• 文献检索
  • 文档翻译
  • 深度研究
  • 学术资讯
  • Suppr Zotero 插件Zotero 插件
  • 邀请有礼
  • 套餐&价格
  • 历史记录
应用&插件
Suppr Zotero 插件Zotero 插件浏览器插件Mac 客户端Windows 客户端微信小程序
定价
高级版会员购买积分包购买API积分包
服务
文献检索文档翻译深度研究API 文档MCP 服务
关于我们
关于 Suppr公司介绍联系我们用户协议隐私条款
关注我们

Suppr 超能文献

核心技术专利:CN118964589B侵权必究
粤ICP备2023148730 号-1Suppr @ 2026

文献检索

告别复杂PubMed语法,用中文像聊天一样搜索,搜遍4000万医学文献。AI智能推荐,让科研检索更轻松。

立即免费搜索

文件翻译

保留排版,准确专业,支持PDF/Word/PPT等文件格式,支持 12+语言互译。

免费翻译文档

深度研究

AI帮你快速写综述,25分钟生成高质量综述,智能提取关键信息,辅助科研写作。

立即免费体验

荷叶碱通过促进NRF2介导的铁死亡改善重症急性胰腺炎相关的肠道损伤。

Neferine Ameliorates Severe Acute Pancreatitis-Associated Intestinal Injury by Promoting NRF2-mediated Ferroptosis.

作者信息

Zhang Lilong, Wang Kunpeng, Jiang Wanrong, Ding Pingan, Wang Weixing, Zhao Kailiang, Chen Chen

机构信息

Department of General Surgery, Renmin Hospital of Wuhan University, Wuhan, 430060, Hubei, China.

Hubei Key Laboratory of Digestive System Disease, Renmin Hospital of Wuhan University, Wuhan, 430060, Hubei, China.

出版信息

Int J Biol Sci. 2025 Apr 28;21(7):3247-3261. doi: 10.7150/ijbs.112888. eCollection 2025.

DOI:10.7150/ijbs.112888
PMID:40384872
原文链接:https://pmc.ncbi.nlm.nih.gov/articles/PMC12080392/
Abstract

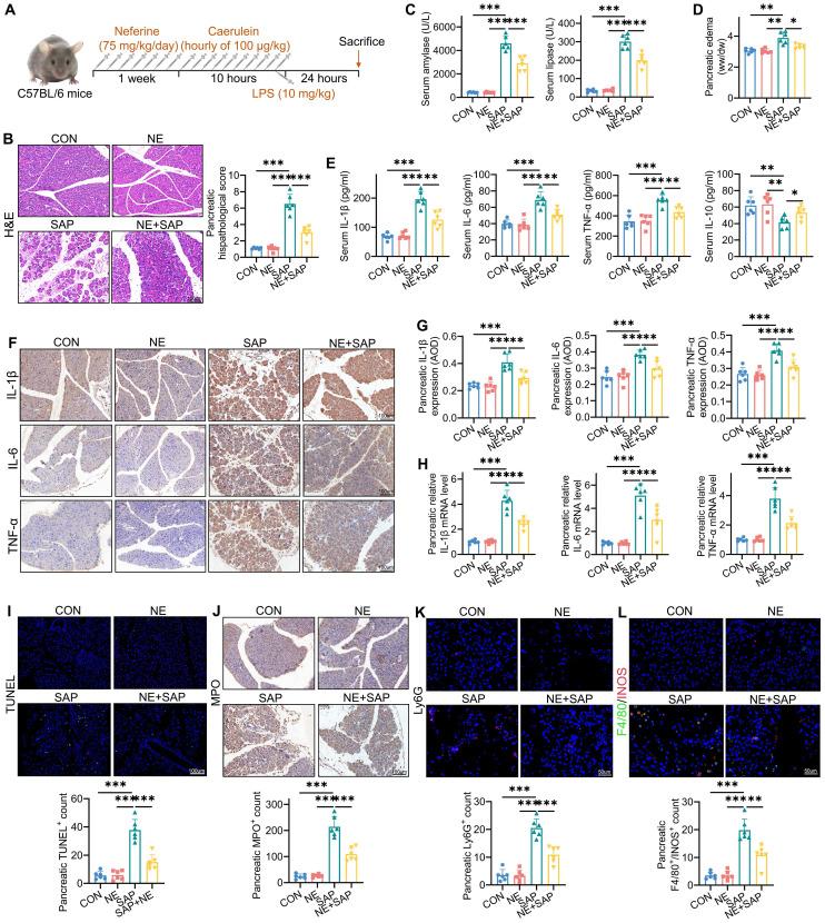
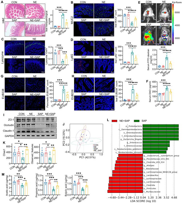
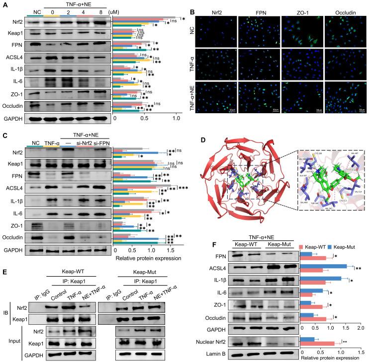
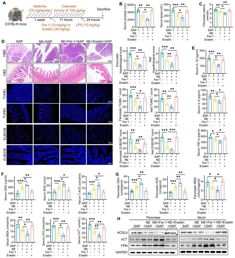
Severe acute pancreatitis (SAP) is a life-threatening abdominal condition often complicated by intestinal barrier dysfunction, which further exacerbates disease progression. Neferine has demonstrated potent anti-inflammatory and antioxidant properties; however, its role in ameliorating SAP and associated intestinal barrier damage remains unclear. In this study, we found that neferine administration significantly alleviates SAP severity by reducing pancreatic and ileal pathological damage, oxidative stress, inflammatory cell infiltration, and intestinal flora translocation. Additionally, neferine enhances the expression of tight junction proteins, increases short-chain fatty acid levels, and improves intestinal dysbiosis, thereby contributing to intestinal homeostasis restoration. Mechanistically, neferine upregulates Nrf2 expression and promotes its nuclear translocation by competitively binding to the Cys-288 site on Keap1. This activation enhances the Nrf2/FPN and Nrf2/xCT/GPX4 axes, thereby preventing ferroptosis and ultimately protecting against pancreatic and intestinal injury in SAP mice. Furthermore, the protective effects of neferine were largely reversed by the Nrf2 inhibitor ML385 and the ferroptosis inducer erastin. This study demonstrates that neferine effectively alleviates SAP by inhibiting ferroptosis and restoring intestinal homeostasis, providing insights into new treatment options for SAP.

摘要

重症急性胰腺炎(SAP)是一种危及生命的腹部疾病,常伴有肠道屏障功能障碍,这会进一步加剧疾病进展。甲基莲心碱已显示出强大的抗炎和抗氧化特性;然而,其在改善SAP及相关肠道屏障损伤中的作用仍不清楚。在本研究中,我们发现给予甲基莲心碱可通过减轻胰腺和回肠的病理损伤、氧化应激、炎症细胞浸润及肠道菌群易位,显著减轻SAP的严重程度。此外,甲基莲心碱可增强紧密连接蛋白的表达,提高短链脂肪酸水平,并改善肠道菌群失调,从而有助于恢复肠道稳态。机制上,甲基莲心碱通过与Keap1上的Cys-288位点竞争性结合来上调Nrf2表达并促进其核转位。这种激活增强了Nrf2/FPN和Nrf2/xCT/GPX4轴,从而防止铁死亡,并最终保护SAP小鼠免受胰腺和肠道损伤。此外,Nrf2抑制剂ML385和铁死亡诱导剂erastin在很大程度上逆转了甲基莲心碱的保护作用。本研究表明,甲基莲心碱通过抑制铁死亡和恢复肠道稳态有效减轻SAP,为SAP的新治疗选择提供了见解。

https://cdn.ncbi.nlm.nih.gov/pmc/blobs/b22e/12080392/0967b7ad86cc/ijbsv21p3247g008.jpg
https://cdn.ncbi.nlm.nih.gov/pmc/blobs/b22e/12080392/b6c6c6b06281/ijbsv21p3247g001.jpg
https://cdn.ncbi.nlm.nih.gov/pmc/blobs/b22e/12080392/4d961cf087cc/ijbsv21p3247g002.jpg
https://cdn.ncbi.nlm.nih.gov/pmc/blobs/b22e/12080392/7d75684b69ba/ijbsv21p3247g003.jpg
https://cdn.ncbi.nlm.nih.gov/pmc/blobs/b22e/12080392/9cf2887bc84c/ijbsv21p3247g004.jpg
https://cdn.ncbi.nlm.nih.gov/pmc/blobs/b22e/12080392/a711abff8195/ijbsv21p3247g005.jpg
https://cdn.ncbi.nlm.nih.gov/pmc/blobs/b22e/12080392/e211c3ca63f0/ijbsv21p3247g006.jpg
https://cdn.ncbi.nlm.nih.gov/pmc/blobs/b22e/12080392/b5786c936068/ijbsv21p3247g007.jpg
https://cdn.ncbi.nlm.nih.gov/pmc/blobs/b22e/12080392/0967b7ad86cc/ijbsv21p3247g008.jpg
https://cdn.ncbi.nlm.nih.gov/pmc/blobs/b22e/12080392/b6c6c6b06281/ijbsv21p3247g001.jpg
https://cdn.ncbi.nlm.nih.gov/pmc/blobs/b22e/12080392/4d961cf087cc/ijbsv21p3247g002.jpg
https://cdn.ncbi.nlm.nih.gov/pmc/blobs/b22e/12080392/7d75684b69ba/ijbsv21p3247g003.jpg
https://cdn.ncbi.nlm.nih.gov/pmc/blobs/b22e/12080392/9cf2887bc84c/ijbsv21p3247g004.jpg
https://cdn.ncbi.nlm.nih.gov/pmc/blobs/b22e/12080392/a711abff8195/ijbsv21p3247g005.jpg
https://cdn.ncbi.nlm.nih.gov/pmc/blobs/b22e/12080392/e211c3ca63f0/ijbsv21p3247g006.jpg
https://cdn.ncbi.nlm.nih.gov/pmc/blobs/b22e/12080392/b5786c936068/ijbsv21p3247g007.jpg
https://cdn.ncbi.nlm.nih.gov/pmc/blobs/b22e/12080392/0967b7ad86cc/ijbsv21p3247g008.jpg

相似文献

1
Neferine Ameliorates Severe Acute Pancreatitis-Associated Intestinal Injury by Promoting NRF2-mediated Ferroptosis.荷叶碱通过促进NRF2介导的铁死亡改善重症急性胰腺炎相关的肠道损伤。
Int J Biol Sci. 2025 Apr 28;21(7):3247-3261. doi: 10.7150/ijbs.112888. eCollection 2025.
2
Emodin protects against severe acute pancreatitis-associated acute lung injury by activating Nrf2/HO-1/GPX4 signal and inhibiting ferroptosis in vivo and in vitro.大黄素通过激活Nrf2/HO-1/GPX4信号并在体内外抑制铁死亡来预防重症急性胰腺炎相关性急性肺损伤。
BMC Gastroenterol. 2025 Feb 5;25(1):57. doi: 10.1186/s12876-025-03660-1.
3
Ganoderic Acid A Alleviates Severe Acute Pancreatitis by Modulating Gut Homeostasis and Inhibiting TLR4-NLRP3 Signaling.灵芝酸A通过调节肠道稳态和抑制TLR4-NLRP3信号通路减轻重症急性胰腺炎。
J Agric Food Chem. 2025 Jan 15;73(2):1563-1579. doi: 10.1021/acs.jafc.4c07635. Epub 2024 Dec 31.
4
Glycyrrhizin Ameliorates Cardiac Injury in Rats with Severe Acute Pancreatitis by Inhibiting Ferroptosis via the Keap1/Nrf2/HO-1 Pathway.甘草酸通过Keap1/Nrf2/HO-1途径抑制铁死亡减轻重症急性胰腺炎大鼠的心脏损伤。
Dig Dis Sci. 2024 Jul;69(7):2477-2487. doi: 10.1007/s10620-024-08398-6. Epub 2024 May 16.
5
Nrf2 alleviates acute ischemic stroke induced ferroptosis via regulating xCT/GPX4 pathway.Nrf2通过调节xCT/GPX4途径减轻急性缺血性脑卒中诱导的铁死亡。
Free Radic Biol Med. 2025 Apr;231:153-162. doi: 10.1016/j.freeradbiomed.2025.02.040. Epub 2025 Feb 26.
6
Pretreatment with chitosan oligosaccharides attenuate experimental severe acute pancreatitis via inhibiting oxidative stress and modulating intestinal homeostasis.壳寡糖预处理通过抑制氧化应激和调节肠道内稳态减轻实验性重症急性胰腺炎。
Acta Pharmacol Sin. 2021 Jun;42(6):942-953. doi: 10.1038/s41401-020-00581-5. Epub 2021 Jan 25.
7
Baicalin alleviates intestinal ischemia-reperfusion injury by regulating ferroptosis mediated by nuclear factor E2-related factor 2/Glutathione peroxidase 4 signaling pathway.黄芩苷通过调节核因子E2相关因子2/谷胱甘肽过氧化物酶4信号通路介导的铁死亡减轻肠道缺血再灌注损伤。
J Physiol Pharmacol. 2024 Oct;75(5). doi: 10.26402/jpp.2024.5.07. Epub 2024 Dec 4.
8
Sitagliptin activates the p62-Keap1-Nrf2 signalling pathway to alleviate oxidative stress and excessive autophagy in severe acute pancreatitis-related acute lung injury.西他列汀通过激活 p62-Keap1-Nrf2 信号通路减轻重症急性胰腺炎相关急性肺损伤中的氧化应激和过度自噬。
Cell Death Dis. 2021 Oct 11;12(10):928. doi: 10.1038/s41419-021-04227-0.
9
Isoliquiritigenin alleviates myocardial ischemia-reperfusion injury by regulating the Nrf2/HO-1/SLC7a11/GPX4 axis in mice.异甘草素通过调节 Nrf2/HO-1/SLC7a11/GPX4 轴减轻小鼠心肌缺血再灌注损伤。
Free Radic Biol Med. 2024 Aug 20;221:1-12. doi: 10.1016/j.freeradbiomed.2024.05.012. Epub 2024 May 9.
10
Melatonin ameliorates multiorgan injuries induced by severe acute pancreatitis in mice by regulating the Nrf2 signaling pathway.褪黑素通过调节 Nrf2 信号通路改善小鼠重症急性胰腺炎多器官损伤。
Eur J Pharmacol. 2024 Jul 15;975:176646. doi: 10.1016/j.ejphar.2024.176646. Epub 2024 May 17.

本文引用的文献

1
Exploring the mechanism of intestinal bacterial translocation after severe acute pancreatitis: the role of Toll-like receptor 5.探索重症急性胰腺炎后肠道细菌易位的机制:Toll样受体5的作用
Gut Microbes. 2025 Dec;17(1):2489768. doi: 10.1080/19490976.2025.2489768. Epub 2025 Apr 6.
2
A probiotic Limosilactobacillus fermentum GR-3 mitigates colitis-associated tumorigenesis in mice via modulating gut microbiome.一种益生菌发酵乳杆菌GR-3通过调节肠道微生物群减轻小鼠结肠炎相关的肿瘤发生。
NPJ Sci Food. 2024 Sep 6;8(1):61. doi: 10.1038/s41538-024-00307-5.
3
Polysaccharides extracted from common buckwheat (Fagopyrum esculentum) attenuate cognitive impairment via suppressing RAGE/p38/NF-κB signaling and dysbiosis in AlCl-treated rats.
从普通荞麦(Fagopyrum esculentum)中提取的多糖通过抑制 AlCl 处理大鼠的 RAGE/p38/NF-κB 信号通路和菌群失调来减轻认知障碍。
Int J Biol Macromol. 2024 Sep;276(Pt 2):133898. doi: 10.1016/j.ijbiomac.2024.133898. Epub 2024 Jul 15.
4
Turtle peptide and its derivative peptide ameliorated DSS-induced ulcerative colitis by inhibiting inflammation and modulating the composition of the gut microbiota.龟肽及其衍生肽通过抑制炎症和调节肠道微生物群落组成来改善 DSS 诱导的溃疡性结肠炎。
Int Immunopharmacol. 2024 May 10;132:112024. doi: 10.1016/j.intimp.2024.112024. Epub 2024 Apr 11.
5
Nrf2 activation by neferine mitigates microglial neuroinflammation after subarachnoid hemorrhage through inhibiting TAK1-NF-κB signaling.小檗碱通过抑制 TAK1-NF-κB 信号通路激活 Nrf2 减轻蛛网膜下腔出血后小胶质细胞神经炎症。
Int Immunopharmacol. 2024 Mar 30;130:111693. doi: 10.1016/j.intimp.2024.111693. Epub 2024 Mar 1.
6
Free total rhubarb anthraquinones protect intestinal mucosal barrier of SAP rats via inhibiting the NLRP3/caspase-1/GSDMD pyroptotic pathway.游离大黄总蒽醌通过抑制 NLRP3/caspase-1/GSDMD 焦亡途径保护 SAP 大鼠肠黏膜屏障。
J Ethnopharmacol. 2024 May 23;326:117873. doi: 10.1016/j.jep.2024.117873. Epub 2024 Feb 10.
7
Mesenchymal stem cells inhibit ferroptosis by activating the Nrf2 antioxidation pathway in severe acute pancreatitis-associated acute lung injury.间充质干细胞通过激活 Nrf2 抗氧化通路抑制严重急性胰腺炎相关急性肺损伤中的铁死亡。
Eur J Pharmacol. 2024 Mar 15;967:176380. doi: 10.1016/j.ejphar.2024.176380. Epub 2024 Feb 2.
8
MCL attenuates atherosclerosis by suppressing macrophage ferroptosis via targeting KEAP1/NRF2 interaction.MCL 通过靶向 KEAP1/NRF2 相互作用抑制巨噬细胞铁死亡来减轻动脉粥样硬化。
Redox Biol. 2024 Feb;69:102987. doi: 10.1016/j.redox.2023.102987. Epub 2023 Dec 7.
9
Ferroptosis: potential targets and emerging roles in pancreatic diseases.铁死亡:在胰腺疾病中的潜在靶点和新作用。
Arch Toxicol. 2024 Jan;98(1):75-94. doi: 10.1007/s00204-023-03625-x. Epub 2023 Nov 7.
10
Sirtuin4 alleviates severe acute pancreatitis by regulating HIF-1α/HO-1 mediated ferroptosis.Sirtuin4 通过调节 HIF-1α/HO-1 介导的铁死亡缓解重症急性胰腺炎。
Cell Death Dis. 2023 Oct 21;14(10):694. doi: 10.1038/s41419-023-06216-x.