Suppr超能文献

印度农村与农业农场相关的头部损伤:病例系列

Agricultural Farm-Related Head Injuries in Rural India: A Case Series.

作者信息

Hakeem Abdul, Kumar Harendra, Anwer Majid, Khan Abdul Vakil, Kumar Deepak, Sridhar Rachith, Kumar Anil, Kumar Anurag

机构信息

Department of Trauma Surgery, All India Institute of Medical Sciences, Patna, Bihar, India.

出版信息

Korean J Neurotrauma. 2025 Apr 22;21(2):137-151. doi: 10.13004/kjnt.2025.21.e11. eCollection 2025 Apr.

Abstract

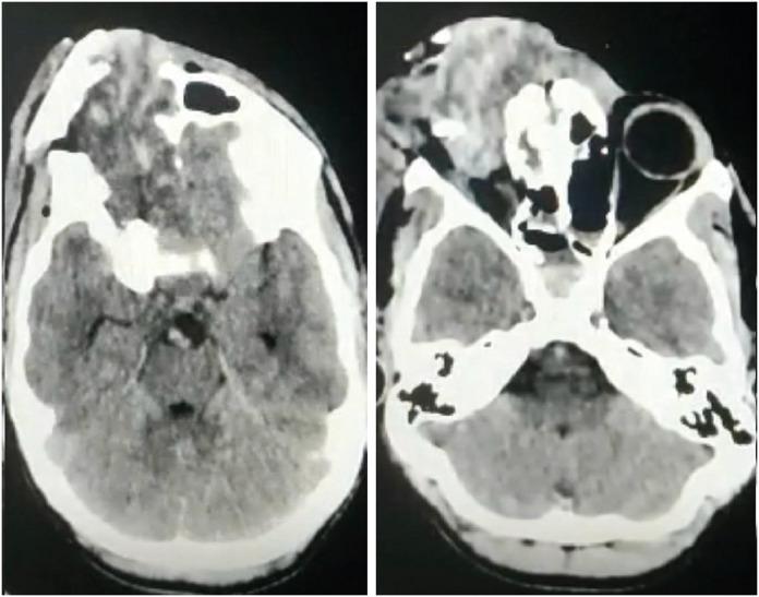
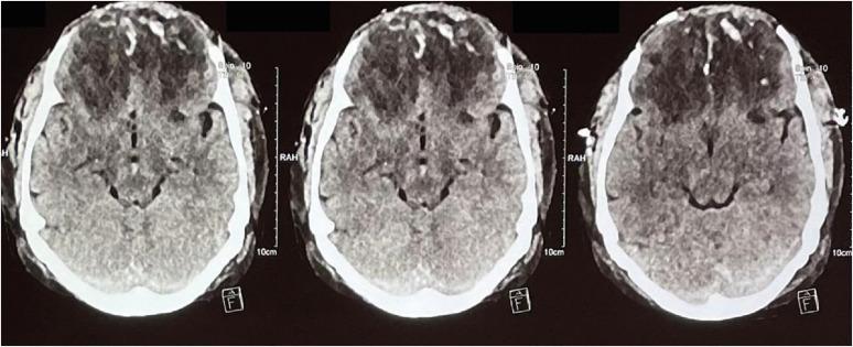
Farm-related head injuries are a significant cause of death and disability in rural households. Traumatic brain injury can result in long-term disability. The use of modern farming equipment has increased in the Indian agricultural sector over the last few decades. Machines such as threshers and winnowing devices can cause open skull fractures or scalp avulsions, while the fall of heavy tools may lead to severe head trauma. Farm animals such as bullocks and horses can also inflict traumatic brain injuries with their pointed horns, through trampling, kicking, or rarely biting. We present a case series of four patients who sustained head injuries due to farm-related accidents. All patients sustained compound cranial fractures with underlying brain parenchymal injuries, and three of them achieved complete recovery following timely medical intervention.

摘要

与农场相关的头部损伤是农村家庭死亡和残疾的一个重要原因。创伤性脑损伤可导致长期残疾。在过去几十年里,印度农业部门现代农用设备的使用有所增加。脱粒机和扬谷设备等机器可导致开放性颅骨骨折或头皮撕脱伤,而重型工具掉落可能导致严重的头部创伤。公牛和马等农场动物也可能用它们的尖角、通过踩踏、踢踹或极少情况下的撕咬造成创伤性脑损伤。我们报告了一系列4例因与农场相关的事故而头部受伤的患者。所有患者均发生复合性颅骨骨折并伴有潜在的脑实质损伤,其中3例经及时医疗干预后完全康复。

https://cdn.ncbi.nlm.nih.gov/pmc/blobs/907d/12062818/42a841a0fec3/kjn-21-137-g001.jpg

文献检索

告别复杂PubMed语法,用中文像聊天一样搜索,搜遍4000万医学文献。AI智能推荐,让科研检索更轻松。

立即免费搜索

文件翻译

保留排版,准确专业,支持PDF/Word/PPT等文件格式,支持 12+语言互译。

免费翻译文档

深度研究

AI帮你快速写综述,25分钟生成高质量综述,智能提取关键信息,辅助科研写作。

立即免费体验