Suppr超能文献

纤溶酶原缺乏可减轻肠道病毒A71感染小鼠的疾病严重程度并降低免疫反应。

Plasminogen deficiency reduces disease severity and immune responses in enterovirus A71-infected mice.

作者信息

Li Zheng-Xun, Wang Ya-Fang, Chiang Li-Ting, Hsu Li-Jin, Wang Shih-Min, Wang Jen-Ren, Wu Hua-Lin, Chen Shun-Hua, Chang Chuan-Fa

机构信息

Department of Medical Laboratory Science and Biotechnology, College of Medicine, National Cheng Kung University, Tainan City, Taiwan.

National Institute of Infectious Diseases and Vaccinology, National Health Research Institutes, Tainan City, Taiwan.

出版信息

Microbiol Spectr. 2025 Jul;13(7):e0331124. doi: 10.1128/spectrum.03311-24. Epub 2025 May 16.

Abstract

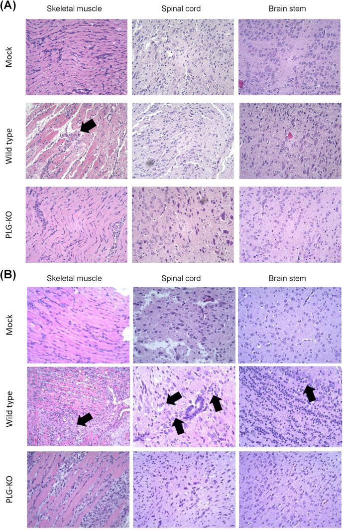
Enterovirus A71 (EV-A71) is a causative agent of hand, foot, and mouth diseases. EV-A71 infections may result in severe neurological complications in children. Although several receptors or attachment molecules for EV-A71 have been identified, EV-A71 can still infect host cells even after blocking these receptors with antibodies. We have previously identified plasminogen (PLG), a circulating zymogen of plasmin, as a cell membrane-associated EV-A71-interacting glycoprotein. We confirmed that anti-PLG antibodies could reduce the binding of EV-A71 to RD cells as anti-SCARB2 and anti-nucleolin. Knockdown of PLG reduced EV-A71 binding to RD cells, and preincubation of PLG with EV-A71 increased virus binding. Enzyme-linked immunosorbent assay and surface plasmon resonance assays demonstrated the direct binding of PLG to EV-A71. We further evaluated the biological characteristics of EV-A71-infected PLG knockout (heterozygous) and wild-type mice. We found that the clinical scores and mortality of WT mice were higher than those of PLG-knockout mice after EV-A71 infection. The viral loads in the spinal cord of PLG knockout mice were lower than those in WT mice 6 days post-infection. EV-A71-associated cytokines such as IL-1β, IL-6, MCP-1, IL-10, and IFN-γ were investigated. Serum IL-10 and MCP-1 expression were significantly higher in EV-71-infected WT mice than in PLG knockout mice, and MCP-1 may be one of the critical chemokines that induce intense inflammation and chemoattracts leukocytes. Our findings reveal a possible role for PLG in EV-A71 infection/pathogenesis and shed light on developing novel therapeutic approaches and drugs to prevent EV-A71 infection.IMPORTANCEUnderstanding the pathogenesis of enterovirus A71 (EV-A71) for developing novel drugs or therapeutic approaches has always been a significant issue. In this study, we demonstrated the interactions between plasminogen (PLG) and EV-A71, characterized the biological effects of EV-A71-infected PLG knockout mice, and evaluated their immune response. We found that EV-A71 caused more severe tissue damage than PLG knockout mice in skeletal muscle, spinal cord, and brain stem. Higher virus protein was observed in these tissues of WT mice. The reduced clinical scores, mortality, and cytokine expression suggested PLG may be involved in EV-A71 infection-induced cytokine storm. The findings and animal model in the current study provide the new drug target for anti-EV-A71 drug discovery.

摘要

肠道病毒A71(EV-A71)是手足口病的病原体。EV-A71感染可能导致儿童出现严重的神经并发症。尽管已经鉴定出几种EV-A71的受体或附着分子,但即使在用抗体阻断这些受体后,EV-A71仍可感染宿主细胞。我们之前已鉴定出纤溶酶原(PLG),一种纤溶酶的循环酶原,是一种与细胞膜相关的、与EV-A71相互作用的糖蛋白。我们证实,抗PLG抗体与抗SCARB2和抗核仁素抗体一样,可减少EV-A71与RD细胞的结合。敲低PLG可减少EV-A71与RD细胞的结合,而PLG与EV-A71的预孵育则增加病毒结合。酶联免疫吸附测定和表面等离子体共振测定证明了PLG与EV-A71的直接结合。我们进一步评估了EV-A71感染的PLG基因敲除(杂合子)小鼠和野生型小鼠的生物学特性。我们发现,EV-A71感染后,野生型小鼠的临床评分和死亡率高于PLG基因敲除小鼠。感染后6天,PLG基因敲除小鼠脊髓中的病毒载量低于野生型小鼠。我们研究了与EV-A71相关的细胞因子,如IL-1β、IL-6、MCP-1、IL-10和IFN-γ。EV-71感染的野生型小鼠血清中IL-10和MCP-1的表达明显高于PLG基因敲除小鼠,MCP-1可能是诱导强烈炎症和吸引白细胞的关键趋化因子之一。我们的研究结果揭示了PLG在EV-A71感染/发病机制中的可能作用,并为开发预防EV-A71感染的新型治疗方法和药物提供了线索。

重要性

了解肠道病毒A71(EV-A71)的发病机制以开发新药或治疗方法一直是一个重要问题。在本研究中,我们展示了纤溶酶原(PLG)与EV-A71之间的相互作用,描述了EV-A71感染的PLG基因敲除小鼠的生物学效应,并评估了它们的免疫反应。我们发现,在骨骼肌、脊髓和脑干中,EV-A71对组织造成的损伤比PLG基因敲除小鼠更严重。在野生型小鼠的这些组织中观察到更高的病毒蛋白。临床评分、死亡率和细胞因子表达的降低表明PLG可能参与了EV-A71感染诱导的细胞因子风暴。本研究中的发现和动物模型为抗EV-A71药物研发提供了新的药物靶点。

https://cdn.ncbi.nlm.nih.gov/pmc/blobs/4a5d/12210968/93dd7fff1b69/spectrum.03311-24.f001.jpg

文献检索

告别复杂PubMed语法,用中文像聊天一样搜索,搜遍4000万医学文献。AI智能推荐,让科研检索更轻松。

立即免费搜索

文件翻译

保留排版,准确专业,支持PDF/Word/PPT等文件格式,支持 12+语言互译。

免费翻译文档

深度研究

AI帮你快速写综述,25分钟生成高质量综述,智能提取关键信息,辅助科研写作。

立即免费体验