• 文献检索
  • 文档翻译
  • 深度研究
  • 学术资讯
  • Suppr Zotero 插件Zotero 插件
  • 邀请有礼
  • 套餐&价格
  • 历史记录
应用&插件
Suppr Zotero 插件Zotero 插件浏览器插件Mac 客户端Windows 客户端微信小程序
定价
高级版会员购买积分包购买API积分包
服务
文献检索文档翻译深度研究API 文档MCP 服务
关于我们
关于 Suppr公司介绍联系我们用户协议隐私条款
关注我们

Suppr 超能文献

核心技术专利:CN118964589B侵权必究
粤ICP备2023148730 号-1Suppr @ 2026

文献检索

告别复杂PubMed语法,用中文像聊天一样搜索,搜遍4000万医学文献。AI智能推荐,让科研检索更轻松。

立即免费搜索

文件翻译

保留排版,准确专业,支持PDF/Word/PPT等文件格式,支持 12+语言互译。

免费翻译文档

深度研究

AI帮你快速写综述,25分钟生成高质量综述,智能提取关键信息,辅助科研写作。

立即免费体验

口服褪黑素对患有X型脱毛症的雄性博美犬生殖参数的剂量反应效应:一项对照研究。

Dose-Response Effects of Oral Melatonin on Reproductive Parameters in Intact Male Pomeranian Dogs With Alopecia X: A Controlled Study.

作者信息

Abdous Arman, Jokar Mohammad, Farhoodi Mehran, Shirani Darioush, Moayer Fariborz

机构信息

Faculty of Veterinary Medicine, Ka.C., Islamic Azad University, Karaj, Iran.

Faculty of Veterinary Medicine, University of Calgary,Calgary, AB T2N 1N4, Canada.

出版信息

Vet Med Sci. 2025 May;11(3):e70410. doi: 10.1002/vms3.70410.

DOI:10.1002/vms3.70410
PMID:40358664
原文链接:https://pmc.ncbi.nlm.nih.gov/articles/PMC12070944/
Abstract

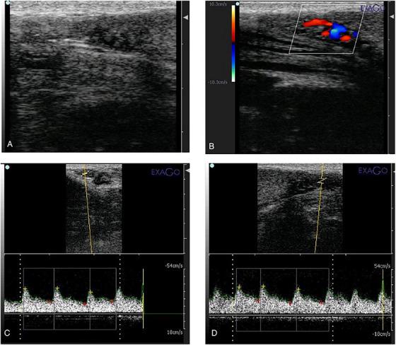
This study investigates the dose-response effects of oral melatonin on reproductive parameters in intact male Pomeranian dogs diagnosed with Alopecia X. Given melatonin's potential therapeutic effects on hair regrowth and reproductive health, this study aimed to evaluate its impact on semen quality, hormonal profiles and testicular haemodynamics. A total of 16 intact male Pomeranian dogs were randomly assigned to four groups: a control group receiving a placebo and three treatment groups receiving melatonin at low (0.1 mg/kg), medium (0.3 mg/kg) and high (0.5 mg/kg) doses, administered twice daily for 45 days. Reproductive parameters, including semen volume, sperm concentration, total sperm count, sperm motility and levels of testosterone and oestradiol 17-ß, were assessed biweekly. Testicular haemodynamics were evaluated using pulsed Doppler ultrasonography. The results showed dose-dependent improvements in semen quality and testicular blood flow, with the highest dose group demonstrating the most significant improvements. However, analysis of the testosterone-to-oestradiol ratio revealed a decrease in the treatment groups, highlighting a complex hormonal response. Although semen quality improved, the study's short duration may not have captured the full spermatogenesis cycle. These findings suggest that melatonin may enhance reproductive function in male dogs with Alopecia X, but further research is needed to clarify its long-term endocrine effects and optimize treatment protocols.

摘要

本研究调查了口服褪黑素对诊断为X型脱发的雄性博美犬生殖参数的剂量反应效应。鉴于褪黑素对毛发生长和生殖健康的潜在治疗作用,本研究旨在评估其对精液质量、激素水平和睾丸血流动力学的影响。总共16只雄性博美犬被随机分为四组:一组接受安慰剂的对照组和三组分别接受低剂量(0.1毫克/千克)、中剂量(0.3毫克/千克)和高剂量(0.5毫克/千克)褪黑素的治疗组,每天给药两次,持续45天。每两周评估一次生殖参数,包括精液量、精子浓度、总精子数、精子活力以及睾酮和雌二醇17-β水平。使用脉冲多普勒超声评估睾丸血流动力学。结果显示精液质量和睾丸血流呈剂量依赖性改善,最高剂量组的改善最为显著。然而,对睾酮与雌二醇比值的分析显示治疗组有所下降,突出了复杂的激素反应。尽管精液质量有所改善,但该研究的短疗程可能未涵盖完整的精子发生周期。这些发现表明,褪黑素可能增强患有X型脱发的雄性犬的生殖功能,但需要进一步研究以阐明其长期内分泌效应并优化治疗方案。

https://cdn.ncbi.nlm.nih.gov/pmc/blobs/0a5a/12070944/9a3bad2ac15e/VMS3-11-e70410-g003.jpg
https://cdn.ncbi.nlm.nih.gov/pmc/blobs/0a5a/12070944/45b1d48c42bd/VMS3-11-e70410-g005.jpg
https://cdn.ncbi.nlm.nih.gov/pmc/blobs/0a5a/12070944/621523c02d37/VMS3-11-e70410-g004.jpg
https://cdn.ncbi.nlm.nih.gov/pmc/blobs/0a5a/12070944/bc4e5a0922f2/VMS3-11-e70410-g006.jpg
https://cdn.ncbi.nlm.nih.gov/pmc/blobs/0a5a/12070944/afcc2bd8fe69/VMS3-11-e70410-g001.jpg
https://cdn.ncbi.nlm.nih.gov/pmc/blobs/0a5a/12070944/9a3bad2ac15e/VMS3-11-e70410-g003.jpg
https://cdn.ncbi.nlm.nih.gov/pmc/blobs/0a5a/12070944/45b1d48c42bd/VMS3-11-e70410-g005.jpg
https://cdn.ncbi.nlm.nih.gov/pmc/blobs/0a5a/12070944/621523c02d37/VMS3-11-e70410-g004.jpg
https://cdn.ncbi.nlm.nih.gov/pmc/blobs/0a5a/12070944/bc4e5a0922f2/VMS3-11-e70410-g006.jpg
https://cdn.ncbi.nlm.nih.gov/pmc/blobs/0a5a/12070944/afcc2bd8fe69/VMS3-11-e70410-g001.jpg
https://cdn.ncbi.nlm.nih.gov/pmc/blobs/0a5a/12070944/9a3bad2ac15e/VMS3-11-e70410-g003.jpg

相似文献

1
Dose-Response Effects of Oral Melatonin on Reproductive Parameters in Intact Male Pomeranian Dogs With Alopecia X: A Controlled Study.口服褪黑素对患有X型脱毛症的雄性博美犬生殖参数的剂量反应效应:一项对照研究。
Vet Med Sci. 2025 May;11(3):e70410. doi: 10.1002/vms3.70410.
2
Taxane monotherapy regimens for the treatment of recurrent epithelial ovarian cancer.紫杉烷类单药治疗方案用于复发性上皮性卵巢癌。
Cochrane Database Syst Rev. 2022 Jul 12;7(7):CD008766. doi: 10.1002/14651858.CD008766.pub3.
3
Drugs for preventing postoperative nausea and vomiting in adults after general anaesthesia: a network meta-analysis.成人全身麻醉后预防术后恶心呕吐的药物:网状Meta分析
Cochrane Database Syst Rev. 2020 Oct 19;10(10):CD012859. doi: 10.1002/14651858.CD012859.pub2.
4
Sertindole for schizophrenia.用于治疗精神分裂症的舍吲哚。
Cochrane Database Syst Rev. 2005 Jul 20;2005(3):CD001715. doi: 10.1002/14651858.CD001715.pub2.
5
The effects of supplemental brewers yeast on postprandial amino acid concentrations in healthy adult sled dogs.补充啤酒酵母对健康成年雪橇犬餐后氨基酸浓度的影响。
J Anim Sci. 2025 Jan 4;103. doi: 10.1093/jas/skaf180.
6
Interventions for infantile haemangiomas of the skin.皮肤婴儿血管瘤的干预措施。
Cochrane Database Syst Rev. 2018 Apr 18;4(4):CD006545. doi: 10.1002/14651858.CD006545.pub3.
7
Galantamine for Alzheimer's disease.加兰他敏用于治疗阿尔茨海默病。
Cochrane Database Syst Rev. 2002(3):CD001747. doi: 10.1002/14651858.CD001747.
8
Mu-opioid antagonists for opioid-induced bowel dysfunction in people with cancer and people receiving palliative care.用于癌症患者和接受姑息治疗患者的阿片类药物引起的肠道功能障碍的μ-阿片受体拮抗剂。
Cochrane Database Syst Rev. 2018 Jun 5;6(6):CD006332. doi: 10.1002/14651858.CD006332.pub3.
9
Systemic pharmacological treatments for chronic plaque psoriasis: a network meta-analysis.系统性药理学治疗慢性斑块状银屑病:网络荟萃分析。
Cochrane Database Syst Rev. 2021 Apr 19;4(4):CD011535. doi: 10.1002/14651858.CD011535.pub4.
10
Galantamine for Alzheimer's disease.加兰他敏用于治疗阿尔茨海默病。
Cochrane Database Syst Rev. 2001(4):CD001747. doi: 10.1002/14651858.CD001747.

本文引用的文献

1
Canine Semen Evaluation and Processing.犬精液评估与处理。
Vet Clin North Am Small Anim Pract. 2023 Sep;53(5):921-930. doi: 10.1016/j.cvsm.2023.05.006. Epub 2023 Jul 1.
2
Canine noninflammatory alopecia: An approach to its classification and a diagnostic aid.犬非炎性脱毛:分类方法及诊断辅助
Vet Pathol. 2023 Nov;60(6):748-769. doi: 10.1177/03009858231170295. Epub 2023 May 16.
3
Single melatonin injection enhances the testicular artery hemodynamic, reproductive hormones, and semen parameters in German shepherd dogs.
单次褪黑素注射可增强德国牧羊犬的睾丸动脉血液动力学、生殖激素和精液参数。
BMC Vet Res. 2022 Nov 14;18(1):403. doi: 10.1186/s12917-022-03487-y.
4
Supplemental dietary curcumin improves testicular hemodynamics, testosterone levels, and semen quality in Baladi bucks in the non-breeding season.补充膳食姜黄素可改善非繁殖季节 Baladi 公鹿的睾丸血液动力学、睾酮水平和精液质量。
Theriogenology. 2022 Aug;188:100-107. doi: 10.1016/j.theriogenology.2022.05.020. Epub 2022 May 27.
5
Effect of drugs on fertility in male dogs: A review.药物对雄性犬类生育能力的影响:综述
Reprod Domest Anim. 2022 Sep;57(9):949-956. doi: 10.1111/rda.14173. Epub 2022 Jul 5.
6
Effects of melatonin administration on testicular hemodynamics, echotexture, steroids production, and semen parameters during the non-breeding season in Ossimi rams.褪黑素给药对奥西米公羊非繁殖季节睾丸血流动力学、回声纹理、类固醇生成及精液参数的影响。
Theriogenology. 2022 May;184:34-40. doi: 10.1016/j.theriogenology.2022.02.027. Epub 2022 Mar 2.
7
Effects of short-term administration of melatonin before gonadectomy on oxidative stress, cortisol and sex hormones in male dogs.去势前短期给予褪黑素对雄性犬氧化应激、皮质醇和性激素的影响。
Andrologia. 2022 Apr;54(3):e14354. doi: 10.1111/and.14354. Epub 2021 Dec 16.
8
New Approaches to Assess Fertility in Domestic Animals: Relationship between Arterial Blood Flow to the Testicles and Seminal Quality.评估家畜生育能力的新方法:睾丸动脉血流与精液质量之间的关系。
Animals (Basel). 2020 Dec 23;11(1):12. doi: 10.3390/ani11010012.
9
Correlation of Prostatic Artery Blood Flow Assessed by Doppler Ultrasonography with Semen Characteristics in Beagle Dogs.多普勒超声评估比格犬前列腺动脉血流与精液特征的相关性
Animals (Basel). 2020 Nov 9;10(11):2077. doi: 10.3390/ani10112077.
10
Pulse-wave Doppler pulsatility and resistive indexes of the testicular artery increase in canine testis with abnormal spermatogenesis.在出现异常精子发生的犬睾丸中,睾丸动脉的脉冲波多普勒搏动指数和阻力指数增加。
Theriogenology. 2020 Dec;158:454-460. doi: 10.1016/j.theriogenology.2020.10.015. Epub 2020 Oct 8.