Suppr超能文献

胰腺神经内分泌肿瘤——超越手术治疗。文献综述及三级中心经验

Pancreatic neuroendocrine tumors - going beyond surgery. Literature review and experience of a tertiary center.

作者信息

Diculescu Rucsandra Ilinca, Stan-Ilie Mădălina, Pavel Christopher Jesse Vlad, Plotogea Oana Mihaela, Constantinescu Gabriel, Şandru Vasile, Istrătescu Doina, Popa Valeriu Bogdan, Enache Valentin, Bucurică Săndica Nicoleta, Poiană Cătălina

机构信息

Carol Davila University of Medicine and Pharmacy, Bucharest, Romania; Department of Gastroenterology, Emergency Clinical Hospital of Bucharest, Romania;

出版信息

Rom J Morphol Embryol. 2025 Jan-Mar;66(1):31-38. doi: 10.47162/RJME.66.1.02.

Abstract

BACKGROUND

Surgery is the standard therapy for pancreatic neuroendocrine tumors (pNETs), but since post-resection fistulae and other surgery related complications are common, new minimal invasive approaches are emerging. Endoscopic ultrasound-guided radiofrequency ablation (EUS-RFA) is a promising tool for pNETs, with a good safety profile and favorable results.

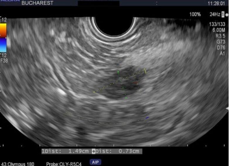
PATIENTS, MATERIALS AND METHODS: This is a single-center, retrospective case series including all patients with functional (F) and non-functional (NF) pNETs treated with EUS-RFA in the Department of Gastroenterology, Emergency Clinical Hospital of Bucharest, Romania, between March 2023 and March 2024 and followed for a mean period of 11.6 months. Technical success, clinical, sonographic and radiological response, adverse events (AEs) rate and severity were assessed.

CASE SERIES

A total of five out of nine EUS-RFA were performed for pNETs, with a majority of NF-pNETs. In this pNET group, the mean size of the lesions was 13 mm. Technical success was achieved in 100% of patients and persistent clinical remission of hypoglycemia in the insulinoma case was attained. In the NF-pNET subgroup, two patients were successfully radiologically treated with complete disappearance of the lesions, one lesion showed cystic transformation, and one had modest size reduction at follow-up imagery. One procedure-related early AE occurred: mild abdominal pain with quick resolution. No major complications, nor death were reported.

CONCLUSIONS

Reports from this literature review and small case series suggest that EUS-RFA can be effective in both F- and NF-pNETs, offering the best combination of real-time imaging guidance and minimal invasiveness with no severe AEs and short hospital stay.

摘要

背景

手术是胰腺神经内分泌肿瘤(pNETs)的标准治疗方法,但由于切除术后瘘管和其他手术相关并发症很常见,新的微创方法正在兴起。内镜超声引导下射频消融(EUS-RFA)是一种有前景的pNETs治疗工具,具有良好的安全性和理想的效果。

患者、材料与方法:这是一项单中心回顾性病例系列研究,纳入了2023年3月至2024年3月期间在罗马尼亚布加勒斯特急诊临床医院胃肠病科接受EUS-RFA治疗的所有功能性(F)和非功能性(NF)pNETs患者,并进行了平均11.6个月的随访。评估了技术成功率、临床、超声和放射学反应、不良事件(AE)发生率及严重程度。

病例系列

9例EUS-RFA治疗中共有5例用于pNETs,其中大多数为NF-pNETs。在这个pNETs组中,病变的平均大小为13毫米。100%的患者实现了技术成功,胰岛素瘤病例实现了低血糖的持续临床缓解。在NF-pNETs亚组中,2例患者经放射学成功治疗,病变完全消失,1个病变出现囊性变,1个在随访影像中大小略有缩小。发生了1例与手术相关的早期AE:轻度腹痛且很快缓解。未报告重大并发症和死亡情况。

结论

该文献综述和小病例系列的报告表明,EUS-RFA对F-pNETs和NF-pNETs均有效,提供了实时成像引导与微创性的最佳组合,无严重AE且住院时间短。

https://cdn.ncbi.nlm.nih.gov/pmc/blobs/a6a7/12236292/f6c0c75c31f2/RJME-66-1-31-fig1.jpg

文献检索

告别复杂PubMed语法,用中文像聊天一样搜索,搜遍4000万医学文献。AI智能推荐,让科研检索更轻松。

立即免费搜索

文件翻译

保留排版,准确专业,支持PDF/Word/PPT等文件格式,支持 12+语言互译。

免费翻译文档

深度研究

AI帮你快速写综述,25分钟生成高质量综述,智能提取关键信息,辅助科研写作。

立即免费体验