Suppr超能文献

颅底脊索瘤——重点关注手术策略和无复发生存率

Skull base chordomas - emphasis on surgical strategy and recurrence-free survival.

作者信息

Fürtös Adrian Mircea, Sandu Aurelia Mihaela, Ciubotaru Vasile Gheorghe, Gorgan Radu Mircea, Tătăranu Ligia Gabriela

机构信息

Doctoral School, Carol Davila University of Medicine and Pharmacy, Bucharest, Romania.

Clinic of Neurosurgery, Emergency Clinical Hospital Bagdasar-Arseni, Bucharest, Romania.

出版信息

Med Pharm Rep. 2025 Apr;98(2):210-216. doi: 10.15386/mpr-2797. Epub 2025 Apr 29.

Abstract

BACKGROUND AND AIM

Chordomas arise from remnants of the notochord. The aim of this study is to report a series of cases with operated skull base chordomas, with reviewing clinical data, assessing surgical strategy and outcome.

METHODS

We performed a 13-year retrospective study, between 2009 and 2022, in which we included patients operated for skull base chordomas.

RESULTS

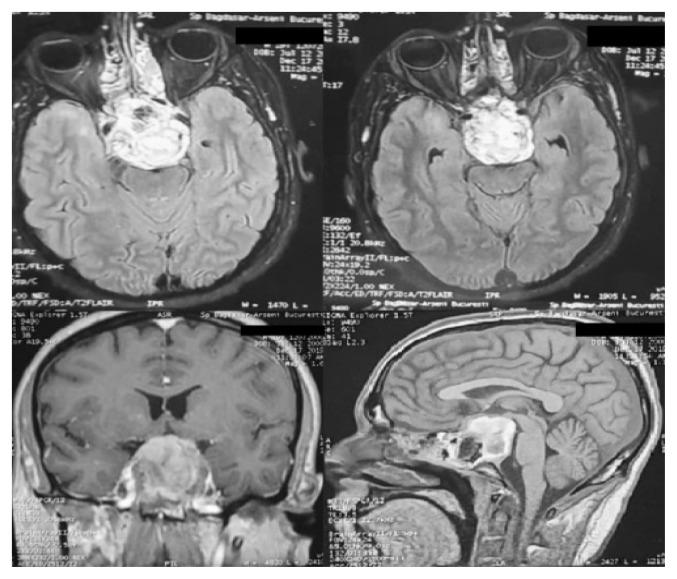
There were 6 males and 9 women, mean age 52.8 ± 16.55 years. Tumor site was clivus (13 patients), left cavernous sinus (one case) and sphenoidal sinus (one case). We performed endoscopic endonasal approach (18 times), transcranial subtemporal approach and combined approach. We achieved GTR in 8 patients, NTR in 4 patients, STR in 7 patients and biopsy in 1 patient. Grade of resection was associated with recurrence incidence (p=0.002).Histological exam revealed conventional chordoma in 14 cases, chondroid chordoma in 5 cases and dedifferentiated (chondrosarcoma) in 1 case. Patients' neurological status improved following surgery (p=0.000). Five patients underwent adjuvant conventional radiotherapy.Five patients presented local recurrence. All recurrences were reoperated using endoscopic endonasal approach. Survival analysis identified grade of resection and adjuvant radiotherapy as predictive factors for recurrence-free survival.

CONCLUSIONS

Surgery is the treatment of choice in skull base chordomas. Surgical approach should be tailored according to tumor original site and extensions. Midline chordomas are proper candidates for endoscopic endonasal approach, while lateral lesions require transcranial surgery. Combined approaches should be used in extensive tumors. GTR and radiotherapy prolong recurrence-free survival. Further studies on larger samples of patients are needed.

摘要

背景与目的

脊索瘤起源于脊索残余组织。本研究旨在报告一组接受手术治疗的颅底脊索瘤病例,回顾临床资料,评估手术策略及结果。

方法

我们进行了一项为期13年的回顾性研究,时间跨度为2009年至2022年,纳入接受颅底脊索瘤手术的患者。

结果

男性6例,女性9例,平均年龄52.8±16.55岁。肿瘤部位为斜坡(13例)、左侧海绵窦(1例)和蝶窦(1例)。我们采用了鼻内镜经鼻入路(18次)、经颞下入路及联合入路。8例患者实现了全切除(GTR),4例次全切除(NTR),7例次次全切除(STR),1例患者仅行活检。切除程度与复发率相关(p=0.002)。组织学检查显示14例为传统型脊索瘤,5例为软骨样脊索瘤,1例为去分化型(软骨肉瘤)。患者术后神经功能状态改善(p=0.000)。5例患者接受了辅助性常规放疗。5例患者出现局部复发。所有复发病例均采用鼻内镜经鼻入路再次手术。生存分析确定切除程度和辅助放疗是无复发生存的预测因素。

结论

手术是颅底脊索瘤的首选治疗方法。手术入路应根据肿瘤的原发部位和扩展情况进行调整。中线脊索瘤适合采用鼻内镜经鼻入路,而外侧病变则需要经颅手术。对于广泛的肿瘤应采用联合入路。全切除和放疗可延长无复发生存期。需要对更多患者样本进行进一步研究。

https://cdn.ncbi.nlm.nih.gov/pmc/blobs/1e2f/12070904/ea0015d45d28/cm-98-210f1.jpg

文献检索

告别复杂PubMed语法,用中文像聊天一样搜索,搜遍4000万医学文献。AI智能推荐,让科研检索更轻松。

立即免费搜索

文件翻译

保留排版,准确专业,支持PDF/Word/PPT等文件格式,支持 12+语言互译。

免费翻译文档

深度研究

AI帮你快速写综述,25分钟生成高质量综述,智能提取关键信息,辅助科研写作。

立即免费体验