f6/gr4.jpg
https://cdn.ncbi.nlm.nih.gov/pmc/blobs/19d3/12063020/1facb8c42f47/gr1.jpg
https://cdn.ncbi.nlm.nih.gov/pmc/blobs/19d3/12063020/78543422c5e1/gr2.jpg
https://cdn.ncbi.nlm.nih.gov/pmc/blobs/19d3/12063020/c29372642dab/gr3.jpg
https://cdn.ncbi.nlm.nih.gov/pmc/blobs/19d3/12063020/c65bd88c68f6/gr4.jpg

相似文献

1
Verrucous venous malformation: A case report of a rare entity with dermatoscopic features.疣状静脉畸形:一例具有皮肤镜特征的罕见病例报告。
JAAD Case Rep. 2024 Nov 10;60:69-72. doi: 10.1016/j.jdcr.2024.10.022. eCollection 2025 Jun.
2
Verrucous hemangioma (also known as verrucous venous malformation): A vascular anomaly frequently misdiagnosed as a lymphatic malformation.疣状血管瘤(也称为疣状静脉畸形):一种常被误诊为淋巴管畸形的血管异常。
Pediatr Dermatol. 2018 Nov;35(6):e378-e381. doi: 10.1111/pde.13671. Epub 2018 Sep 14.
3
MRI in verrucous venous malformation: role in diagnosis and treatment.MRI 在疣状静脉畸形中的应用:诊断和治疗中的作用。
Clin Imaging. 2021 Aug;76:156-159. doi: 10.1016/j.clinimag.2021.02.006. Epub 2021 Feb 10.
4
Verrucous venous malformation.疣状静脉畸形
Dermatol Online J. 2019 Dec 15;25(12):13030/qt9dw4w7bd.
5
Verrucous hemangioma revisited.复发性疣状血管瘤
Pediatr Dermatol. 2006 May-Jun;23(3):208-15. doi: 10.1111/j.1525-1470.2006.00219.x.
6
Sirolimus for the Management of Verrucous Venous Malformation: A Case Report and Literature Review.西罗莫司治疗疣状静脉畸形:病例报告及文献综述
Case Rep Dermatol. 2021 Jun 17;13(2):298-303. doi: 10.1159/000515984. eCollection 2021 May-Aug.
7
Verrucous Hemangioma or Verrucous Venous Malformation? Towards a Classification Based on Genetic Analysis.疣状血管瘤还是疣状静脉畸形?基于基因分析的分类探讨
Actas Dermosifiliogr. 2016 Jun;107(5):427-8. doi: 10.1016/j.ad.2015.07.016. Epub 2015 Dec 17.
8
Verrucous lymphovascular malformation versus verrucous hemangioma: controversial nomenclature.疣状淋巴管畸形与疣状血管瘤:存在争议的命名
Cutis. 2008 May;81(5):390-6.
9
Verrucous venous malformations of the hand.手部疣状静脉畸形
J Hand Surg Eur Vol. 2019 Oct;44(8):850-855. doi: 10.1177/1753193419845271. Epub 2019 May 1.
10
Linear verrucous hemangioma.线性疣状血管瘤
Dermatol Online J. 2009 May 15;15(5):15.

本文引用的文献

1
Sirolimus for the Management of Verrucous Venous Malformation: A Case Report and Literature Review.西罗莫司治疗疣状静脉畸形:病例报告及文献综述
Case Rep Dermatol. 2021 Jun 17;13(2):298-303. doi: 10.1159/000515984. eCollection 2021 May-Aug.
2
A Case Report of a Patient with Linear Verrucous Hemangioma.线状疣状血管瘤一例报告
Saudi J Med Med Sci. 2016 May-Aug;4(2):118-120. doi: 10.4103/1658-631X.178344. Epub 2016 Mar 9.
3
Verrucous Hemangioma.疣状血管瘤
Eplasty. 2019 Jan 7;19:ic1. eCollection 2019.
4
Verrucous hemangioma (also known as verrucous venous malformation): A vascular anomaly frequently misdiagnosed as a lymphatic malformation.疣状血管瘤(也称为疣状静脉畸形):一种常被误诊为淋巴管畸形的血管异常。
Pediatr Dermatol. 2018 Nov;35(6):e378-e381. doi: 10.1111/pde.13671. Epub 2018 Sep 14.
5
Linear verrucous hemangioma-a rare case and dermoscopic clues to diagnosis.线状疣状血管瘤——1例罕见病例及诊断的皮肤镜线索
Dermatol Pract Concept. 2018 Jan 31;8(1):43-47. doi: 10.5826/dpc.0801a09. eCollection 2018 Jan.
6
A case of verrucous hemangioma and its dermoscopic features.一例疣状血管瘤及其皮肤镜特征
Indian Dermatol Online J. 2015 Dec;6(Suppl 1):S56-8. doi: 10.4103/2229-5178.171047.
7
Evolution of verrucous hemangioma.疣状血管瘤的演变
Indian J Dermatol Venereol Leprol. 2012 Jul-Aug;78(4):520. doi: 10.4103/0378-6323.98100.
8
Verrucous hemangioma: report of two cases and review of the literature.疣状血管瘤:两例报告及文献复习
Pediatr Dermatol. 2000 May-Jun;17(3):213-7. doi: 10.1046/j.1525-1470.2000.01755.x.