Suppr超能文献

小儿甲状腺中的异位胸腺:支持保守治疗

Ectopic Thymus in Paediatric Thyroid: Support for Conservative Management.

作者信息

Rao Padma, Quick Jason, Dewan Patrick A

机构信息

Radiology, The Royal Children's Hospital, Melbourne, AUS.

Radiology, University of Melbourne, Melbourne, AUS.

出版信息

Cureus. 2025 Apr 15;17(4):e82323. doi: 10.7759/cureus.82323. eCollection 2025 Apr.

Abstract

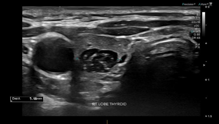
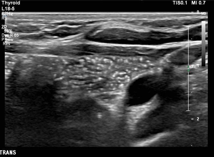
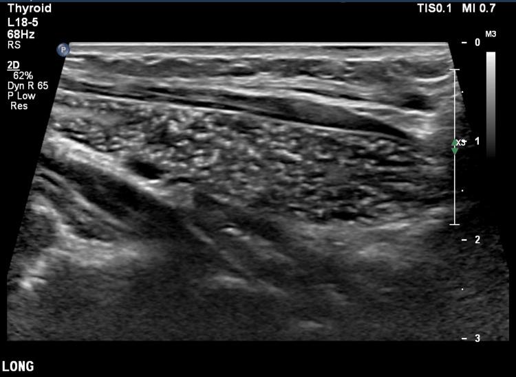
We present a case of conservatively managed intrathyroidal thymic tissue in a 3.5-year-old girl, who had an ultrasound for a midline swelling that was consistent with a dermoid cyst, proven by operative specimen pathology. An incidental finding was that of thymic tissue within the thyroid, the ultrasound characteristics of which enable differentiation from thyroid malignancy, enabling a confident diagnosis of this benign, asymptomatic condition. Thus, rather than proceeding to invasive investigations, detailed ultrasound analysis obviates the need for thyroid biopsy. The features that enable malignancy to be excluded are discussed.

摘要

我们报告一例3.5岁女孩的甲状腺内胸腺组织保守治疗病例。该女孩因中线肿胀接受超声检查,最初诊断为皮样囊肿,手术标本病理证实。偶然发现甲状腺内存在胸腺组织,其超声特征有助于与甲状腺恶性肿瘤相鉴别,从而确诊这种良性、无症状的情况。因此,无需进行侵入性检查,详细的超声分析避免了甲状腺活检的必要性。文中讨论了能够排除恶性肿瘤的特征。

https://cdn.ncbi.nlm.nih.gov/pmc/blobs/de0f/12081066/b7c08b69be80/cureus-0017-00000082323-i01.jpg

相似文献

1
Ectopic Thymus in Paediatric Thyroid: Support for Conservative Management.
Cureus. 2025 Apr 15;17(4):e82323. doi: 10.7759/cureus.82323. eCollection 2025 Apr.
3
Intrathyroidal ectopic thymus in 8-year-old girl: a case report.
Transl Pediatr. 2020 Feb;9(1):70-73. doi: 10.21037/tp.2019.12.04.
4
Intrathyroidal ectopic thymic tissue mimicking thyroid cancer in children.
Endocr Pract. 2014 Dec;20(12):e241-5. doi: 10.4158/EP14236.CR.
5
Intrathyroidal thymic tissue mimicking a thyroid nodule in a 4-year-old child.
J Clin Ultrasound. 2013 Jun;41(5):319-20. doi: 10.1002/jcu.21930. Epub 2012 Apr 25.
6
Sonographic and Elastographic Features of Extra- and Intrathyroidal Ectopic Thymus Mimicking Malignancy: Differential Diagnosis in Children.
Front Endocrinol (Lausanne). 2019 Apr 10;10:223. doi: 10.3389/fendo.2019.00223. eCollection 2019.
7
Diagnosis and management of Intratyroid Ectopic Thymus.
Andes Pediatr. 2021 Jun;92(3):406-410. doi: 10.32641/andespediatr.v92i3.3439.
8
Cytomorphology and sonographic features of ectopic thymic tissue diagnosed in paediatric FNA biopsies.
Cytopathology. 2018 Jun;29(3):241-246. doi: 10.1111/cyt.12529. Epub 2018 Mar 26.
9
Intrathyroidal ectopic thymic tissue may mimic thyroid cancer: a case report.
J Pediatr Endocrinol Metab. 2012;25(9-10):997-1000. doi: 10.1515/jpem-2012-0207.

本文引用的文献

1
Diagnosis and management of Intratyroid Ectopic Thymus.
Andes Pediatr. 2021 Jun;92(3):406-410. doi: 10.32641/andespediatr.v92i3.3439.
3
Intrathyroidal ectopic thymus in 8-year-old girl: a case report.
Transl Pediatr. 2020 Feb;9(1):70-73. doi: 10.21037/tp.2019.12.04.
4
Ectopic cervical thymus in children: Clinical and radiographic features.
Laryngoscope. 2020 Jun;130(6):1577-1582. doi: 10.1002/lary.28248. Epub 2019 Aug 28.
5
Sonographic and Elastographic Features of Extra- and Intrathyroidal Ectopic Thymus Mimicking Malignancy: Differential Diagnosis in Children.
Front Endocrinol (Lausanne). 2019 Apr 10;10:223. doi: 10.3389/fendo.2019.00223. eCollection 2019.
6
Intrathyroidal Thymic Tissue in an Adolescent with Graves' Disease: Case Report and Review of Current Literature.
Case Rep Pediatr. 2019 Apr 1;2019:8089714. doi: 10.1155/2019/8089714. eCollection 2019.
7
Cytomorphology and sonographic features of ectopic thymic tissue diagnosed in paediatric FNA biopsies.
Cytopathology. 2018 Jun;29(3):241-246. doi: 10.1111/cyt.12529. Epub 2018 Mar 26.
8
Prevalence and sonographic features of ectopic thyroidal thymus in children: A retrospective analysis.
J Clin Ultrasound. 2018 Jul;46(6):375-379. doi: 10.1002/jcu.22590. Epub 2018 Mar 25.
9
Intrathyroidal thymic tissue in children: Avoiding unnecessary surgery.
J Pediatr Surg. 2018 May;53(5):1010-1013. doi: 10.1016/j.jpedsurg.2018.02.011. Epub 2018 Feb 8.
10
Ectopic Intrathyroidal Thymic Tissue Mimicking Thyroid Nodules in Children.
J Ultrasound Med. 2018 Mar;37(3):783-791. doi: 10.1002/jum.14360. Epub 2017 Aug 29.

文献AI研究员

20分钟写一篇综述,助力文献阅读效率提升50倍。

立即体验

用中文搜PubMed

大模型驱动的PubMed中文搜索引擎

马上搜索

文档翻译

学术文献翻译模型,支持多种主流文档格式。

立即体验