Suppr超能文献

慢性淋巴细胞白血病中的肌肉浸润:一项诊断挑战。

Muscle Infiltration in Chronic Lymphocytic Leukemia: A Diagnostic Challenge.

作者信息

Ichikawa Jiro, Kirito Keita, Kawasaki Tomonori, Onohara Kojiro, Wako Masanori, Haro Hirotaka

机构信息

Department of Orthopaedic Surgery, Interdisciplinary Graduate School of Medicine, University of Yamanashi, Yamanashi 409-3898, Japan.

Haematology and Oncology, Interdisciplinary Graduate School of Medicine, University of Yamanashi, Yamanashi 409-3898, Japan.

出版信息

Diagnostics (Basel). 2025 Apr 23;15(9):1068. doi: 10.3390/diagnostics15091068.

Abstract

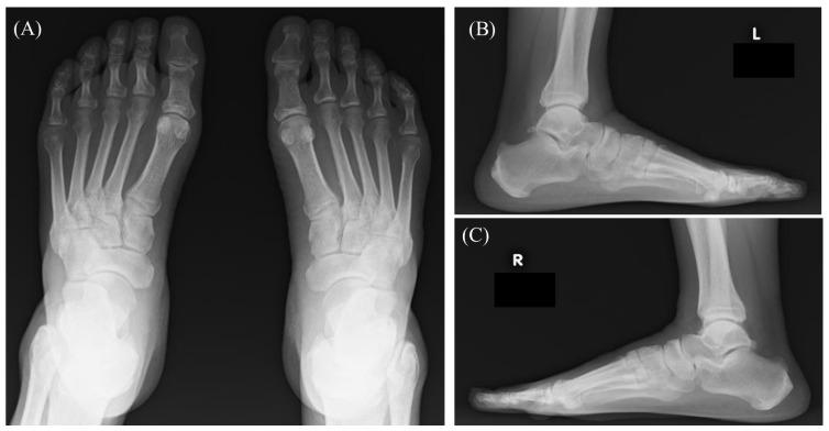
Chronic lymphocytic leukemia (CLL) is the most common leukemia in adults but is rare in Asia. Extramedullary and extranodal manifestations in CLL are generally uncommon, and muscle involvement is extremely rare. A 70-year-old male with CLL presented with bilateral plantar pain, predominantly on the left side. Anemia and reduced platelet count prompted ibrutinib treatment. MRI revealed high-signal areas in the muscles, suggesting inflammation. Anemia and thrombocytopenia improved, but the pain persisted for 8 months. Histopathological findings confirmed CLL infiltration of the muscles. Radiotherapy alleviated the pain, and the patient remains under observation. Careful caution was needed because (1) MRI findings suggested an inflammatory lesion, broadening differential diagnosis, and (2) CLL may coexist with inflammatory diseases. Histopathological examination is essential for correct diagnosis and treatment.

摘要

慢性淋巴细胞白血病(CLL)是成人中最常见的白血病,但在亚洲较为罕见。CLL的髓外和结外表现通常并不常见,肌肉受累极为罕见。一名70岁的CLL男性患者出现双侧足底疼痛,主要集中在左侧。贫血和血小板计数降低促使使用依鲁替尼进行治疗。MRI显示肌肉中有高信号区域,提示存在炎症。贫血和血小板减少症有所改善,但疼痛持续了8个月。组织病理学检查结果证实了CLL浸润肌肉。放疗缓解了疼痛,患者仍在接受观察。需要谨慎小心,原因如下:(1)MRI结果提示存在炎性病变,扩大了鉴别诊断范围;(2)CLL可能与炎性疾病并存。组织病理学检查对于正确诊断和治疗至关重要。

https://cdn.ncbi.nlm.nih.gov/pmc/blobs/93c7/12072124/dda0f6fce80d/diagnostics-15-01068-g001.jpg

文献AI研究员

20分钟写一篇综述,助力文献阅读效率提升50倍。

立即体验

用中文搜PubMed

大模型驱动的PubMed中文搜索引擎

马上搜索

文档翻译

学术文献翻译模型,支持多种主流文档格式。

立即体验