Suppr超能文献

孕妇心源性猝死——文献综述与尸检结果

Sudden Cardiac Death in Pregnant Women-Literature Review and Autopsy Findings.

作者信息

Radu Ioana, Farcas Anca Otilia, Cimpan Laura, Platon Corina-Lacramioara, Nyulas Victoria, Suciu Bogdan Andrei, Hălmaciu Ioana, Radu Carmen Corina, Brînzaniuc Klara

机构信息

Doctoral School of Medicine and Pharmacy, George Emil Palade University of Medicine, Pharmacy, Science, and Technology of Targu Mures, 540142 Targu Mures, Romania.

Department of Forensic Medicine, Emergency County Hospital, "Constantin Opris" Baia Mare, 430031 Baia Mare, Romania.

出版信息

Diagnostics (Basel). 2025 Apr 27;15(9):1108. doi: 10.3390/diagnostics15091108.

Abstract

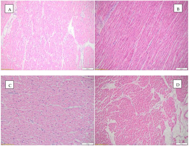
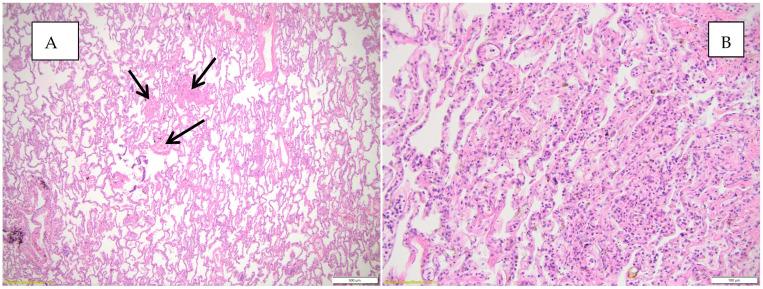
Cardiovascular diseases increase among pregnant women and complicate 1-4% of pregnancies worldwide. The incidence of maternal deaths due to cardiovascular causes has increased dramatically, rising from 3% three decades ago to 15% in recent years. The aim of this study is to provide a comprehensive overview of the current status of knowledge in sudden maternal death (SMD) described in the literature and to present two cases of autopsy findings in sudden cardiac death in pregnant women. Among the most common causes of sudden maternal deaths are peripartum cardiomyopathies, aortic dissection, acute myocardial infarction, arrhythmias, ischemic heart disease, and coronary artery dissection, and among the less common causes, we list coronary artery dissection, congenital heart diseases, valvulopathies, hypertension, fibroelastosis, and borderline myocarditis. The Centers for Disease Control and Prevention (CDC) reported that over 80% of pregnancy-related deaths were preventable. To reduce the number of maternal deaths caused by cardiovascular diseases, the implementation of specialized multidisciplinary teams has been proposed. Molecular biology techniques are proving their effectiveness in forensic medicine. PCR or DNA sequencing can be utilized in "molecular autopsy", which holds particular value in cases of sudden death where the forensic autopsy is negative but there is a suspicion that death was caused by arrhythmia. Susceptibility genes can be analyzed, such as KCNQ1, KCNH2, KCNE1, and KCNE2, which are involved in long QT syndrome, the RYR2 gene implicated in catecholaminergic polymorphic ventricular tachycardia type 1, or the SCN5A gene associated with Brugada syndrome. Early identification of risk factors involved in sudden maternal death prenatally and during pregnancy is essential. At the same time, genetic determinations and molecular biology techniques are absolutely necessary to prevent the occurrence of sudden deaths among close relatives.

摘要

心血管疾病在孕妇中的发病率有所上升,在全球范围内使1%-4%的妊娠复杂化。心血管疾病导致的孕产妇死亡发生率急剧上升,从三十年前的3%升至近年来的15%。本研究的目的是全面概述文献中描述的孕产妇猝死(SMD)的当前知识状况,并呈现两例孕妇心源性猝死的尸检结果。孕产妇猝死的最常见原因包括围产期心肌病、主动脉夹层、急性心肌梗死、心律失常、缺血性心脏病和冠状动脉夹层,较不常见的原因有冠状动脉夹层、先天性心脏病、瓣膜病、高血压、纤维弹性组织增生症和边缘性心肌炎。美国疾病控制与预防中心(CDC)报告称,超过80%的与妊娠相关的死亡是可预防的。为减少心血管疾病导致的孕产妇死亡人数,已提议组建专门的多学科团队。分子生物学技术在法医学中证明了其有效性。聚合酶链反应(PCR)或DNA测序可用于“分子尸检”,这在法医尸检呈阴性但怀疑死亡由心律失常引起的猝死病例中具有特殊价值。可以分析易感基因,如参与长QT综合征的KCNQ1、KCNH2、KCNE1和KCNE2基因,与1型儿茶酚胺能多形性室性心动过速相关的RYR2基因,或与Brugada综合征相关的SCN5A基因。产前和孕期尽早识别孕产妇猝死相关的危险因素至关重要。与此同时,进行基因检测和分子生物学技术对于预防近亲中猝死的发生绝对必要。

https://cdn.ncbi.nlm.nih.gov/pmc/blobs/6f0d/12071844/342f834996bb/diagnostics-15-01108-g001.jpg

文献检索

告别复杂PubMed语法,用中文像聊天一样搜索,搜遍4000万医学文献。AI智能推荐,让科研检索更轻松。

立即免费搜索

文件翻译

保留排版,准确专业,支持PDF/Word/PPT等文件格式,支持 12+语言互译。

免费翻译文档

深度研究

AI帮你快速写综述,25分钟生成高质量综述,智能提取关键信息,辅助科研写作。

立即免费体验