Suppr超能文献

1例合并前列腺癌骨转移的罗萨伊-多夫曼病

A Case of Rosai-Dorfman Disease Complicated by Bone Metastasis From Prostate Cancer.

作者信息

Chen Qiongying, Zhao Yueqiao, Zhou Ke

机构信息

Radiology Department, Zigong Third People's Hospital, Zigong, CHN.

出版信息

Cureus. 2025 Apr 17;17(4):e82472. doi: 10.7759/cureus.82472. eCollection 2025 Apr.

Abstract

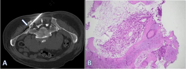
Rosai-Dorfman disease (RDD) is a rare myeloproliferative disorder of histiocytes. The cause of the disease remains unclear. RDD mainly affects lymph nodes and has many extranodal manifestations, including the skin, lungs, eyes, and gastrointestinal tract. This report details a diagnostically challenging case where retroperitoneal lymphadenopathy initially suspected as metastatic prostate adenocarcinoma was pathologically confirmed as RDD. The concurrent occurrence of these two distinct pathologies underscores the importance of histopathological verification in atypical presentations, particularly for guiding precision oncology management.

摘要

罗萨伊-多夫曼病(RDD)是一种罕见的组织细胞增生性疾病。该病病因尚不清楚。RDD主要累及淋巴结,并有许多结外表现,包括皮肤、肺、眼和胃肠道。本报告详细介绍了一例诊断具有挑战性的病例,最初怀疑为转移性前列腺腺癌的腹膜后淋巴结病经病理证实为RDD。这两种不同病理情况的同时出现凸显了在非典型表现中进行组织病理学验证的重要性,特别是对于指导精准肿瘤学管理。

https://cdn.ncbi.nlm.nih.gov/pmc/blobs/1563/12085250/c8e4ae2a56d8/cureus-0017-00000082472-i01.jpg

文献检索

告别复杂PubMed语法,用中文像聊天一样搜索,搜遍4000万医学文献。AI智能推荐,让科研检索更轻松。

立即免费搜索

文件翻译

保留排版,准确专业,支持PDF/Word/PPT等文件格式,支持 12+语言互译。

免费翻译文档

深度研究

AI帮你快速写综述,25分钟生成高质量综述,智能提取关键信息,辅助科研写作。

立即免费体验