Suppr超能文献

胰十二指肠切除术后胰空肠吻合口狭窄行剖腹手术时出现套叠扩张1例。

A Case of Rendezvous Dilation under Laparotomy for Pancreaticojejunostomy Stricture after Pancreaticoduodenectomy.

作者信息

Ishida Masaharu, Maeda Shimpei, Hayashi Shuichiro, Yoshimachi Shingo, Sato Hideaki, Kusaka Akiko, Shimura Mitsuhiro, Aoki Shuichi, Iseki Masahiro, Douchi Daisuke, Miura Takayuki, Mizuma Masamichi, Kume Kiyoshi, Masamune Atsushi, Kamei Takashi, Unno Michiaki

机构信息

Department of Surgery, Tohoku University Graduate School of Medicine, Sendai, Miyagi, Japan.

Division of Gastroenterology, Tohoku University Graduate School of Medicine, Sendai, Miyagi, Japan.

出版信息

Surg Case Rep. 2025;11(1). doi: 10.70352/scrj.cr.25-0042. Epub 2025 May 12.

Abstract

INTRODUCTION

Pancreatico-enterostomy stenosis is a late postoperative complication following pancreaticoduodenectomy. We report a case in which a surgical "rendezvous" procedure was performed to address the stenosis.

CASE PRESENTATION

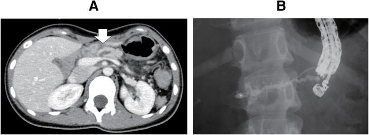
A 20-year-old woman underwent laparoscopic pancreaticoduodenectomy for a solid pseudopapillary neoplasm in the pancreatic head. During the follow-up, she presented with recurrent abdominal pain, elevated pancreatic enzymes, and dilation of the main pancreatic duct, suggestive of a remnant pancreatitis secondary to pancreaticojejunostomy stenosis. Endoscopic evaluation using double-balloon endoscopy failed to locate the anastomosis. Endoscopic ultrasound enabled puncture and cannulation of the main pancreatic duct, though the anastomotic site remained obstructed. An endoscopic nasal pancreatic drainage tube was placed within the main pancreatic duct. Subsequently, open surgery was performed to dilate the anastomosis and insert a drainage tube. A gastrotomy was created, revealing a fistula between the stomach and pancreas, and a guidewire was introduced from the fistula to the anastomosis. The guidewire was inserted through the fistula and guided to the jejunum through the anastomosis by incising the jejunum on the opposite side of the pancreaticojejunostomy. A stent was deployed across the anastomosis, and a transgastric pancreatic duct drainage was made. The patient subsequently underwent endoscopic dilation and is currently asymptomatic.

CONCLUSIONS

Symptomatic anastomotic stenosis necessitates treatment, with an endoscopic approach generally preferred as the first-line option. When endoscopic visualization of the anastomosis proves challenging, an ultrasound endoscope can be utilized to puncture the main pancreatic duct from the stomach and establish a connection to the jejunum (the "rendezvous" method). If endoscopic interventions are unsuccessful, surgical intervention is warranted. Surgical management often involves anastomotic resection and reanastomosis. In this case, a less invasive surgical "rendezvous" approach was successfully employed, which may offer a valuable surgical alternative for managing pancreatico-enterostomy stenosis after pancreaticoduodenectomy.

摘要

引言

胰肠吻合口狭窄是胰十二指肠切除术后的一种晚期并发症。我们报告一例通过手术“会师” procedure 来处理该狭窄的病例。

病例介绍

一名20岁女性因胰头部实性假乳头状瘤接受了腹腔镜胰十二指肠切除术。在随访期间,她出现反复腹痛、胰酶升高以及主胰管扩张,提示胰肠吻合口狭窄继发的残余胰腺炎。使用双气囊内镜进行的内镜评估未能找到吻合口。内镜超声能够穿刺并插入主胰管,但吻合口部位仍阻塞。在内镜引导下将鼻胰引流管放置于主胰管内。随后,进行了开放手术以扩张吻合口并插入引流管。创建了胃切开术,发现胃与胰腺之间存在瘘管,并从瘘管插入导丝至吻合口。导丝通过瘘管插入,并通过在胰肠吻合口另一侧切开空肠,经吻合口引导至空肠。在吻合口处放置了支架,并进行了经胃胰管引流。患者随后接受了内镜扩张,目前无症状。

结论

有症状的吻合口狭窄需要治疗,内镜方法通常作为一线首选。当内镜下观察吻合口具有挑战性时,可利用超声内镜从胃穿刺主胰管并建立与空肠的连接(“会师”方法)。如果内镜干预不成功,则需要进行手术干预。手术管理通常包括吻合口切除和重新吻合。在本病例中,成功采用了一种侵入性较小的手术“会师”方法,这可能为胰十二指肠切除术后胰肠吻合口狭窄的管理提供一种有价值的手术替代方案。

https://cdn.ncbi.nlm.nih.gov/pmc/blobs/c7e3/12086018/e743348dddb7/scr-11-01-25-0042-g001.jpg

文献检索

告别复杂PubMed语法,用中文像聊天一样搜索,搜遍4000万医学文献。AI智能推荐,让科研检索更轻松。

立即免费搜索

文件翻译

保留排版,准确专业,支持PDF/Word/PPT等文件格式,支持 12+语言互译。

免费翻译文档

深度研究

AI帮你快速写综述,25分钟生成高质量综述,智能提取关键信息,辅助科研写作。

立即免费体验