Suppr超能文献

评估药物污染物对鲤鱼的影响:组织病理学和抗氧化反应

Evaluating the effects of pharmaceutical pollutants on common carp (): histopathological and antioxidant responses.

作者信息

Shaalan Walaa M, Idriss Shaimaa K A, Lee Jae-Seong, Mohamed Nadia H, Sayed Alaa El-Din H

机构信息

Zoology Department, Faculty of Science, Benha University, Benha, Egypt.

Bioinformatics Group, Faculty for Biology and Biotechnology and Center for Protein Diagnostics, Ruhr-University, Bochum, Germany.

出版信息

Front Physiol. 2025 Apr 29;16:1557647. doi: 10.3389/fphys.2025.1557647. eCollection 2025.

Abstract

INTRODUCTION

The release of pharmaceutical chemicals into aquatic environments has emerged as a significant ecological concern, originating from agricultural runoff, sewage effluents, and improper disposal of medications.

METHODS

This study investigates the impacts of four common pharmaceuticals (bromazepam, naproxen, metoprolol, and sotalol) on common carp (), a vital bioindicator species. We evaluated neurological, immunological, and histopathological responses in carp exposed to these pharmaceuticals over 15 days.

RESULTS

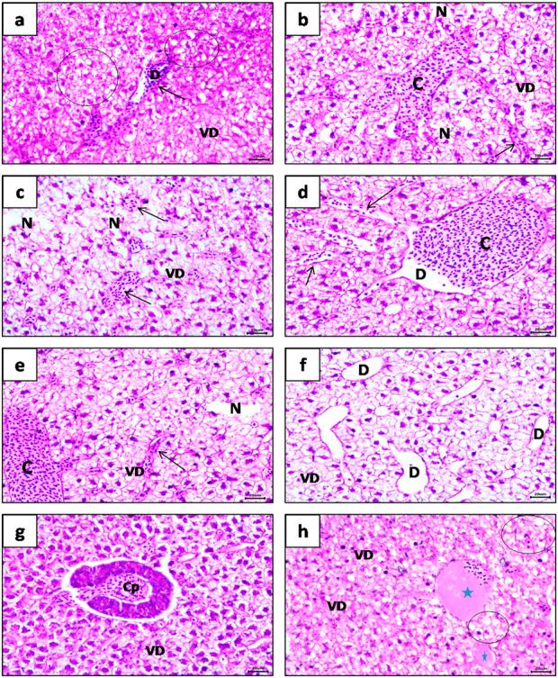
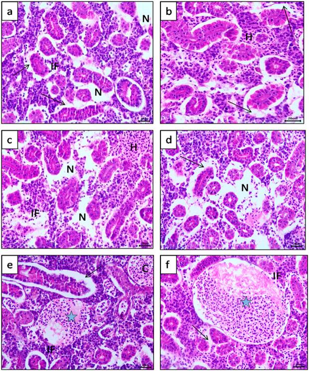
Neurological assessments showed significant reductions in acetylcholinesterase (AChE) and monoamine oxidase (MAO) activities, and nitric oxide (NO) levels, indicating potential disruptions in neurotransmission and enzyme function. Immunological analysis revealed elevated levels of pro-inflammatory cytokines interleukin-1β (IL-1β) and interleukin-6 (IL-6), suggesting an inflammatory response. Histopathological examinations identified tissue alterations in the liver, kidney which correlated with the observed biochemical and immune responses.

DISCUSSION

These findings highlight the adverse effects of pharmaceutical contaminants on aquatic species, emphasizing the necessity for comprehensive environmental risk assessments and strategies to mitigate their impact. This study enhances the understanding of pharmaceutical pollutants' ecological effects, informing policy and conservation efforts to protect aquatic ecosystems.

摘要

引言

药物化学物质释放到水生环境中已成为一个重大的生态问题,其来源包括农业径流、污水排放以及药物的不当处置。

方法

本研究调查了四种常见药物(溴西泮、萘普生、美托洛尔和索他洛尔)对鲤鱼(一种重要的生物指示物种)的影响。我们评估了暴露于这些药物15天的鲤鱼的神经、免疫和组织病理学反应。

结果

神经学评估显示乙酰胆碱酯酶(AChE)和单胺氧化酶(MAO)活性以及一氧化氮(NO)水平显著降低,表明神经传递和酶功能可能受到干扰。免疫学分析显示促炎细胞因子白细胞介素-1β(IL-1β)和白细胞介素-6(IL-6)水平升高,表明存在炎症反应。组织病理学检查发现肝脏、肾脏的组织改变,这与观察到的生化和免疫反应相关。

讨论

这些发现突出了药物污染物对水生物种的不利影响,强调了进行全面环境风险评估和制定减轻其影响的策略的必要性。本研究增进了对药物污染物生态效应的理解,为保护水生生态系统的政策和保护努力提供了信息。

https://cdn.ncbi.nlm.nih.gov/pmc/blobs/7f51/12069368/818f4be59c95/fphys-16-1557647-g001.jpg

文献检索

告别复杂PubMed语法,用中文像聊天一样搜索,搜遍4000万医学文献。AI智能推荐,让科研检索更轻松。

立即免费搜索

文件翻译

保留排版,准确专业,支持PDF/Word/PPT等文件格式,支持 12+语言互译。

免费翻译文档

深度研究

AI帮你快速写综述,25分钟生成高质量综述,智能提取关键信息,辅助科研写作。

立即免费体验